Os naviculaire accessoire

Os naviculaire accessoire
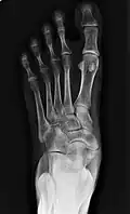
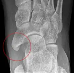
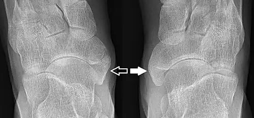
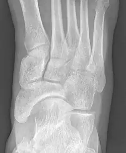
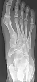
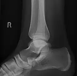
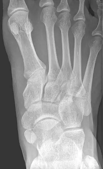
Radiographie du pied montrant un os naviculaire accessoire
Radiographie du pied montrant un os naviculaire accessoire

Liste des maladies génétiques à gène identifié

Un os naviculaire accessoire est un os accessoire du pied qui se développe parfois anormalement devant la cheville vers l'intérieur du pied. Cet os peut être présent dans environ 2 à 14 % de la population générale et est généralement asymptomatique[1],[2],[3]. Lorsqu'il est symptomatique, une intervention chirurgicale peut être nécessaire.

L'os naviculaire accessoire peut provoquer un étirement continu et une tension sur le tendon postérieur tibial qui peut évoluer vers une douleur chronique invalidante et peut provoquer une rupture du tendon ou une déformation secondaire du pied plat, lorsque cela se produit, cette condition est communément appelée syndrome naviculaire accessoire[4]. D'autres conditions qui imitent étroitement les symptômes d'un os naviculaire accessoire incluent fasciite plantaire, oignons et épine calcanéenne.

Diagnostic

Pour diagnostiquer le syndrome naviculaire accessoire, le chirurgien du pied et de la cheville posera des questions sur les symptômes et examinera le pied, à la recherche d'une irritation ou d'un gonflement de la peau. Le médecin peut appuyer sur la saillie osseuse pour évaluer la zone d'inconfort. La structure du pied, la force musculaire, le mouvement des articulations et la façon dont le patient marche peuvent également être évalués.

Les radiographies sont généralement commandées pour confirmer le diagnostic. S'il y a une douleur ou une inflammation en cours, une IRM ou d'autres tests d'imagerie avancés peuvent être utilisés pour évaluer davantage la condition.

Images radiologiques

Références

  1. « Wheeless' Textbook of Orthopaedics »
  2. « Macrorad Teleradyoloji Olgu Sunumları - SYMPTOMATIC ACCESSORY NAVICULAR BONE »
  3. Miller TT, Staron RB, Feldman F, Parisien M, Glucksman WJ, Gandolfo LH, « The symptomatic accessory tarsal navicular bone: assessment with MR imaging », Radiology, vol. 195, no 3, , p. 849–853 (PMID 7754020, DOI 10.1148/radiology.195.3.7754020)
  4. Sahibzada N. Mansoora, Farooq A.Rathore, « Symptomatic accessory navicular bone: A case series », The Egyptian Rheumatologist, vol. 39, no 4, , p. 263–266 (DOI 10.1016/j.ejr.2017.02.003)
  • icône décorative Portail de l’anatomie