Oncocytome

Oncocytome
Description de cette image, également commentée ci-après
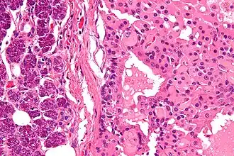
Coupe histologique d'une glande parotide présentant un oncocytome (à droite sur l'image). Du tissu sain de parotide est aussi présent (à gauche sur l'image). Coloration à l'hématoxyline et à l'éosine.
Traitement
Spécialité Oncologie
Classification et ressources externes
ICD-O M8290/0
DiseasesDB 31956
eMedicine 279462
MeSH D018249

Wikipédia ne donne pas de conseils médicaux Mise en garde médicale

L'oncocytome est une tumeur bénigne de nature glandulaire (adénome) ; à signaler toutefois que certaines formes malignes ont été discutées[1].

Ce terme vient du Grec (onkos : masse et kutos : cellule).

Localisation

Oncocytome au niveau de la parotide.

Cette lésion touche essentiellement les reins[2], les bronches et surtout les glandes salivaires (parotide).

Elle peut, plus rarement, atteindre les muqueuses digestives (côlon, estomac).

Histologie

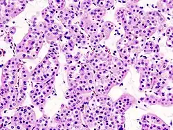
Histologie : Oncocytome rénal.

La tumeur est constituée de cellules oncocytaires éosinophiles. Les noyaux des oncocytomes sont toujours ronds et réguliers (par opposition aux noyaux des carcinomes à cellules chromophobes qui sont, au contraire, anguleux, rainurés et avec inclusion cytoplasmique).

L'immuno-histochimie et les critères cytogénétiques sont utilisés pour confirmer le diagnostic[3].

Profil immunohistochimique

Profil immunohistochimique de l'oncocytome rénal[4] :

Évolution

Son évolution est le plus souvent favorable, mais un diagnostic histologique s'impose afin d'éliminer une tumeur maligne.

La localisation parotidienne semble la plus fréquemment décelée (80 % des cas), cependant il faut relativiser ce chiffre dans la mesure où la masse tumorale y est perçue par le patient lui-même, sous la forme d'un nodule légèrement douloureux au niveau maxillaire.

Les autres localisations sont plus difficiles à mettre en évidence, car l'onconcytome reste le plus souvent asymptomatique et c'est au cours d'examens médicaux systématiques (imagerie médicale) que la lésion est suspectée.

Références

  • icône décorative Portail de la médecine