Myocardite
| Spécialité | Cardiologie |
|---|
| CIM-10 | I09.0, I51.4 |
|---|---|
| CIM-9 | 391.2, 422, 429.0 |
| DiseasesDB | 8716 |
| MedlinePlus | 000149 |
| eMedicine |
156330 emerg/326 |
| MeSH | D009205 |
| Patient UK | Myocarditis-pro |
Mise en garde médicale
La myocardite est une atteinte inflammatoire du myocarde de causes variées, dans laquelle les artères coronaires sont saines, contrairement à une cause ischémique.
Diagnostic
Clinique
La maladie peut être asymptomatique jusqu'à son terme, qu'elle évolue spontanément vers une issue favorable (guérison) ou non (risque de mort subite). Lorsqu'elle est symptomatique, elle peut se manifester de diverses manières :
- douleur thoracique, parfois de type péricarditique, prolongée et inhibant la respiration. La présence d'un frottement péricarditique à l'auscultation cardiaque est inconstante mais assez évocatrice ;
- fièvre, notamment dans les cas d'infection ;
- palpitations, tachycardie (pouls rapide) ;
- hypotension artérielle ;
- syncopes ;
- insuffisance cardiaque : dyspnée (essoufflement), œdème des membres inférieurs, œdème aigu du poumon ;
- syndrome pseudo-grippal notamment après une infection virale : symptômes ORL, fatigue, céphalées ;
Si elle est grave, la détérioration du fonctionnement cardiaque peut être à l'origine d'une mort subite causée par des troubles du rythme cardiaque ou d'une insuffisance cardiaque.
On parle de myocardite aiguë face à une insuffisance cardiaque récente, sans maladie coronarienne ni valvulaire évolutive[1].
La myocardite est dite fulminante si les premiers signes cliniques apparaissent très vite (en quelques jours) après une crise pseudo-grippale (souvent alors induite par un virus à tropisme cardiaque comme le parvovirus B19, le virus herpès de type 6, les virus Coxsackies, et les adénovirus). Le risque d'une dégradation de la santé avec défaillances viscérales, voire arrêt cardiaque, implique une prise en charge dans un établissement disposant d’assistance cardiaque[1].
Des formes plus progressives et subaiguës demandent un traitement conventionnel pour insuffisance cardiaque et parfois immunosuppresseur ou immunomodulateur (selon l'étiologie de la myocardite)[1].
Examens complémentaires
- Prise de sang : la prise de sang montre une inflammation (élévation de la CRP et de la VS) et une augmentation des marqueurs cardiaques (troponine et CK).
La preuve de l'origine virale est le plus souvent donnée par les sérologies (dosage des anticorps anti-viraux) qui montrent une augmentation du taux des anticorps sur deux examens séparés de quelques semaines. Cette preuve n'est cependant pas nécessaire dans la plupart des cas.
La recherche d'auto anticorps anti-muscle cardiaque est possible mais son intérêt dans la prise en charge n'est pas clairement établi.
- ECG : l'électrocardiogramme montre des signes similaires à l'infarctus du myocarde.
Les anomalies ne sont pas spécifiques et peuvent être complètement absentes. On retrouve parfois des troubles de la repolarisation cardiaque avec une onde T négative dans plusieurs dérivations et des anomalies du segment ST.
- L'échographie cardiaque n'est pas discriminante : elle peut être normale, montrer une hypokinésie globale ou de certains segments[2], ce qui ne permet pas de faire la différence avec un infarctus. Elle peut montrer un simple épanchement péricarditique, sous forme d'une lame de liquide entourant tout ou partie du cœur, témoin d'une péricardite associée.
Dans les formes plus graves, la fonction systolique est altérée avec une diminution globale et homogène de la contraction du ventricule gauche, quantifiée par la fraction d'éjection (diminuée dans ce cas). On parle alors d'hypokinésie globale. Cette diminution peut également ne concerner qu'une partie du ventricule gauche (hypokinésie segmentaire), pouvant faire faussement croire à un infarctus du myocarde.
- Actuellement, l'IRM cardiaque est le seul examen permettant de manière non invasive le diagnostic de myocardite[3]. Il montre des images, après injection de gadolinium, de nécrose dans la partie médiane et sous épicardique du muscle cardiaque, différente de celles d'un infarctus. Les images apportées par l'IRM à 10 minutes de l'injection sont les plus significatives en vue d'un diagnostic différentiel avec des images de nécrose myocardique (infarctus du myocarde). Lors d'une myocardite, on peut observer en effet des nodules diffus, sans distribution coronaire systématisée. Lors d'un infarctus en revanche, les images présenteront un aspect habituel de rehaussement tardif en bande superposable à un territoire coronaire (anomalie de fixation du gadolinium dans le myocarde nécrosé)[4].
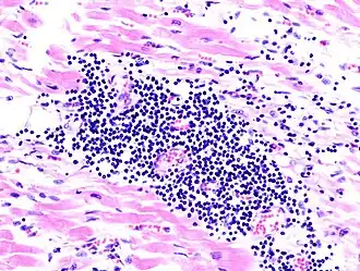
- Biopsie de myocarde : la biopsie objective une infiltration du myocarde par les lymphocytes ou quelquefois par les macrophages, une autre variété de globules blancs. Elle est accompagnée d'autre part d'une multiplication des cellules conjonctives avec parfois nécrose. L'élément clé reste la biopsie du myocarde, faite par voie endovasculaire : un cathéter comportant une pince à son extrémité est introduite dans le ventricule droit par l'intermédiaire de la veine fémorale, sous contrôle radiologique et sous anesthésie locale (biopsie endomyocardique). Elle est réservée aux cas graves avec insuffisance cardiaque d'apparition récente[5]. Elle permet l'isolement et l'identification du virus responsable.
L'infarctus du myocarde pouvant se présenter comme une myocardite, une coronarographie doit être faite en cas de doute diagnostique. Cet examen se révèlera alors normal en présence d'une myocardite isolée (sans coronaropathie associée). La coronarographie présente toutefois l'inconvénient d'être un examen invasif (impliquant de « monter » vers le cœur un cathéter via l'artère radiale ou fémorale), examen non exempt de complications pouvant dans certains cas être graves ou même très graves.
Une alternative possible à la coronarographie est la réalisation d'un coroscanner, examen non invasif (mise à part une simple injection intraveineuse) qui donnera des informations sur une éventuelle anomalie coronarienne. En l'absence de suspicion de facteurs de risque coronarien (sujet jeune, à cholestérol normal, non fumeur, physiquement actif...) le coroscanner peut remplacer la coronarographie.
Elle permet de détecter les phénomènes inflammatoires locaux mais n'est pas très spécifique. La scintigraphie aux anticorps anti-myosine marqués est assez sensible mais la technique est de réalisation difficile[6].
Pronostic
Elle se fait habituellement vers la guérison sans séquelle, même en cas d'anomalies de la contraction notées initialement qui peuvent régresser complètement.
Dans de rares cas, elle peut se compliquer d'un tableau d'insuffisance cardiaque pouvant être gravissime (« myocardite fulminante ») et pouvant nécessiter parfois une assistance ventriculaire, voire une transplantation cardiaque. Si le patient survit au cap aigu, il guérit dans la plupart des cas sans séquelle[7]. Les formes intermédiaires (« myocardite subaigue ») peuvent, par contre, évoluer vers la constitution d'une cardiomyopathie de type dilatée avec un tableau d'insuffisance cardiaque chronique.
Les troubles du rythme ventriculaire ont un mauvais pronostic.
Causes
Infections
- Virus : enterovirus, adénovirus, Coxsackie, rubéole, Poliomyélite, cytomégalovirus, Epstein barr, virus de l'Herpès, parvovirus[8], SARS-CoV-2 (complication rare d'un covid, mais avec dysfonction ventriculaire gauche pouvant être sévère, même si ce n'est que transitoire[9])
- Bactérie (maladie de Lyme, Bartonellose, brucellose, Corynebacterium diphtheriae, gonocoque, Haemophilus influenzae, typhus... avec co-infections possibles)
- Protozoaires : Toxoplasma gondii etTrypanosoma cruzi (maladie de Chagas)
- Mycose : aspergillus
- Parasite : ascaris, Echinococcus granulosus, schistosoma, Taenia solium, Trichinella spiralis, larva migrans, and Wuchereria bancrofti
Causes immunologiques
- hypersensibilité : certains médicaments
- post transplantation cardiaque
- maladies autoimmunes : sarcoïdose, lupus érythémateux disséminé
Toxiques
- Médicaments : anthracyclines voire d'autres chimiothérapies
- neuroleptiques par exemple la clozapine et certaines drogues de synthèse comme la méphédrone[10].
- poisons : arsenic, CO, certains venins,
- l'éthanol couramment appelé alcool
- métaux lourds : plomb, cobalt
Autres
- électrocution,
- radiothérapie,
- post-partum
- myocardite de Fiedler (cause inconnue, sans doute allergique),
- myocardite à cellules géantes (observation de cellules géantes à la biopsie),
- myocardite pigmentaire,
- la myocardite subaiguë primitive de Tripier et Gallavardin,
- Après un vaccin à ARN contre le COVID-19, essentiellement chez l'homme jeune, le plus souvent quelques jours après la deuxième dose et d'évolution favorable[11], un mécanisme pourrait être l'injection intraveineuse accidentelle[12],
- myocardite non spécifique.
Physiopathologie
Dans un premier temps, dans le cas d'une myocardite virale, le virus provoque une destruction cellulaire. La réaction immunologique permet de stopper la progression virale, mais, parfois, elle s'attaque également aux cellules cardiaques, dont certains antigènes sont proches de ceux du virus en cause[13], aggravant ainsi le tableau initial. La présence d'auto-anticorps pourrait ainsi jouer un rôle dans l'évolution vers une cardiomyopathie de type dilatée[14].
Épidémiologie
Son incidence est difficile à déterminer, la plupart des formes étant asymptomatiques (le patient ne se plaint de rien). Une étude autopsique de morts subites chez des personnes jeunes montre qu'une myocardite est présente dans un cas sur dix[15].
Traitement
- Règles hygiénodiététiques : activité physique modérée, régime équilibré, arrêt du tabagisme, consommation modérée d'alcool.
- Repos.
- Le patient peut-être mis sous aspirine à fortes doses, ou sous anti-inflammatoires non stéroïdien[réf. nécessaire] surtout en cas de péricardite associée.
- Traitement de la cause :
- traitement de l'infection :
- traitement antibiotique,
- aucun traitement spécifique antiviral n'a démontré une quelconque efficacité ;
- en cas de cause auto-immune, les résultats des immunosuppresseurs sont inconstants : azathioprine, ciclosporine, cortisone[16],[17].
- traitement de l'infection :
- Traitement des conséquences :
- traitement de l'insuffisance cardiaque :
- transplantation cardiaque en dernier recours.
- traitement de l'insuffisance cardiaque :
Notes et références
- Cet article est partiellement ou en totalité issu de l'article intitulé « Myocardite virale » (voir la liste des auteurs).
- 1 2 3 Hékimian, G., & Combes, A. (2017). Myocardites. La Revue de Médecine Interne (résumé).
- ↑ (en) Pinamonti B, Alberti E, Cigalotto A et al., « Echocardiographic findings in myocarditis », Am J Cardiol., no 62, , p. 285–91 (PMID 3400607)
- ↑ (en) Friedrich MG, Sechtem U, Schulz-Menger J et al., « Cardiovascular magnetic resonance in myocarditis: A JACC White Paper », J Am Coll Cardiol., no 53, , p. 1475–87 (résumé)
- ↑ (en) Abdel-Aty H, Boye P, Zagrosek A et al., « Diagnostic performance of cardiovascular magnetic resonance in patients with suspected acute myocarditis: comparison of different approaches », J Am Coll Cardiol., no 45, , p. 1815–1822 (résumé)
- ↑ (en) Hunt SA, Baker DW, Chin MH et al., « ACC/AHA Guidelines for the Evaluation and Management of Chronic Heart Failure in the Adult: Executive Summary. A Report of the American College of Cardiology/American Heart Association Task Force on Practice Guidelines (Committee to Revise the 1995 Guidelines for the Evaluation and Management of Heart Failure): Developed in Collaboration With the International Society for Heart and Lung Transplantation; Endorsed by the Heart Failure Society of America », Circulation, no 104, , p. 2996–3007 (lire en ligne)
- ↑ (en) Dec GW, Palacios I, Yasuda T et al., « Antimyosin antibody cardiac imaging: its role in the diagnosis of myocarditis », J Am Coll Cardiol., no 16, , p. 97–104 (résumé)
- ↑ (en) McCarthy RE 3rd, Boehmer JP, Hruban RH, Hutchins GM, Kasper EK, Hare JM, Baughman KL, « Long-term outcome of fulminant myocarditis as compared with acute (nonfulminant) myocarditis », N Engl J Med., no 342, , p. 690–695 (résumé)
- ↑ (en) R. Dennert, H. J. Crijns et S. Heymans, « Acute viral myocarditis », Eur Heart J., no 29, , p. 2073-2082 (résumé)
- ↑ Ammirati E, Lupi L, Palazzini M et al. Prevalence, characteristics, and outcomes of COVID-19–associated acute myocarditis, Circulation, 2022;145:1123–1139
- ↑ (en) Nicholson PJ, Quinn MJ, Dodd JD, « Headshop heartache: acute mephedrone 'meow' myocarditis », Heart (British Cardiac Society), vol. 96, no 24, , p. 2051–2 (PMID 21062771, DOI 10.1136/hrt.2010.209338)
- ↑ Bozkurt B, Kamat I, Hotez PJ, Myocarditis with COVID-19 mRNA vaccines, Circulation, 2021;144:471–484
- ↑ Intravenous injection of COVID-19 mRNA vaccine can induce acute myopericarditis in mouse model
- ↑ (en) Lawson CM, « Evidence for mimicry by viral antigens in animal models of autoimmune disease including myocarditis », Cell Mol Life Sci., no 57, , p. 552–560 (lire en ligne)
- ↑ (en) Caforio AL, Mahon NJ, Tona F, McKenna WJ, « Circulating cardiac autoantibodies in dilated cardiomyopathy and myocarditis: pathogenetic and clinical significance », Eur J Heart Fail., no 4, , p. 411–417 (PMID 12167378, DOI 10.1016/S1388-9842(02)00010-7, lire en ligne)
- ↑ (en) Doolan A, Langlois N, Semsarian C, « Causes of sudden cardiac death in young Australians », Med J Aust., no 180, , p. 110–112 (lire en ligne)
- ↑ (en) Mason JW, O'Connell JB, Herskowitz A, Rose NR, McManus BM, Billingham ME, Moon TE, « A clinical trial of immunosuppressive therapy for myocarditis. The Myocarditis Treatment Trial Investigators », N Engl J Med., no 333, , p. 269–275 (résumé)
- ↑ (en) Parrillo JE, Cunnion RE, Epstein SE et al., « A prospective, randomized, controlled trial of prednisone for dilated cardiomyopathy », N Engl J Med., no 321, , p. 1061–1068 (résumé)
Liens externes
- Ressources relatives à la santé :
- Ressource relative à la recherche :
- Notices dans des dictionnaires ou encyclopédies généralistes :
- Portail de la médecine