Microcéphalie

Microcéphalie
Description de cette image, également commentée ci-après
Comparaison du profil d'un bébé microcéphale (à gauche), et d'un bébé au crâne normal (à droite)
Causes Infection à Virus Zika (d)
Traitement
Spécialité Génétique médicale
Classification et ressources externes
CISP-2 N85
CIM-10 Q02
CIM-9 742.1
OMIM 251200
DiseasesDB 22629
MedlinePlus 003272
MeSH D008831

Wikipédia ne donne pas de conseils médicaux Mise en garde médicale

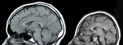
Image IRM d'un individu normal (à gauche) et d'un patient atteint de microcéphalie due à une mutation du gène ASPM
Patiente jeune
Patiente vieille
Deux Françaises, dont une âgée, atteintes de microcéphalie, 1888/89

La microcéphalie concerne toutes les formes de croissance anormalement faible de la boîte crânienne et du cerveau. Elle se manifeste par des mesures crâniennes : périmètre et diamètre de la tête, inférieurs à la normale.

C'est une anomalie du développement qui se traduit par une moindre espérance de vie et un deficit cognitif. Cette anomalie peut être congénitale ou apparaître dans les premières années de la vie.

De nombreuses causes, endogènes ou exogènes, peuvent provoquer une croissance anormalement faible du cerveau et du crâne, dont certains syndromes liés à des anomalies chromosomiques, des intoxications ou des infections.

Quand elle est modérée ou non congénitale, elle se détecte par le suivi des courbes de croissance de l'enfant (Périmètre crânien).

Éléments de définition

Il n'existe pas de définition consensuelle du diamètre en dessous duquel on parle de microcéphalie, mais toutes les définitions se fondent sur la mesure du périmètre crânien. Il existe des abaques donnant la « normalité » de ces données suivant le terme et le sexe du bébé[1]. La microcéphalie est définie si la mesure est en dessous de trois écarts types[2] ,[3]. Pour certains la limite basse est de plus de deux écarts-types en dessous de la moyenne pour l'âge et le sexe[4],[5].

Les nourrissons atteints de microcéphalie naissent avec une tête de taille réduite, ou de taille normale, mais dont le crâne ne grandira pas normalement alors que la face continue à se développer à un rythme normal, formant un front fuyant, et un cuir chevelu distendu et souvent ridé. Au fur et à mesure de la croissance de l'enfant, la petitesse du crâne devient plus évidente, mais tout le corps est souvent aussi concerné par un retard de croissance. Selon les cas, les fonctions motrices sont plus ou moins affectées (jusqu'à une quadriplégie spastique parfois). De même pour l'acquisition de la parole, qui est plus ou moins retardée. Une hyperactivité et une déficience intellectuelle sont courantes, mais plus ou moins marquées selon les cas. Des convulsions peuvent survenir.

Causes possibles

Elles sont nombreuses ; la consommation de boisson alcoolisée, de drogues ou une maladie (varicelle, rubéole, virus Zika...) lors de la grossesse peuvent affecter la construction du cerveau et être la cause d'une microcéphalie à la naissance[6].

Une mutation du gène ASPM cause une microcéphalie autosomale récessive. Certaines mutations du gène MCPH1, à l'état homozygote, provoquent une microcéphalie primaire1,2,3. Ces gènes ont joué un rôle important dans l'évolution du cerveau humain. À noter que les mutations de la microcéphaline et la microcéphalie anormale fusiforme causent généralement une diminution du volume cérébral jusqu’à une taille comparable à celle des premiers hominidés[7],[8].

Formes congénitales

Cas isolés

  • cas familiaux (microcéphalie autosomique récessive)
  • microcéphalie à dominante autosomale
  • microcéphalie liée au X
  • « Chromosomique » (réarrangement de gènes/chromosomes)

Syndromes

Anomalie acquise

Autres causes :

Cas post-nataux

Origines génétiques

Syndromes

Formes acquises

Origine virale ?

Le virus Zika ou un éventuel nouveau variant de ce virus ont été suspectés au Brésil[10] d'entraîner une microcéphalie[11],[12],[13], mais en 2016, l'information reste à confirmer par manque d'études sur le sujet[14] et parce que dans d'autres régions où l'épidémie règne, ou là où ce virus est endémique, il ne semble pas causer de microencéphalies. D'autres études mettent en cause un insecticide, le pyriproxifène utilisé au Brésil durant 18 mois dans la région où a été ensuite constaté le plus grand nombre de cas de microcéphalie[15],[16]. Pourtant lors de l'épidémie survenue en Polynésie française, 18 cas de malformations du système nerveux central ont été répertoriés entre et [réf. nécessaire], sans que le pyriproxyfène n'ait été utilisé dans cette région[17]. Début , on a montré au Brésil que le virus pouvait être retrouvé dans le liquide amniotique (chez deux femmes enceintes porteuses d'un fœtus microcéphale)[réf. souhaitée]. Le , des chercheurs slovènes ont publié la découverte de copies d'ARN viral dans le tissu cérébral d'un fœtus porteur d'une microcéphalie majeure avec calcifications cérébrales. Ce fœtus avait été autopsié après une interruption médicale de grossesse[17]. La femme porteuse du fœtus aurait été infectée par Zika quand elle était au Brésil (vers sa 13e semaine de gestation)[17]. Le virus semble donc pouvoir se développer dans le cerveau du fœtus. Il n'est pas impossible qu'un pesticide puisse faciliter l'activité néfaste du virus pour le cerveau, mais cela reste à confirmer[17].

En , des chercheurs américains ont montré que le virus Zika était capable de provoquer la mort ou de perturber la croissance des cellules souches à l'origine du cortex cérébral[18].

Références

  1. Villar J, Cheikh Ismail L, Victora CG et al. International standards for newborn weight, length, and head circumference by gestational age and sex: the Newborn Cross-Sectional Study of the INTERGROWTH-21st Project, Lancet, 2014;384:857–868
  2. Woods CG, Parker A, Investigating microcephaly, Arch Dis Child, 2013;98:707–713
  3. Behrman, R. E.; Kligman, R. M.; Jensen, H. B. (2000). Nelson's Textbook of Pediatrics (16th ed.). Philadelphia: WB Saunders. (ISBN 0721677673).
  4. Leviton, A.; Holmes, L. B.; Allred, E. N.; Vargas, J. (2002). "Methodologic issues in epidemiologic studies of congenital microcephaly". Early Hum Dev 69 (1): 91–105. doi:10.1016/S0378-3782(02)00065-8.
  5. Opitz, J. M.; Holt, M. C. (1990). "Microcephaly: general considerations and aids to nosology". J Craniofac Genet Dev Biol 10 (2): 75–204. PMID 2211965.
  6. « Syndrome d'alcoolisation fœtal : première cause de déficience intellectuelle évitable », sur www.prevention-medicale.org, (consulté le )
  7. Fernando A. Villanea, George H. Perry, Gustavo A. Gutiérrez-Espeleta et Nathaniel J. Dominy, « ASPM and the Evolution of Cerebral Cortical Size in a Community of New World Monkeys », PLOS ONE, vol. 7, , e44928 (ISSN 1932-6203, PMID 23028686, PMCID 3459963, DOI 10.1371/journal.pone.0044928, lire en ligne, consulté le )
  8. C. Geoffrey Woods, James Cox, Kelly Springell et Daniel J. Hampshire, « Quantification of homozygosity in consanguineous individuals with autosomal recessive disease », American Journal of Human Genetics, vol. 78, , p. 889–896 (ISSN 0002-9297, PMID 16642444, PMCID 1474039, DOI 10.1086/503875, lire en ligne, consulté le )
  9. Szczepanski S, Hussain MS Sur I, Altmüller J, Thiele H, Abdullah U, Waseem SS, Moawia A, Nürnberg G, Noegel AA, Baig SM, Nürnberg P (2015) A novel homozygous splicing mutation of CASC5 causes primary microcephaly in a large Pakistani family. Hum Genet
  10. Abrasco (2016) note technique : Nota técnica sobre microcefalia e doenças vetoriais relacionadas ao Aedes aegypti: os perigos das abordagens com larvicidas e nebulizações químicas – fumacê 02 fev 2016 - Por Vilma Reis
  11. (en) Emily E. Petersen, Erin Staples, Dana Meaney-Delman, Marc Fischer, Sascha R. Ellington, William M. Callaghan, Denise J. Jamieson, « Interim Guidelines for Pregnant Women During a Zika Virus Outbreak — United States, 2016 », sur www.cdc.gov/mmwr, MMWR Early Release on the MMWR website, , p. 30–33
  12. Lavinia Schuler-Faccini, Erlane M. Ribeiro, Ian M.L. Feitosa, Dafne D.G. Horovitz, Denise P. Cavalcanti, André Pessoa, Maria Juliana R. Doriqui, Joao Ivanildo Neri, Joao Monteiro de Pina Neto, Hector Y.C. Wanderley, Mirlene Cernach, Antonette S. El-Husny, Marcos V.S. Pone, Cassio L.C. Serao, Maria Teresa V. Sanseverin. Possible Association Between Zika Virus Infection and Microcephaly — Brazil, 2015. 2016 (Jan 29) Morbidity and Mortality Weekly Report (MMWR) 2016 / 65(3);59–62.
  13. European Centre for Disease Prevention and Control. Rapid risk assessment: Microcephaly in Brazil potentially linked to the Zika virus epidemic – 24 November 2015. Stockholm: ECDC; 2015. (Associated press release "Microcephaly in Brazil potentially linked to the Zika virus epidemic, ECDC assesses the risk")
  14. « Brésil : le Zika en cause dans des malformations congenitales », sur polynésie 1ère (consulté le )
  15. Virus Zika : les malformations pourraient venir d'un insecticide Monsanto
  16. Virus Zika: le rôle trouble d'un insecticide contre le moustique-tigre
  17. 1 2 3 4 Article du Figaro intitulé Microcéphalie : Zika reste la piste la plus sérieuse, par Soline Roy, publié 17/02/2016
  18. Le virus Zika infecte les cellules cérébrales

American Horror Story,Pepper.

Voir aussi

Articles connexes

Bibliographie

  • Lannelongue, M. (1890). De la craniectomie dans la microcéphalie. Compt Rend Seances Acad Sci, 50, 1382-1385.
  • icône décorative Portail du handicap
  • icône décorative Portail de la médecine