Radius (os)

| Articulation | |
|---|---|
| Élément de |
Os de la partie libre du membre supérieur (d) |
| Éléments constitutifs |
Tête du radius, col du radius (d), corps du radius (d), processus styloïde du radius, tubercule dorsal du radius, sillon des tendons des muscles extenseurs du radius (d), incisure ulnaire du radius, surface articulaire carpienne du radius (d) |
| Nom latin |
Radius |
|---|---|
| MeSH |
D011884 |
| TA98 |
A02.4.05.001 |
| TA2 |
1210 |
| FMA |
23463 |
Le radius (du latin, radius, « rayon »), est un os long interne du zeugopode du membre chiridien des vertébrés tétrapodes. Chez l'Homme, le radius constitue, avec l'ulna, l'avant-bras dont il occupe la partie latérale.
Il s'articule au niveau du coude avec l'humérus et l'ulna, et au niveau du poignet avec l'ulna, l'os scaphoïde et l'os lunatum.
L'ulna et le radius jouent un rôle décisif dans le mouvement de pronation / supination de l'avant-bras.
Il est constitué d'un corps (la diaphyse) et de deux extrémités (les épiphyses proximale et distale).
Description
Diaphyse
La diaphyse ou corps du radius est de section triangulaire. Il est plus étroit en haut qu'en bas. Il est légèrement incurvé en étant convexe latéralement. Il présente trois faces (antérieure, postérieure et latérale) et trois bords (antérieur, postérieur et interosseux).
Face antérieure

La face antérieure ou face palmaire est concave dans ses trois quarts supérieurs et donne naissance au muscle long fléchisseur du pouce. Elle est large et plate dans son quart inférieur, et donne insertion au muscle carré pronateur. En dessous de son insertion, une crête proéminente limite une zone triangulaire rugueuse donnant insertion au ligament radio-carpien palmaire.
À la jonction des tiers supérieur et moyen de la face palmaire se trouve le foramen nutritif, qui est dirigé obliquement vers le haut.
Face postérieure

La face postérieure ou face dorsale est convexe. Son tiers supérieur est lisse et recouverte par le muscle supinateur. Son tiers médian est large, légèrement concave, et donne naissance au muscle long abducteur du pouce en haut et au muscle court extenseur du pouce en bas. Son tiers inférieur est large, convexe et recouvert par les tendons des muscles qui passent dans les rainures de l'extrémité inférieure de l'os.
Face latérale


La face latérale est convexe sur toute son étendue. Son tiers supérieur donne insertion au muscle supinateur. Autour de son centre se trouve une crête rugueuse, la tubérosité pronatrice, pour l'insertion du muscle rond pronateur[1]. Sa partie inférieure est étroite et couverte par les tendons du muscle long abducteur du pouce et du muscle court extenseur du pouce.
Bord antérieur
Le bord antérieur ou palmaire sépare la face antérieure de la face latérale et s'étend de la partie inférieure de la tubérosité du radius jusqu'à la partie supérieure du processus styloïde du radius.
Son tiers supérieur est proéminent, et de direction oblique de haut en bas et médio-latéral. Il donne naissance au muscle fléchisseur superficiel des doigts et au muscle long fléchisseur du pouce.
La surface au-dessus de la partie oblique et sur la face latérale s'insère le muscle supinateur.
Le tiers médian du bord antérieur est indistinct et arrondi.
Le quart inférieur est proéminent et donne une insertion au muscle carré pronateur et une attache au rétinaculum des muscles extenseurs de la main.
Bord postérieur
Le bord postérieur ou bord dorsal sépare la face postérieure de la face latérale et commence en haut à l'arrière du col du radius et se termine en bas à la partie postérieure de la base du processus styloïde. Il est indistinct en haut et en bas, mais bien marqué dans le tiers médian de la diaphyse.
Bord interosseux
Le bord interosseux ou bord interne sépare la face antérieure de la face postérieure. Il commence en haut à la partie postérieure de la tubérosité du radius. En bas il se divise en deux crêtes qui se poursuivent jusqu'aux bords antérieur et postérieur de l'incisure ulnaire du radius.
Il donne attache à la membrane interosseuse de l'avant-bras pour réaliser la syndesmose radio-ulnaire.
Épiphyse proximale


L'épiphyse proximale du radius est constituée de la tête présente une tête du radius, du col du radius et de la tubérosité du radius.
Tête du radius
La tête du radius est une saillie cylindrique au sommet du radius.
Sa face supérieure présente une surface articulaire de faible concavité, la facette articulaire de la tête du radius qui s'articule avec le capitulum de l'humérus pour former l'articulation huméro-radiale. Le point le plus profond de cette cavité n'est pas axisymétrique avec le grand axe du radius, créant un effet de came lors de la pronation et de la supination.
La circonférence articulaire de la tête du radius est lisse et s'articule médialement avec l'incisure radiale de l'ulna pour former l'articulation radio-ulnaire proximale. Elle est embrassée par le ligament annulaire du radius.
Col du radius
Le col du radius est la partie cylindrique et rétrécie qui sépare la tête du radius de la diaphyse du radius. Sur sa partie postérieure une légère crête donne une insertion au muscle long abducteur du pouce.
Tubérosité du radius
La tubérosité du radius est une éminence ovoïde à grand axe vertical qui est situé en avant et médialement à la jonction du col et de la diaphyse du radius.
Sa partie postérieure rugueuse donne insertion au tendon du muscle biceps brachial.
Sa partie antérieure lisse est séparée du tendon par une bourse synoviale.
Épiphyse distale

L'épiphyse distale du radius est de forme quadrilatère aplatie d'avant en arrière.
Elle présente cinq faces (antérieure, postérieure, latérale, médiale et inférieure).
Face antérieure
La face antérieure ou face palmaire est rugueuse et irrégulière. Elle donne insertion au ligament radio-carpien palmaire.
Face postérieure

La face postérieure ou face dorsale est convexe. Elle donne insertion au ligament radio-carpien dorsal. Elle est marquée des sillons des tendons des muscles extenseurs du radius :
- Le premier sillon latéral est large, peu profond et subdivisé en deux par une légère crête. Latéralement à cette crête passe le tendon du muscle long extenseur radial du carpe et médialement le tendon du muscle court extenseur radial du carpe.
- Le deuxième est profond, étroit et délimité latéralement par une crête bien définie ; il est dirigé obliquement en bas et en dehors, et transmet le tendon du muscle long extenseur du pouce.
- Le troisième est large, pour le passage des tendons du muscle extenseur des doigts et du muscle extenseur de l'index.
La crête séparant les deux derniers sillons est le tubercule dorsal du radius.
Face latérale
La face latérale étroite est séparée de la face postérieure par la crête suprastyloïdienne. Elle présente une gouttière pour le passage des tendons du muscle long abducteur du pouce et du muscle court extenseur du pouce. En bas elle se prolonge par une volumineuse apophyse : le processus styloïde du radius. Celui-ci donne insertion à sa base au muscle brachio-radial et à son sommet au ligament collatéral radial du carpe.
Face médiale
La face médiale est triangulaire. Elle se situe entre les deux bifurcations du bord interosseux. Sa partie inférieure présente une surface articulaire concave d'avant en arrière : l'incisure ulnaire du radius qui s'articule avec la tête de l'ulna pour former l'articulation radio-ulnaire distale.
Face inférieure
La face inférieure est entièrement articulaire et recouverte de cartilage hyalin. De forme triangulaire à sommet latéral, la surface articulaire carpienne du radius est lisse et concave dans tous les sens.
Elle est divisée en deux zones par une crête antéro-postérieure émoussée. La zone médiale quadrilatère s'articule avec l'os lunatum, la zone latérale triangulaire s'articule avec l'os scaphoïde.
Elle est séparée de la face médiale et de l'incisure ulnaire par une crête qui donne insertion à la base du ligament triangulaire.
L'ensemble formant l'articulation radio-carpienne.
Anatomie fonctionnelle

Le radius avec l'ulna permet les mouvements de pronation - supination par rotation de ces deux os l'un par rapport à l'autre.
Système musculaire


Le radius est le point d'insertion (origine ou terminaison ) des muscles suivants :
| Muscle | Insertion | Région |
| Muscle biceps brachial | Terminaison | Tubérosité du radius |
| Muscle supinateur | Terminaison | Face antéro-latérale de l'extrémité supérieure du radius |
| Muscle fléchisseur superficiel des doigts | Origine | Chef radial sur la face antérieure du radius |
| Muscle long fléchisseur du pouce | Origine | Face antérieure du radius |
| Muscle long abducteur du pouce | Origine | Face postérieure du radius (partage également l'origine avec la face postérieure de l'ulna) |
| Muscle court extenseur du pouce | Origine | Face postérieure du radius |
| Muscle rond pronateur | Terminaison | Face latérale du radius sur la tubérosité pronatrice |
| Muscle carré pronateur | Terminaison | Quart distal de la face antérieure du radius |
| Muscle brachio-radial | Terminaison | Processus styloïde du radius |
Embryologie
Le radius s'ossifie à partir de trois centres : un pour la diaphyse et un pour chaque épiphyse.
Le premier centre d'ossification apparait près du centre de l'os, au cours de la huitième semaine de la vie fœtale.
Le point d'ossification de l'épiphyse distale apparait entre 9 et 26 mois, celui de la proximale vers 5 ans.
L'ossification de l'épiphyse proximale rejoint celle de la diaphyse vers l'âge de dix-sept ou dix-huit ans et la distale vers l'âge de vingt ans.
Un centre supplémentaire existe parfois au niveau de la tubérosité du radius qui apparaît vers la quatorzième ou quinzième année.
Aspect clinique
Aplasie radiale
L'aplasie radiale est l'absence ou à la brièveté congénitale du radius. On peut la retrouver dans des syndromes comme le syndrome de Baller-Gerold.
Fracture radiale
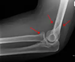
Fracture du radius proximal

La fracture peut se produire dans la capsule de l'articulation du coude. Elle n'est pas nécessairement visible directement sur une radio mais peut être détectée par le déplacement des coussinets adipeux à la suite de l'épanchement articulaire par le "signe du voile".
La lésion d'Essex-Lopresti est une fracture de la tête du radius concomitante avec une luxation de l'articulation radio-ulnaire distale et une lésion de la membrane interosseuse de l'avant-bras[2].
Fracture du radius distal
Les fractures distale du radius peuvent être concomitantes avec des déplacements des autres articulations constitutives de l'articulation du poignet.
Elle est associée avec une luxation de l'articulation radio-ulnaire distale dans le cas d'une fracture de Galeazzi.
Elle est associée avec un déplacement dorsal du radius dans le cas d'une fracture de Pouteau-Colles.
Elle est associée avec un déplacement ventral du radius dans le cas d'une fracture de Goyrand-Smith.
Elle peut être intraarticulaire avec luxation de l'articulation radio-carpienne dans la fracture de Barton.
Anatomie comparée
Chez les animaux à quatre pattes, le radius est le principal os porteur de la patte antérieure. Sa structure est similaire chez la plupart des tétrapodes terrestres, mais il peut être fusionné avec l'ulna chez certains mammifères (comme les chevaux ) ou réduit. Il peut être modifié chez les animaux avec des nageoires ou avec des membres antérieurs vestigiaux[3].
Notes et références
- (en) Cet article est partiellement ou en totalité issu de l’article de Wikipédia en anglais intitulé « Radius (Bone) » (voir la liste des auteurs).
- ↑ Keith Moore et Anne Agur, Essential Clinical Anatomy Third Edition, USA, Lippincott Williams & Wilkins, , 446 p. (ISBN 978-0-7817-6274-8)
- ↑ Essex Lopresti fracture at Wheeless' Textbook of Orthopaedics online
- ↑ Romer, Alfred Sherwood et Parsons, Thomas S., The Vertebrate Body, Philadelphia, PA, Holt-Saunders International, (ISBN 0-03-910284-X), p. 199
- Cet article comprend du texte dans le domaine public issu de la 20e édition de Gray's Anatomy (1918).
Liens externes
- Ressources relatives à la santé :
- Ressource relative à la recherche :
- Notices dans des dictionnaires ou encyclopédies généralistes :
- Ressources relatives à la santé (pour corps du radius) :
- Ressources relatives à la santé (pour face antérieure du radius) :
- Ressources relatives à la santé (pour face latérale du radius) :
- Ressources relatives à la santé (pour tubérosité pronatrice) :
- Ressources relatives à la santé (pour bord interosseux du radius) :
- Ressources relatives à la santé (pour bord antérieur du radius) :
- Ressources relatives à la santé (pour bord postérieur du radius) :
- Ressources relatives à la santé (pour col du radius) :
- Ressources relatives à la santé (pour sillon des tendons des muscles extenseurs du radius) :
- Ressources relatives à la santé (pour crête suprastyloïdienne) :
- Ressources relatives à la santé (pour facette articulaire de la tête du radius) :
- Ressources relatives à la santé (pour circonférence articulaire de la tête du radius) :
- Ressources relatives à la santé (pour surface articulaire carpienne du radius) :
- « Radius (os) », sur le dictionnaire de l’Académie nationale de médecine
- « Col du radius », sur le dictionnaire de l’Académie nationale de médecine
- « Corps du radius », sur le dictionnaire de l’Académie nationale de médecine
- « Face antérieure du radius », sur le dictionnaire de l’Académie nationale de médecine
- « Bord interosseux du radius », sur le dictionnaire de l’Académie nationale de médecine
- « Face postérieure du radius », sur le dictionnaire de l’Académie nationale de médecine
- « Bord postérieur du radius », sur le dictionnaire de l’Académie nationale de médecine
- « Face latérale du radius », sur le dictionnaire de l’Académie nationale de médecine
- « Bord antérieur du radius », sur le dictionnaire de l’Académie nationale de médecine
- « Tubérosité pronatrice », sur le dictionnaire de l’Académie nationale de médecine
- « Crête suprastyloïdienne », sur le dictionnaire de l’Académie nationale de médecine
- « Sillons des tendons des muscles extenseurs du radius », sur le dictionnaire de l’Académie nationale de médecine
- « Surface articulaire carpienne du radius », sur le dictionnaire de l’Académie nationale de médecine
- Le radius [vidéo] (Anatomie 3D Lyon Université Claude Bernard Lyon 1)
- Portail de l’anatomie
- Portail de la médecine