Néoplasie prostatique intraéphithéliale
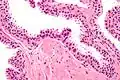
La néoplasie prostatique intraéphithéliale (ou PIN) est une anomalie de tubes glandulaires prostatiques. Elle peut être de bas (LGPIN) ou de haut grade (HGPIN). Cette anomalie est considérée comme une lésion précurseur du cancer de la prostate (adénocarcinome prostatique).
Anatomie pathologique
Images microscopiques
Néoplasie prostatique intraéphithéliale
Néoplasie prostatique intraéphithéliale de haut grade (HGPIN)
Néoplasie prostatique intraéphithéliale de haut grade (HGPIN)
Voir aussi
- Portail de la médecine