Micro-organisme

Agrégat d’Escherichia coli, grossissement x 10 000.

Un micro-organisme ou microorganisme (du grec ancien μικρός / mikrós, « petit » et de ὄργανον / órganon, « organe ») ou microbe (du grec μικρός / mikrós, « petit » et βίος / bíos, « vie ») est un organisme unicellulaire qui ne peut être observé individuellement qu'à l'aide d'un microscope. Dans leur ensemble, les microorganismes représentent la majeure partie du monde vivant.

Les trois domaines du vivant sont représentés parmi les micro-organismes : bactéries, archées et eucaryotes unicellulaires (protistes et champignons). Certains microbiologistes y ajoutent les virus alors que d'autres ne les considèrent pas comme des êtres vivants à part entière[1],[2], puisqu'ils ne peuvent métaboliser ni se répliquer de manière autonome, hors d'une cellule-hôte[3].

En améliorant le microscope et en mettant en évidence dès le XVIIe siècle l'existence des bactéries, Antoni van Leeuwenhoek apparaît comme le précurseur de l'étude des micro-organismes et de la biologie cellulaire. Depuis 1872 (Ferdinand Julius Cohn) les « bactéries » sont différenciées des levures, des moisissures, des infusoires ou des parasites.

Étymologie

Le mot « microbe » (littéralement « petite vie ») est introduit par le chirurgien français Charles-Emmanuel Sédillot en 1878 pour désigner les êtres vivants infiniment petits, un mois avant que Louis Pasteur et ses collaborateurs ne fassent une communication à l'Académie de médecine sur la « théorie des germes » et ses applications à la médecine et à la chirurgie : des êtres vivants microscopiques y sont déclarés responsables de maladie. Cette approche pasteurienne des microbes, dont les plus grandes réussites concernent des microbes pathogènes et la surreprésentation du phénomène parasitaire microbien au XIXe siècle, expliquent que le terme « microbe » comporte encore une forte connotation négative[4], alors que les micro-organismes participent au cycle du carbone et à celui de l'azote, et jouent un rôle essentiel dans presque tous les écosystèmes. Les plantes et les animaux en bonne santé abritent une impressionnante diversité de micro-organismes (microbiote des plantes, microbiote intestinal, microbiote cutané humain, etc.).

Culture d'Escherichia coli dans une boîte de Petri.

Histoire

L'hypothèse que certaines maladies pourraient provenir de micro-organismes invisibles à l’œil nu existe dès l'Antiquité, même si elle n'est pas privilégiée par médecins les plus influents comme Hippocrate ou Galien. On la trouve cependant sous la plume de Varron dans son Économie rurale :

« Il se développe dans les marécages certains petits animaux, invisibles à l’œil, qui par la respiration pénètrent dans le corps par la bouche et les narines, et y provoquent des maladies dangereuses »

 Varron, Économie rurale, I, 11-12 (Ier siècle).

Cette hypothèse est cependant négligée pendant l'essentiel de l'histoire européenne au profit de la théorie des humeurs, et il faudra attendre les progrès de la microscopie pour la rétablir.

Au XVIIe siècle, le drapier hollandais Antoine van Leeuwenhoek observe les micro-organismes  microbes, levures, globules du sang  à l'aide d'un microscope de sa conception. Il fait ainsi l'une des plus importantes contributions à la biologie en ouvrant la voie aux domaines de la microbiologie et de la bactériologie.

Au XIXe siècle, Agostino Bassi prouve l'origine microbienne du mal del segno, une maladie (muscardine) des vers à soie, Filippo Pacini celle du choléra, Casimir Davaine la maladie du charbon et les découvertes de micro-organismes se multiplient. Louis Pasteur participe au mouvement et découvre lui aussi quelques micro-organismes pathogènes. En 1867, Joseph Lister (qui déclare une dette envers Pasteur) révolutionne la chirurgie avec l'antisepsie. Divers scientifiques de l'époque, dont le plus connu est Pasteur, travaillent sur des vaccins.

En 1878, le médecin militaire Charles-Emmanuel Sédillot propose, dans une note des Comptes rendus de l'Académie des sciences, le terme « microbe » (signifiant mot à mot : petite vie) pour désigner tous les agents microscopiques pathogènes[5]. Les scientifiques hésitaient sur la place à leur donner dans le monde du vivant, si bien qu'ils les désignaient sous les termes de microphytes, microzoaires, microgermes ou germes, vibrions, leptothrix, bactéries, etc. Frappé des inconvénients d'une synonymie qui soulevait à chaque instant des contestations entre savants, Sédillot, propose le terme de microbes, agents visibles au microscope et susceptibles d'être cultivés.

La liste de ces agents est rapidement complétée[6] : le staphylocoque (Pasteur, 1878), le gonocoque (Neisser, 1879), la fièvre typhoïde (Koch en 1880), la tuberculose (Koch en 1882), le pneumocoque (Talamon, 1883), le choléra (Koch, 1883), le streptocoque (Fehleisen, 1883), la diphtérie (Löffler, 1884), le tétanos (Nicolaier, 1886), le méningocoque (Weichselbaum, 1887), la peste (Yersin, 1894), la dysenterie (Shiga, 1898), la coqueluche (Bordet et Gengou, 1906), etc. Ainsi, le terme microbe est surtout employé au XIXe siècle par les médecins qui le considèrent uniquement comme un agent pathogène, d'où sa connotation négative[7]. Celui moins connoté de micro-organisme, forgé en 1876 par Henri de Parville, rédacteur scientifique au Journal officiel[8] se substitue très progressivement à microbe au XXe siècle[9].

Classification

Les micro-organismes sont présents dans toute la structure de la taxonomie. Il est possible de distinguer d'une part les micro-organismes procaryotes qui ne possèdent pas de noyau comme les bactéries et les Archaea, et d'autre part les micro-organismes eucaryotes possédant un noyau. Ces derniers comprennent champignons unicellulaires (comme les levures), algues unicellulaires et protistes (photosynthétiques ou non).

Les micro-organismes sont souvent décrits comme unicellulaires, quelques protistes unicellulaires sont visibles à l'œil nu et quelques espèces multicellulaires sont microscopiques.

La taille moyenne des cellules bactériennes est de 0,5 à 1 μm, mais il existe certaines bactéries ayant une taille de plus de 50 μm. Les cellules eucaryotes ont un diamètre allant de 5 à 20 μm.

Importance dans les écosystèmes

Les micro-organismes auraient été les premières formes de vie à se développer sur Terre, il y a environ 3,4 à 3,7 milliards d'années. Le transfert horizontal de gènes, de pair avec un haut taux de mutation et de nombreux autres moyens de la variation génétique, permet aux micro-organismes d'évoluer rapidement (par sélection naturelle), de survivre dans des environnements nouveaux et répondre à des stress environnementaux.

Cette évolution rapide est importante dans la médecine, car elle l'a conduite à l'évolution récente de « super-microbes » — des bactéries (notamment pathogènes) rapidement devenues résistantes aux antibiotiques modernes.

Les micro-organismes sont indispensables à l'homme et à l'environnement. Ils participent au cycle du carbone et au cycle de l'azote et accomplissent un rôle vital dans presque tous les écosystèmes, tels que la biodégradation et le recyclage d'autres organismes. Un monde sans microbes est donc possible mais l'histoire des animaux axéniques et gnotobiotiques met en lumière que l’absence de microbes entraîne une réduction massive des fonctions physiologiques fondamentales assurant croissance/développement, survie des êtres vivants[10].

On trouve les micro-organismes dans tous les types d'environnement présents dans la nature : ils colonisent tous les écosystèmes, comme les sols, les eaux douces et les eaux marines, l'air, mais aussi des environnements plus hostiles tels que les pôles, les déserts, les geysers, le fond des océans, etc. Les micro-organismes rencontrés dans des environnements extrêmes sont qualifiés d'extrêmophiles. De nombreux micro-organismes sont associés aux plantes ou aux animaux avec lesquels ils peuvent entretenir des relations de symbiose, de commensalisme ou de parasitisme. Certains micro-organismes peuvent être pathogènes, c’est-à-dire entraîner une maladie chez les plantes ou les animaux.

Interactions entre l'homme et les microbes

Les interactions entre l'homme et les microbes (en) sont nombreuses et variées, aussi bien négatives (maladies) que positives : conservation des aliments, fermentation alimentaire, apports de vitamines quand celles des aliments stockés ont disparu (croûtes de fromages orangés à brévibactéries riches en carotène, un précurseur de la vitamine A, Lactobacillus et Streptococcus des yaourts apportant des vitamines du groupe B, les bactéries lactiques des choux fermentés sont une source de vitamine du groupe C, Bacillus subtilis natto dans le soja fermenté apporte de la vitamine K)[11]. Dans un être humain en bonne santé, il y a plus de cellules microbiennes que de cellules humaines[12].

Habitats

Certains microbes dont ceux dits extrêmophiles auraient acquis au cours de l'évolution des moyens de résistance face au système immunitaire de leur hôte ou face au stress environnemental (acides, pression, température, froid, oxydants, métaux lourds, radioactivité, etc.), soit en s'adaptant à l'un ou l'autre de ces « facteurs de stress », soit en entrant en sommeil ou en se protégeant par « enkystement ».

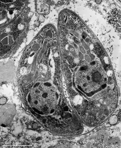
Deux tachyzoïtes de Toxoplasma gondii, microscopie électronique à transmission[13]

Un même microbe peut ainsi se présenter sous plusieurs formes, Toxoplasma gondii offre par exemple  selon le contexte  trois formes :

  • tachyzoïte, forme active à haut taux de reproduction ;
  • mérozoïte, se reproduisant moins vite, mais protégé dans des kystes cellulaires ;
  • sporozoïte, forme très protégée logée dans des oocystes.

Dans les milieux fréquentés par l'homme, le taux de micro-organismes dans l'air peut fortement varier. Il est notamment lié à la poussière et à l'humidité contenues dans l'atmosphère.

Les rayons UV du soleil désinfectent l'air quand il est humide et riche en particules, telles que les poussières, les pollens, les suies, etc. car ces particules servent de support à de nombreuses bactéries, virus, micro-organismes, spores de champignon, et sont facilement mis en suspension dans l'air par le vent, les turbulences, le balayage, ou encore le flux des véhicules.

C'est dans les villes denses que le taux de microbes était le plus élevé au XXe siècle. Lablokoff, naturaliste qui travaillait sur les forêts et leur naturalité, a comparé le taux de microbes contenu dans l'air de différents lieux plus ou moins pourvus d’arbres et de végétation. Il a alors obtenu les résultats suivants[14] :

En 1956, d'autres mesures[15] ont donné :

Maladies et immunologie

Les micro-organismes peuvent aussi être la cause de nombreuses maladies infectieuses. On distingue ainsi : les bactéries pathogènes qui provoquent des maladies comme la peste, la tuberculose et le charbon, les protozoaires responsables de maladies comme le paludisme, la maladie du sommeil et la toxoplasmose et enfin les champignons qui provoquent des maladies telles que la teigne, la candidose ou histoplasmose. D'autres maladies comme la grippe, la fièvre jaune ou le SIDA sont causées par des virus pathogènes qui ne sont généralement pas classés comme des organismes vivants et ne sont donc pas des micro-organismes au sens strict du terme. Heureusement, nous possédons des barrières naturelles (la peau et les muqueuses) dont le rôle est d'empêcher la contamination. Elles évitent que les micro-organismes ne pénètrent dans le milieu intérieur, évitant ainsi l'infection.

Conditions de vie et besoins des micro-organismes

Aux échelles microscopiques, les organismes sont confrontés à une physique et à des besoins particuliers[16].

Pour se nourrir, les micro-organismes ont besoin de :

  • substances organiques :
    • glucides (sucres) : glucose, lactose… apport de carbone et d'énergie.
      Utilisation soit par respiration (dégradation totale : gaz), soit par fermentation (composés divers issus du « découpage » plus ou moins important des sucres).
      Les produits de ces fermentations sont des déchets et sont donc rejetés dans le milieu naturel.
    • protides (protéines) : apport de substances azotées.
      • Dégradation plus ou moins importante des protéines avec libération d'acides aminés, peptides, voire ammoniac : c'est la protéolyse.
    • lipides : éventuellement — apport de carbone et d'énergie.
      • Libération d'acides gras : appelée la lipolyse.
      • La quantité de lipides a un effet protecteur sur la destruction des bactéries par de hautes températures.
  • Substances minérales : sels.
  • Facteurs de croissance : vitamines.
  • Eau.

Par le froid, on stoppe la croissance de la majorité des micro-organismes qui vont se maintenir en état de dormance, sans multiplication.

L'importance du temps de chauffe permet, pour une température donnée, de parvenir à une destruction plus ou moins complète ; une augmentation de température impliquant une diminution du temps de chauffe. Les principaux traitements thermiques sont la pasteurisation et la stérilisation.

À une température favorable adaptée et optimale, on permettra le développement de certaines espèces :

L'interaction de micro-organismes différents peut varier :

  • la métabiose : succession sur un même milieu de micro-organismes ; les premiers préparent le « terrain » pour les suivants, puis stoppent leur multiplication et enfin disparaissent ;
  • la symbiose : développement sur un même milieu et en même temps de plusieurs espèces microbiennes, ces espèces se favorisant mutuellement ;
  • l'antibiose : il en existe plusieurs formes
    • par compétition, lié au nombre et à la virulence d'une espèce ; la plus combative occupant le milieu, celui-ci devient impropre au développement de l'espèce la plus faible,
    • par inhibition : les antibiotiques,
    • par parasitisme : les bactériophages ou virus dont la multiplication est 25 à 100 fois plus rapide que celle des bactéries.

L'activité des micro-organismes dans la biosphère et leur rôle dans les cycles biogéochimiques sont essentiels pour toutes les formes de vie sur Terre.

La microbiologie est la science qui étudie les micro-organismes.

Histoire évolutive

L'origine et l'évolution des micro-organismes est intimement liée à l'origine et évolution des cellules.

Capsule temporelle

Une forme de vie isolée depuis 2 milliards d'années a été découverte dans le complexe igné du Bushveld en Afrique du Sud en 2024[17],[18].

Notes et références

  1. (en) Rybicki EP (1990) « The classification of organisms at the edge of life, or problems with virus systematics » S Aft J Sci. 86:182-6.
  2. (en) Lwoff A, « The concept of virus », J Gen Microbiol, vol. 17, no 2, , p. 239–53
  3. François Jacob, « Qu’est-ce que la vie ? », in La Vie, Éd. Odile Jacob, 2002.
  4. Marc-André Selosse, « Symbiose et mutualisme versus évolution : de la guerre à la paix ? », Atala, no 15, , p. 36.
  5. À la suite des découvertes de Pasteur, Sédillot invente et propose en 1878 à l'Académie des sciences, après approbation de Littré, le mot « microbe ». Jusqu'alors on employait divers synonymes, par exemple « animalcules » ou « êtres microscopiques ». (Voir une liste de ces dénominations dans la communication de Sédillot : C. Sédillot, « De l'influence des découvertes de M. Pasteur sur les progrès de la Chirurgie », Comptes rendus hebdomadaires des séances de l'Académie des sciences, t. 86, (1878), p. 634, consultable sur Gallica.)
  6. Pierre Germa. Les grandes inventions, Berger Levrault Edit Paris 1982
  7. Marc-André Selosse, Jamais seul. Ces microbes qui construisent les plantes, les animaux et les civilisations, Éditions Actes Sud, , p. 47
  8. « Les micro-organismes nombreux et prolifères », Henri de Parville, Journ. offic. 11 févr. 1876, p. 1136
  9. Alain Rey, Dictionnaire historique de la langue française, Nathan, (lire en ligne), p. 2483.
  10. (en) Jack A. Gilbert , Josh D. Neufeld, « Life in a World without Microbes », PLOS Biology, vol. 12, no 12, (DOI 10.1371/journal.pbio.1002020).
  11. Marc-André Selosse, Jamais seul. Ces microbes qui construisent les plantes, les animaux et les civilisations, Actes Sud Nature, , p. 101.
  12. Thierry Magnin, Penser l'humain au temps de l'homme augmenté : Face aux défis du transhumanisme, , 304 p. (ISBN 978-2-226-42398-6, lire en ligne), p. 112.
  13. Jacques Rigoulet, Alain Hennache, Pierre Lagourette, Catherine George, Loïc Longeart, Jean-Loïc Le Net et Jitender P. Dubey, « Toxoplasmosis in a bar-shouldered dove (Geopelia humeralis) from the Zoo of Clères, France », Parasite, vol. 21, , p. 62 (ISSN 1776-1042, PMID 25407506, DOI 10.1051/parasite/2014062)
  14. Iablokoff AK, Carrefour biogéographique, Le massif de Fontainebleau, chap III, Pris, Sedes, 1953, p. 63-98
  15. Georges Plaisance (médecin et ingénieur des eaux et forêts), Forêt et Santé, Guide pratique de sylvothérapie, Ed Dangles (ISBN 2-7033-0278-9)
  16. (en) by David B Dusenbery ; Review by: Howard A Review: The Mechanical World of Microorganisms  ; Living at Micro Scale: The Unexpected Physics of Being Small ; StoneBioScience, Vol. 60, No. 11 (décembre 2010), p. 950-951
  17. Morgane Gillard, « Découverte extraordinaire de formes de vie isolées de la surface de la Terre depuis 2 milliards d’années ! », sur Futura (consulté le )
  18. (en) Yohey Suzuki, Susan J. Webb, Mariko Kouduka et Hanae Kobayashi, « Subsurface Microbial Colonization at Mineral-Filled Veins in 2-Billion-Year-Old Mafic Rock from the Bushveld Igneous Complex, South Africa », Microbial Ecology, vol. 87, no 1, , p. 116 (ISSN 1432-184X, PMID 39354222, PMCID PMC11445344, DOI 10.1007/s00248-024-02434-8, lire en ligne, consulté le )

Voir aussi

Bibliographie

  • Perry J., Staley J. et Lory S., Microbiologie, Dunod, 2004.
  • Lansing M. Prescott, Joanne M. Willey, Linda M. Sherwood et Christopher J. Woolverton, Microbiologie, 5e éd., De Boeck Supérieur, 2018 (ISBN 978-2-8073-0802-2).
  • Singleton P., Bactériologie : Pour la médecine, la biologie et les biotechnologies, Cours, 6e éd., Dunod, 2005.
  • Marc-André Selosse, Jamais seul. Ces microbes qui construisent les plantes, les animaux et les civilisations, Éditions Actes Sud, , 368 p. (lire en ligne).
  • Tom Wakeford, Aux origines de la vie. Quand l'homme et le microbe s'apprivoisent, De Boeck Supérieur, , 123 p. (lire en ligne).

Articles connexes

Lien externe

  • icône décorative Portail de la biologie
  • icône décorative Portail de la microbiologie
  • icône décorative Portail de la médecine