Mycobacterium avium
Mycobacterium avium
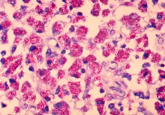
M. avium proliférant dans le ganglion lymphatique d'un patient atteint du SIDA (microscopie optique après coloration ZN)
| Domaine | Bacteria |
|---|---|
| Embranchement | Actinomycetota |
| Classe | Actinomycetes |
| Ordre | Mycobacteriales |
| Famille | Mycobacteriaceae |
| Genre | Mycobacterium |
Mycobacterium avium est une mycobactérie et une espèce opportuniste chez l'homme.
C'est en fait un complexe de mycobactéries non tuberculeuses qui vont causer 2 types d'infections chez l'homme :
- Chez les enfants : Adénopathies essentiellement cervicales[1]
- Chez l'immunodéprimé (Co infection VIH en particulier) : pneumonies[2].
Les chercheurs pensent que cette bactérie vit dans les sols autour de l'homme mais on ne sait pas vraiment où en particulier[2].
Chez la souris
Chez la souris, certaines souches peuvent être hautement virulentes et déclencher une pathologie similaire à la tuberculose humaine. Il se forme alors des granulomes avec un centre nécrotique occupé par des cellules multinucléées géantes et des macrophages infectés, entourés par une couronne de lymphocytes T activés[3].
Notes et références
- ↑ Sami M. Akram et Fibi N. Attia, « Mycobacterium Avium Intracellulare », dans StatPearls, StatPearls Publishing, (PMID 28613762, lire en ligne)
- 1 2 B. Raju et N. W. Schluger, « Significance of respiratory isolates of Mycobacterium avium complex in HIV-positive and HIV-negative patients », International journal of infectious diseases: IJID: official publication of the International Society for Infectious Diseases, vol. 4, no 3, , p. 134–139 (ISSN 1201-9712, PMID 11179916, DOI 10.1016/s1201-9712(00)90074-2, lire en ligne, consulté le )
- ↑ Rui Appelberg, « Pathogenesis of Mycobacterium avium infection: typical responses to an atypical mycobacterium? », Immunologic Research, vol. 35, no 3, , p. 179–190 (ISSN 0257-277X, PMID 17172645, DOI 10.1385/IR:35:3:179, lire en ligne, consulté le )
- Portail de la microbiologie
- Portail de la médecine