Malformation d'Arnold-Chiari
| Spécialité | Neurologie |
|---|
| CISP-2 | N85 |
|---|---|
| CIM-10 | Q07.0 |
| CIM-9 | 741.0 |
| OMIM | 207950 |
| DiseasesDB | 899 |
| MeSH | D001139 |
| Patient UK | Chiari-malformations |
Mise en garde médicale
La malformation de Chiari (MC) est une anomalie structurelle du cervelet caractérisée par un glissement d'une ou des deux amygdales cérébelleuses vers le foramen magnum (ouverture de la base du crâne en position occipitale). Les MC peuvent causer des maux de têtes (céphalées), des difficultés à avaler (dysphagie), vomissements, vertiges, douleurs à la nuque (nucalgies), instabilités à la marche (ataxie), une faible coordination des mains, des sensations de fourmillements dans les mains et les pieds (paresthésies), des atteintes de la locution (dysarthrie). Moins souvent, les personnes atteintes souffrent d'acouphènes, de douleurs aux oreilles (otalgies), parfois de manière unilatérale, de faiblesse, fatigue, bradycardie ou encore tachycardie, déformation de la colonne vertébrale (scoliose) liés à une affection de la moëlle épinière, un souffle anormal avec apnées du sommeil et dans les cas les plus sévères, une paralysie.
La MC peut parfois résulter d'une mauvaise communication de l'hydrocéphale entraînant parfois une obstruction du liquide céphalo-rachidien (LCR) (ou liquide cérébro-spinal, LCS). L'écoulement du LCS est causé par une différence de phase entre entrée et sortie du sang dans le système vasculaire du cerveau. La malformation a été nommée par le pathologiste autrichien Hans Chiari. La MC de type II est aussi appelée malformation d'Arnold-Chiari en référence aux deux pathologistes que sont l’allemand Julius Arnold et l’autrichien Hans Chiari, premier découvreur connu de la pathologie.
Dans certains cas, un seul symptôme apparaît, et les personnes atteintes de cette malformation ne ressentent pas la même chose.
Signes et symptômes
Les symptômes sont essentiellement dus à un dysfonctionnement des nerfs crâniens et du tronc cérébral. L'apparition des symptômes se fait moins souvent à l'âge adulte mais est possible. Les enfants en bas âge ont une présentation clinique substantiellement différente des enfants plus âgés. Concernant les enfants en bas âge, une dégénération cérébrale rapide avec atteinte profonde du tronc cérébral pendant plusieurs jours peut être rencontrée.
- Dysphagie neurogénique : difficulté à avaler. Observée chez des patients qui sont en sous-nutrition.
- Cyanose : décoloration de la peau lors de l'alimentation.
- Céphalées aggravées par les manœuvres de Valsalva tels que bâillements, rires, pleurs, éternuements, toux, changement de position corporelle rapide et subit ou passage rapide à la position debout
- Vertiges
- Acouphènes (perception d'un son sans origine externe à l'organisme)
- Vision trouble, diplopie
- Nystagmus (mouvements irréguliers et involontaires d'un œil)
- Névralgies faciales
- Signe de Lhermitte (sensation électrique parcourant le dos et les lombes)
- Pleurs faibles
- Anhidrose
- Faiblesse de la face
- Aspiration pulmonaire
- Nausées
- Syndrome de Schmahmann
- Douleurs et/ou faiblesses musculaires
- Réflexe nauséeux altéré
- Dysphagie (difficulté à avaler)
- Syndrome des jambes sans repos
- Apnée du sommeil
- Troubles du sommeil
- Altération de la coordination
- Les cas sévères peuvent développer tous les symptômes ainsi que les signes d'une paralysie bulbaire.
- La paralysie, due à une pression de la jonction cervico-médullaire peut progresser "dans le sens horaire", de la main droite vers la jambe gauche puis la jambe droite et finalement la main gauche; ou dans le sens anti-horaire.
- Œdème papillaire à l'examen du fond de l’œil dû à l'accroissement de la pression intra-cranienne
- Dilatation des pupilles
- Dysautonomie : tachycardie (accélération du rythme cardiaque), syncope (perte de conscience), polydipsie (soif intense), fatigue chronique[1]
- Apnée : pause soudaine et involontaire dans la respiration, généralement durant le sommeil.
- Opisthotonos : spasme de la tête. Davantage rencontrés chez les enfants que chez les adultes.
- Stridor
- Troubles de l'articulation de la parole (dysarthrie)
- Troubles digestifs (météorisme)
- Troubles de contrôle des sphincters (énurésie nocturne)
- Troubles de l'équilibre
- Troubles sexuels[2].
Le blocage du flux du LCS peut causer la formation d'un syrinx pouvant éventuellement mener à une syringomyélie s'accompagnant de symptômes tels que faiblesse de la main, perte de sensation dissociée et dans les cas sévères, paralysie.
Syringomyélie
La syringomyélie est une maladie dégénérative chronique progressive caractérisée par la formation d'une cavité remplie de liquide située dans la moelle épinière. Ses symptômes incluent douleurs, faiblesses, engourdissements et raideurs du dos, des épaules, des bras ou des jambes.
Les autres symptômes comprennent des maux de tête, une incapacité de ressentir les changements de température, la transpiration, un dysfonctionnement sexuel et la perte de contrôle des intestins et de la vessie. Elle est généralement observée dans la région cervicale mais peut s'étendre dans la medulla et le pont où il peut descendre dans les segments thoraciques ou lombaires. La syringomyélie est souvent associée à une malformation de Chiari de type I et est couramment observée entre les niveaux C-4 et C-6. Les causes exactes du développement de la syringomyélie sont inconnues mais de nombreuses théories suggèrent que les amygdales herniées dans les malformations de Chiari de type I provoquent la formation d'un «bouchon», qui ne permet pas une sortie du LCS du cerveau vers le canal rachidien. La syringomyélie est présente chez 25 % des patients atteints de malformations de Chiari de type I[3].
Physiopathologie

Le mécanisme physiopathologique le plus communément admis pour la Malformation de Chiari de type 1 repose sur une réduction ou une absence de développement de la fosse postérieure d'origine congénitale ou acquise. Les causes congénitales incluent l'hydrocéphalie, la craniosynostose (spécialement la suture lambdoïde), l’hyperostose (telle que la dysplasie cranio-métaphyséale, l'ostéoporose, l'hyperplasie erythroide), le rachitisme résistant à la vitamine D lien X et la neurofibromatose de type I. Lorsqu'elle est acquise, l'espace occupant les lésions est dû à une des nombreuses causes allant de la tumeur cérébrale à l'hématome[4]. La blessure traumatique du cerveau pourrait causer par ailleurs un retard dans la survenance mais dans ce cas, la physiopathologie est inconnue[5]. De plus, l'ectopie peut être constatée en étant asymptomatique jusqu'à devenir symptomatique à la suite d'un trauma[6]. Cependant, dans certains cas, une ectopie cérébelleuse peut s'avérer symptomatique et plus particulièrement chez les personnes de petite taille[7].
Diagnostic
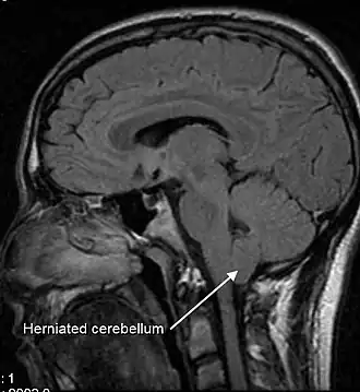
Le diagnostic est basé sur les antécédents médicaux du patient, un examen neurologique et l'Imagerie par Résonance Magnétique (IRM). L'IRM est l'examen de choix pour poser le diagnostic de la Malformation de Chiari. Ce type d'examen permet la visualisation des tissus neuraux tels que les amygdales cérébelleuses, la moelle épinière ainsi que les os et les tissus mous. La tomographie et la myélographie par tomographie étaient d'autres options utilisées avant l'avènement de l'IRM mais ce dernier est désormais l'examen de référence car malheureusement, la résolution et les modalités de la tomographie dite Computerized Tomography (CT) ne permettaient pas de poser le diagnostic d'une éventuelle syringomyélie ou d'autres anomalies neurales.
Par convention, les amygdales cérébelleuses sont mesurées par rapport à la ligne de Mac Rae, par IRM en coupe sagittale en T1 ou des images CT en sagittale. La distance sélectionnée de la jonction utilisée est quelque peu arbitraire car toute personne n'est pas nécessairement symptomatique en dépit d'une position anormale des amygdales cérébelleuses et la probabilité des symptômes et de la présence d'un syrinx croissent à mesure que l'engagement dans le foramen magnum est grand. Cependant, la norme est quand le déplacement des amygdales est supérieur à 5 mm. Certains considèrent qu'entre 3 et 5 mm de déplacement comme étant aux limites car des symptômes et un syrinx peuvent apparaître[8],[9],[10].
Les signes pathologiques et un syrinx peuvent apparaître dans le cas de déplacements d'amygdales cérébelleuses inférieurs à 5 mm. Une étude a montré peu de différence dans la position des amygdales cérébelleuses entre l'IRM couchée standard et l'IRM verticale pour les patients sans antécédents de traumatisme cervical[11]. L'investigation neuro-radiologique est utilisée pour d'abord exclure toute condition intracrânienne qui pourrait être responsable d'une hernie amygdalienne. Les diagnostics neuro-radiologiques évaluent la gravité de l'encombrement des structures neurales dans la fosse crânienne postérieure et leur pression contre le foramen magnum. Chiari 1.5 est un terme utilisé lorsque les hernies du tronc cérébral et des amygdales à travers le foramen magnum sont présentes[12].
Le diagnostic d'une malformation de Chiari II peut être posé avant la naissance, par échographie[13].
Classification
À la fin du XIXe siècle, le pathologiste autrichien Hans Chiari a décrit des anomalies apparemment liées du cerveau postérieur plus communément appelées malformations de Chiari I, II et III. Plus tard, d'autres chercheurs ont ajouté un quatrième type de malformation (Chiari IV). L'échelle de gravité est notée I - IV, IV étant la plus grave. Les types III et IV sont très rares. Depuis les descriptions originales du Dr Chiari, les Chiari 0, 1,5, 3,5 et 5 ont été décrits dans la littérature médicale sans nécessairement faire l'objet d'une classification officielle et reconnue[14],[12],[15],[16].
Types de malformations de Chiari
| Type | Présentation | Signes cliniques |
|---|---|---|
| 0 | Syringo-hydromyélie en l'absence d'une hernie amygdalienne cérébelleuse[17],[18],[19] | Douleurs dorsales, aux jambes, engourdissement / faiblesse des mains |
| I | Hernie des amygdales cérébelleuses. Ectopie amygdalienne sous le foramen magnum avec plus de 5 mm en dessous comme valeur seuil la plus souvent citée pour une position anormale (bien que cela soit considéré comme controversé). Une syringomyélie de la moelle épinière cervicale ou cervico-thoracique peut être observée. Parfois, le pli médullaire et l'élongation du tronc cérébral peuvent être observés. Peut être congénitale ou acquise par traumatisme. Lorsqu'elle est congénitale, elle peut être asymptomatique pendant l'enfance, mais se manifeste souvent par des maux de tête et des symptômes cérébelleux. Le syndrome d'hypermobilité occipito-atlanto-axiale est une malformation acquise de Chiari I chez les patients atteints de troubles héréditaires du tissu conjonctif[20]. Les patients qui présentent une hypermobilité articulaire extrême et une faiblesse du tissu conjonctif à la suite du syndrome d'Ehlers-Danlos ou du syndrome de Marfan sont sensibles aux instabilités de la jonction cranio-cervicale; ils risquent donc d'acquérir une malformation de Chiari. | Maux de tête, douleurs au cou, démarche instable généralement pendant l'enfance[21] |
| 1,5 | En plus de l'ectopie amygdalienne, les patients atteints de cette entité ont également une descente caudale du tronc cérébral. Une proportion importante de ces patients nécessite une deuxième intervention chirurgicale en raison d'une syringomyélie persistante[12]. | Maux de tête et douleurs au cou, similaires à Chiari I |
| II | C'est le seul type également connu sous le nom de « malformation Arnold-Chiari ». Contrairement à la hernie amygdalienne moins prononcée observée en Chiari de type I, il existe un déplacement du vermis cérébelleux plus important. Les herophiles torculaires bas (confluence des sinus), le mésencéphale et l'hydrocéphalie avec une hypoplasie clivale conséquente sont des associations anatomiques classiques. Habituellement accompagnées d'une myélo-méningocèle lombaire ou lombo-sacrée, avec hernie amygdalienne sous le foramen magnum. Une agénésie du corps calleux peut être observée en raison du défaut associé du tube neural. | Paralysie sous le défaut bifida spinal[21] |
| III | Associé à une encéphalocèle occipitale contenant une variété de tissus neuroectodermiques anormaux ainsi qu'une hernie possible d'éléments du cervelet, du tronc cérébral et du lobe occipital. Une syringomyélie, un cordon attaché et une hydrocéphalie peuvent également être observés[21],[22]. | Déficits neurologiques importants[21] |
| 3,5 | En 1894, Giuseppe Muscatello décrit ce que l'on pense être le seul cas d'encéphalocèle occipito-cervical avec une communication à l'estomac. C'est une découverte historique intéressante. Cependant, elle n'a pas été vue ni décrite depuis lors[15]. | Non compatible avec une vie normale. |
| IV | Caractérisé par un défaut de développement cérébelleux dans lequel le cervelet et le tronc cérébral se trouvent dans la fosse postérieure sans aucun rapport avec le foramen magnum[21],[23]. Équivalent à l'agénésie cérébelleuse primaire[24]. | Non compatible avec une vie normale[21] |
| V | Caractérisé par l'absence de développement cérébelleux et une ectopie du lobe occipital dans le foramen magnum[16]. Cette entité rare a deux cas décrits dans la littérature médicale, tous deux associés à la myélo-méningocèle. Cela a suscité une controverse, étant donné le mécanisme proposé de ce syndrome. Les experts en neurochirurgie ne sont pas d'accord s'il s'agit vraiment d'une entité distincte ou simplement d'une partie du spectre des malformations de Chiari II[25]. |
D'autres troubles associés parfois à la malformation de Chiari comprennent l'hydrocéphalie, la syringomyélie, la courbure de la colonne vertébrale, le syndrome de la moelle épinière attachée et les troubles du tissu conjonctif tels que le syndrome d'Ehlers-Danlos et le syndrome de Marfan.
La malformation de Chiari est le terme le plus fréquemment utilisé pour cet ensemble de conditions. L'utilisation du terme « malformation d'Arnold – Chiari » est tombée quelque peu en disgrâce au fil du temps, bien qu'elle soit utilisée pour désigner la malformation de type II. Les sources actuelles utilisent la « malformation de Chiari » pour décrire ses quatre types spécifiques, réservant le terme « Arnold-Chiari » au type II uniquement. Certaines sources utilisent encore « Arnold-Chiari » pour les quatre types.
La malformation de Chiari ou malformation d'Arnold – Chiari ne doit pas être confondue avec le syndrome de Budd-Chiari, une maladie hépatique également nommée pour Hans Chiari.
Dans la malformation Pseudo-Chiari, une fuite de LCR peut provoquer un déplacement des amygdales cérébelleuses et des symptômes similaires suffisants pour être confondus avec une malformation de Chiari I.
Traitement
Le traitement est avant tout chirurgical (il existe des manœuvres de chiropraxie[26] également, mais qui n'ont fait leurs preuves que sur un seul cas étudié). Il a pour but de stopper la croissance de la cavité médullaire (syringomyélie) et de faire régresser les signes neurologiques du patient.
L'opération la plus courante est la craniectomie, ou craniotomie, qui consiste à agrandir le trou occipital en retirant de l'os du crâne[27], éventuellement, une laminectomie en C1 et une plastie de la dure-mère en implantant un Neuro-Patch[28]. Tout cela ayant pour but de faciliter la circulation du LCS.
Quelques équipes neurochirurgicales, notamment en Espagne, proposent la section du Filum Terminale (SFT) en cas de syndrome du ligament coccygien tendu (en)[29],[30].
La section extradurale basse du filum terminale, pratiquée particulièrement en Espagne[31],[32], est très controversée. En France, le centre de référence des syringomyélies, l'hôpital de Kremlin-Bicêtre, qui relève de l'Assistance Publique des Hôpitaux de Paris (AP-HP) ainsi que la Société française de neurochirurgie s'est prononcé sur son inutilité[réf. souhaitée]. Cette technique n’est pas pratiquée en France et ne figure pas sur la classification commune des actes médicaux puisque son bénéfice est controversé, la Haute autorité de santé (HAS) ne s’étant pas encore prononcée en sa faveur. Cependant, une étude sur la section du FT extra-dural[33] a été menée en 2017 à ce sujet. Le programme hospitalier de recherches cliniques (PHRC) a été arrêté devant le peu de candidats pouvant entrer dans le protocole. Seuls cinq patients y avaient été inclus. Le trop petit nombre de patients inclus ne permettra pas d’avoir des conclusions significatives.
Histoire
L'histoire de la malformation de Chiari est décrite ci-dessous et catégorisée par année :
- 1883 : Cleland est le premier à évoquer le Chiari de type II ou malformation d'Arnold–Chiari dans un rapport concernant un enfant atteint d'une spina bifida, d'hydrocéphalie et d'altérations anatomiques du cervelet et du tronc cérébral.
- 1891 : Hans Chiari, un pathologiste viennois, décrit le cas d'une femme âgée de 17 ans atteinte d'une élongation des amygdales cérébelleuses en forme de cône, associée à une medulla engagée dans le canal rachidien.
- 1907 : Schwalbe et Gredig, élèves du pathologiste allemand Julius Arnold, décrivent quatre cas de méningo-myélocèle et des altérations dans le tronc cérébral et du cervelet. Ils donnent le nom « Arnold-Chiari » à ces malformations.
- 1932 : Van Houweninge Graftdijk est le premier à rapporter un traitement chirurgical aux malformations de Chiari. Tous les patients moururent des suites de complications chirurgicales ou post-opératoires.
- 1935 : Russell et Donald suggèrent une décompression de la moelle épinière au niveau du foramen magnum qui pourraient faciliter la circulation du LCS.
- 1940 : Gustafson et Oldberg diagnostiquent la Malformation de Chiari associée à une syringomyélie.
- 1974 : Bloch et al. décrivent la position des amygdales cérébelleuses à classifier entre 7 et 8 mm en dessous du cervelet.
- 1985 : Aboulezz utilise l'IRM pour le diagnostic de l'extension cérébelleuse
Société
La malformation de Chiari (MC) a été portée à l'écran dans plusieurs séries télévisées et notamment la série américaine CSI: Crime Scene Investigation dans l'épisode de la dixième saison « Internal Combustion ». La malformation de Chiari a été brièvement mentionnée dans la série américaine Dr House dans l'épisode 22 "House divisé " de la cinquième saison, et c'était le centre de l'épisode 20 "Le Copain d'avant" de la sixième saison. C'est également au centre de l'épisode 4 de la saison 4 de Private Practice où une femme enceinte en est diagnostiquée. La MC a également été mentionnée dans la série médicale A Gifted Man, dans l'épisode de la première saison "In Case of Separation Anxiety". Elle est également présentée dans le 3e et 4e épisode de la 7e saison de la série Rizzoli & Isles où le Dr Maura Isles est diagnostiquée de la maladie[34].
Notes et références
- ↑ « Dysautonomia News - Winter/Spring 2006 », sur web.archive.org, (consulté le )
- ↑ [vidéo] Apaiser, « Comment aborder et prendre en charge les troubles sexuels de lhomme et de la femme neurologique », sur YouTube, (consulté le )
- ↑ (en) Omer C Ibrahimagic, « Acta Medica Saliniana », Acta Medica Saliniana, vol. 38, no 1, , p. 44-46 (ISSN 1840-3956, DOI 10.5457/ams.v38i1.31, lire en ligne, consulté le ).
- ↑ Loukas M, Shayota BJ, Oelhafen K, Miller JH, Chern JJ, Tubbs RS, Oakes WJ, « Associated disorders of Chiari Type I malformations: a review », Neurosurgical Focus, vol. 31, no 3, , E3 (PMID 21882908, DOI 10.3171/2011.6.FOCUS11112)
- ↑ Moscote-Salazar LR, Zabaleta-Churio N, Alcala-Cerra G, M Rubiano A, Calderon-Miranda WG, Alvis-Miranda HR, Agrawal A, « Symptomatic Chiari Malformation with Syringomyelia after Severe Traumatic Brain Injury: Case Report », Bulletin of Emergency and Trauma, vol. 4, no 1, , p. 58–61 (PMID 27162930, PMCID 4779473)
- ↑ Freeman MD, Rosa S, Harshfield D, Smith F, Bennett R, Centeno CJ, Kornel E, Nystrom A, Heffez D, Kohles SS, « A case-control study of cerebellar tonsillar ectopia (Chiari) and head/neck trauma (whiplash) », Brain Injury, vol. 24, nos 7–8, , p. 988–94 (PMID 20545453, DOI 10.3109/02699052.2010.490512)
- ↑ (en) K. Furuya, K. Sano, H. Segawa et K. Ide, « Symptomatic tonsillar ectopia. », Journal of Neurology, Neurosurgery & Psychiatry, vol. 64, no 2, , p. 221–226 (ISSN 0022-3050 et 1468-330X, PMID 9489535, DOI 10.1136/jnnp.64.2.221, lire en ligne, consulté le )
- ↑ A. J. Barkovich, F. J. Wippold, J. L. Sherman et C. M. Citrin, « Significance of cerebellar tonsillar position on MR », AJNR. American journal of neuroradiology, vol. 7, no 5, , p. 795–9. (ISSN 0195-6108, PMID 3096099)
- ↑ A. O. Aboulezz, K. Sartor, C. A. Geyer et M. H. Gado, « Position of cerebellar tonsils in the normal population and in patients with Chiari malformation: a quantitative approach with MR imaging », Journal of Computer Assisted Tomography, vol. 9, no 6, , p. 1033–1036 (ISSN 0363-8715, PMID 4056132, DOI 10.1097/00004728-198511000-00005)
- ↑ J. Chern, A. J. Gordon, M. Mortazavi et R. Tubbs, « Pediatric Chiari malformation Type 0: a 12-year institutional experience. », Journal of neurosurgery. Pediatrics, (DOI 10.3171/2011.4.PEDS10528, lire en ligne, consulté le )
- ↑ Michael D. Freeman, Scott Rosa, David Harshfield et Francis Smith, « A case-control study of cerebellar tonsillar ectopia (Chiari) and head/neck trauma (whiplash) », Brain Injury, vol. 24, nos 7-8, , p. 988–994 (ISSN 1362-301X, PMID 20545453, DOI 10.3109/02699052.2010.490512, lire en ligne, consulté le )
- 1 2 3 R. Shane Tubbs, Bermans J. Iskandar, Alfred A. Bartolucci et W. Jerry Oakes, « A critical analysis of the Chiari 1.5 malformation », Journal of Neurosurgery, vol. 101, no 2 Suppl, , p. 179–183 (ISSN 0022-3085, PMID 15835105, DOI 10.3171/ped.2004.101.2.0179, lire en ligne, consulté le )
- ↑ (en) Li-Gang Cui, Ling Jiang, Hua-Bin Zhang et Bin Liu, « Monitoring of cerebrospinal fluid flow by intraoperative ultrasound in patients with Chiari I malformation », Clinical Neurology and Neurosurgery, vol. 113, no 3, , p. 173–176 (ISSN 1872-6968, PMID 21075511, DOI 10.1016/j.clineuro.2010.10.011)
- ↑ B. J. Iskandar, G. L. Hedlund, P. A. Grabb et W. J. Oakes, « The resolution of syringohydromyelia without hindbrain herniation after posterior fossa decompression », Journal of Neurosurgery, vol. 89, no 2, , p. 212–216 (ISSN 0022-3085, PMID 9688115, DOI 10.3171/jns.1998.89.2.0212)
- 1 2 (en) Fisahn C et Shoja Mm, « The Chiari 3.5 malformation: a review of the only reported case », sur Child's nervous system : ChNS : official journal of the International Society for Pediatric Neurosurgery, 2016 dec (PMID 27679454, consulté le )
- 1 2 R. Shane Tubbs, Mitchel Muhleman, Marios Loukas et W. Jerry Oakes, « A new form of herniation: the Chiari V malformation », Child's Nervous System: ChNS: Official Journal of the International Society for Pediatric Neurosurgery, vol. 28, no 2, , p. 305–307 (ISSN 1433-0350, PMID 22038152, DOI 10.1007/s00381-011-1616-5)
- ↑ B. J. Iskandar, G. L. Hedlund, P. A. Grabb et W. J. Oakes, « The resolution of syringohydromyelia without hindbrain herniation after posterior fossa decompression », Journal of Neurosurgery, vol. 89, no 2, , p. 212–216 (ISSN 0022-3085, PMID 9688115, DOI 10.3171/jns.1998.89.2.0212, lire en ligne, consulté le )
- ↑ A. Leland Albright, Ian F Pollack et P. David Adelson, Principles and practice of pediatric neurosurgery, (ISBN 978-1-60406-801-6, 978-1-322-17621-5 et 978-1-80406-801-4, OCLC 892430302, lire en ligne)
- ↑ R. S. Tubbs, S. Elton, P. Grabb et S. E. Dockery, « Analysis of the posterior fossa in children with the Chiari 0 malformation », Neurosurgery, vol. 48, no 5, , p. 1050–1054; discussion 1054–1055 (ISSN 0148-396X, PMID 11334271, DOI 10.1097/00006123-200105000-00016, lire en ligne, consulté le )
- ↑ Thomas H. Milhorat, Paolo A. Bolognese, Misao Nishikawa et Nazli B. McDonnell, « Syndrome of occipitoatlantoaxial hypermobility, cranial settling, and chiari malformation type I in patients with hereditary disorders of connective tissue », Journal of Neurosurgery. Spine, vol. 7, no 6, , p. 601–609 (ISSN 1547-5654, PMID 18074684, DOI 10.3171/SPI-07/12/601, lire en ligne, consulté le )
- 1 2 3 4 5 6 Prasad Vannemreddy, Ali Nourbakhsh, Brian Willis et Bharat Guthikonda, « Congenital Chiari malformations », Neurology India, vol. 58, no 1, , p. 6–14 (ISSN 0028-3886, PMID 20228456, DOI 10.4103/0028-3886.60387, lire en ligne, consulté le )
- ↑ « MeSH Browser », sur meshb.nlm.nih.gov (consulté le )
- ↑ « Chiari Malformations - Department of Neurological Surgery », sur web.archive.org, (consulté le )
- ↑ Feng Yu, Qing-jun Jiang, Xi-yan Sun et Rong-wei Zhang, « A new case of complete primary cerebellar agenesis: clinical and imaging findings in a living patient », Brain: A Journal of Neurology, vol. 138, no Pt 6, , e353 (ISSN 1460-2156, PMID 25149410, PMCID 4614135, DOI 10.1093/brain/awu239, lire en ligne, consulté le )
- ↑ Suhas Udayakumaran, « Chiari V or Chiari II plus? », Child's Nervous System: ChNS: Official Journal of the International Society for Pediatric Neurosurgery, vol. 28, no 3, , p. 337–338; author reply 339 (ISSN 1433-0350, PMID 22159553, DOI 10.1007/s00381-011-1654-z)
- ↑ Adam W. Sergent et Gregory P. Cofano, « Chiropractic Care for Headaches and Dizziness of a 34-Year-Old Woman Previously Diagnosed With Arnold-Chiari Malformation Type 1 », Journal of Chiropractic Medicine, vol. 13, no 3, , p. 192–5 (ISSN 1556-3707, PMID 25225468, PMCID PMC4161710, DOI 10.1016/j.jcm.2014.07.004, lire en ligne, consulté le ).
- ↑ Fuyou Guo, Meiyun Wang, Jiang Long et Huaili Wang, « Surgical management of Chiari malformation: analysis of 128 cases », Pediatric Neurosurgery, vol. 43, no 5, , p. 375–81 (ISSN 1423-0305, PMID 17786002, DOI 10.1159/000106386).
- ↑ Neuro-Patch : matériau non-tissé, microporeux, fabriqué à partir d’un polyester d’uréthane « Neuro-Patch® », sur www.bbraun.ch/fr.
- ↑ (en) Thomas H Milhorat, Paolo A Bolognese, Misao Nishikawa, Clair A Francomano, Nazli B McDonnell, Chan Roonprapunt, Roger W Kula, « Association of Chiari malformation type I and tethered cord syndrome: preliminary results of sectioning filum terminale », Surgical neurology, vol. 72, no 1, , p. 20-35 (ISSN 1879-3339, PMID 19559924, DOI 10.1016/j.surneu.2009.03.008, résumé).
- ↑ (en) Andrew J Fabiano, Mohammed F Khan, Curtis J Rozzelle, Veetai Li, « Preoperative predictors for improvement after surgical untethering in occult tight filum terminale syndrome », Pediatric neurosurgery, vol. 45, no 4, , p. 256-261 (ISSN 1423-0305, PMID 19609093, DOI 10.1159/000228983, lire en ligne).
- ↑ (es) Royo-Salvador Miguel B., « Nuevo tratamiento quirúrgico para la siringomielia, la escoliosis, la malformación de Arnold-Chiari, el kinking del tronco cerebral, el retroceso odontoideo, la impresión basilar y la platibasia idiopáticas », Rev Neurol (Barc), vol. 25, no 140, , p. 523-30 (lire en ligne [PDF]).
- ↑ (es) Royo-Salvador Miguel B., Contribution à la étiologie de la Syringomyélie (thèse de doctorat en médecine), UNIVERSIDAD AUTÓNOMA DE BARCELONA, (lire en ligne [PDF]).
- ↑ « Études terminées | Association Apaiser S&C | Apaiser », sur Apaiser S&C, (consulté le ).
- ↑ (en) [vidéo] Maura Isles Moments, « Chiari malformation », sur YouTube, (consulté le )
Liens externes
- Ressources relatives à la santé :
- Classification internationale des soins primaires
- DiseasesDB
- Genetic and Rare Diseases Information Center
- Héritage mendélien chez l'humain
- ICD-10 Version:2016
- ICD9Data.com
- Medical Dictionary for Regulatory Activities Terminology
- Medical Subject Headings
- NCI Thesaurus
- Orphanet
- PatientLikeMe
- WikiSkripta
- Ressource relative à la recherche :
- Association Apaiser S&C
- Chiari et malformations vertébrales et médullaires rares NeuroSphinx
- Chiari et syringomyélie, campus de Neurochirurgie
- Syndrome de Chiari : une malformation rare du cervelet
- La malformation de Chiari de type 1 à l’ère de l’imagerie par résonance magnétique
- (en) American Syringomyelia Alliance Project
- (en) The Chiari Institute
- (en) Bobby Jones Chiari & Syringomyelia Foundation, Inc.
- (en) Conquer Chiari
- (en) The Canadian Chiari Association
- Portail de la médecine