Ostéome ostéoïde
| Différentiel | ostéoblastome |
|---|---|
| Traitement | chirurgical |
| Spécialité | Oncologie |
| ICD-O | 9191/0 |
|---|---|
| OMIM | 259550 |
| DiseasesDB | 31488 |
| eMedicine | 392850 |
| MeSH | D010017 |
Mise en garde médicale
Un ostéome ostéoïde est une néoplasie bénigne primitive du tissu osseux qui provient des ostéoblastes et des ostéoclastes.
Ayant beaucoup de points communs avec l'ostéoblastome, les ostéomes ostéoïdes ont longtemps été considérés comme une version plus petite de celui-ci. Les ostéomes ostéoïdes ont une taille inférieure à 1,5 cm.
Signes cliniques
Les symptômes les plus courants d'un ostéome ostéoïde sont :
- douleur sourde ou légère qui devient sévère la nuit affectant la qualité du sommeil.
- claudication
- atrophie musculaire
- déformation en courbure
- gonflement
- augmentation ou diminution de la croissance osseuse [1]
Initialement la douleur est bien soulagée par les analgésiques courants (aspirine, ...). Cette douleur peut rester à ce niveau pendant des années.
A un stade plus avancé la douleur devient résistante aux analgésiques et un gonflement mineur à sévère commence à apparaitre.
Physiopathologie

À l'examen histologique, l'ostéome ostéoïde présente :
- un petit (< 1,5–2 cm), nidus jaunâtre à rouge d'os tissé avec des trabécules interconnectées
- un fond et un bord de tissu conjonctif fibreux hautement vascularisé.
Des degrés variables de réaction osseuse sclérotique peuvent entourer la lésion. L'ostéoblastome bénin est pratiquement indiscernable de l'ostéome ostéoïde.
L'aspect habituel présente un stroma fibrovasculaire avec de nombreux ostéoblastes, du tissu ostéoïde, de l'os tissé bien formé et des cellules géantes. Les ostéoblastes étaient généralement petits et de forme régulière[2].
Localisation anatomique
La tumeur peut se trouver dans n'importe quel os du corps, mais elle est plus fréquente dans les os longs, tels que le fémur et le tibia.
Diagnostic

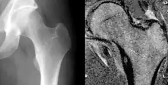
Les radiographies de l'ostéome ostéoïde montrent généralement une clarté ronde, contenant un nidus central sclérotique dense (la lésion caractéristique de ce type de tumeur) entouré d'os sclérotique. Le nidus est rarement plus grand que 1,5 cm.[réf. nécessaire]
La lésion peut dans la plupart des cas être détectée au scanner, à la scintigraphie osseuse et à l'angiographie.
L'IRM n'ajoute que peu aux résultats.
La tomodensitométrie est utile pour la localisation. Le balayage des radionucléides montre une absorption intense qui permet la localisation à l'aide d'un détecteur portatif lors d'une intervention chirurgicale et permet de confirmer que la totalité de la lésion a été retirée[3],[4].
Traitement
Traitement médical
Il n'est que symptomatique par des anti-inflammatoires non stéroïdiens.
Traitement chirurgical
Si ce traitement médical échoue ou si la localisation de la tumeur entraîne des troubles de croissance, une scoliose ou une arthrose, une ablation chirurgicale ou percutanée peut être envisagée[5].
Une thérapie post-opératoire et un renforcement peuvent être nécessaires, selon l'emplacement de la tumeur et l'état de santé de l'individu.
Bien qu'elle se soit avérée efficace, la résection chirurgicale présente de nombreuses complications potentielles, notamment une identification peropératoire difficile de la tumeur, une récidive locale due à une résection incomplète et une résection de l'os porteur qui peut nécessiter des séjours hospitaliers prolongés et compliquer la récupération[6].
Récemment, l'ablation par radiofréquence est devenue une alternative moins invasive à la résection chirurgicale. Dans cette technique, qui peut être réalisée sous sédation consciente, une sonde radiofréquence est introduite dans le nidus tumoral à travers une aiguille canulée sous guidage scanner et de la chaleur est appliquée localement pour détruire les cellules tumorales. Depuis que la procédure a été introduite pour la première fois pour le traitement des ostéomes ostéoïdes au début des années 1990, il a été démontré dans de nombreuses études qu'elle était moins invasive et coûteuse , qu'elle entraînait moins de destruction osseuse et qu'elle avait une sécurité et une efficacité équivalentes aux techniques chirurgicales avec 66 à 96% des patients déclarant être indemnes de symptômes[7],[8]. Bien que les taux de réussite initiaux avec RFA soient élevés, une récurrence des symptômes après le traitement RFA a été rapportée, certaines études démontrant un taux de récidive similaire à celui du traitement chirurgical[9].
Depuis le , un traitement par chirurgie sans incision utilisant une IRM pour guider les ondes ultrasonores à haute intensité pour détruire une tumeur osseuse bénigne de la jambe a été démontré[10].
Le traitement par ultrasons focalisés de haute intensité guidés par IRM (MR-HIFU) est une technique combinant l'ablation par ultrasons focalisés de haute intensité avec une surveillance en temps réel du changement de température pendant l'opération.
Les résultats cliniques confirment le bénéfice probable de cette technique pour l'ablation de l'ostéome ostéoïde douloureux. L'efficacité a été évaluée dans une étude de neuf patients traités par MR-HIFU, sans difficultés techniques ni événements indésirables graves. Il y avait une diminution statistiquement significative de leurs scores de douleur dans les 4 semaines suivant le traitement. Les analgésiques n'ont pas été nécessaires chez 8 des 9 patients après 4 semaines[11].
Épidémiologie
Les ostéomes ostéoïdes peuvent survenir à tout âge et sont plus fréquents chez les patients âgés de 4 à 25 ans. Les hommes sont environ trois fois plus touchés que les femmes[12].
Notes et références
- ↑ « Bone and Soft Tissue Tumors: Benign Tumors » [archive du ], Dana-Farber Cancer Institute (consulté le )
- ↑ « Osteoid Osteomas and Osteoblastomas of the Spine »
- ↑ Osteoid Osteoma Imaging
- ↑ Lateur et Baert, « Localisation and diagnosis of osteoid osteoma of the carpal area by angiography », Skeletal Radiology, vol. 2, no 2, , p. 75–9 (DOI 10.1007/BF00360985)
- ↑ « Osteoid Osteoma | BoneTumor.org », www.bonetumor.org (consulté le )
- ↑ (en) Sim, Dahlin et Beabout, « Osteoid-osteoma: diagnostic problems », J Bone Joint Surg Am, vol. 57, no 2, , p. 154–159 (ISSN 0021-9355, PMID 1112841, DOI 10.2106/00004623-197557020-00004, lire en ligne [archive du ], consulté le )
- ↑ (en) Weber, Sprengel, Omlor et Lehner, « Clinical long-term outcome, technical success, and cost analysis of radiofrequency ablation for the treatment of osteoblastomas and spinal osteoid osteomas in comparison to open surgical resection », Skeletal Radiology, vol. 44, no 7, , p. 981–993 (ISSN 0364-2348, PMID 25910709, DOI 10.1007/s00256-015-2139-z)
- ↑ (en) Rimondi, Mavrogenis, Rossi et Ciminari, « Radiofrequency ablation for non-spinal osteoid osteomas in 557 patients », European Radiology, vol. 22, no 1, , p. 181–188 (ISSN 0938-7994, PMID 21842430, DOI 10.1007/s00330-011-2240-1)
- ↑ (en) Rosenthal, Hornicek, Wolfe et Jennings, « Percutaneous Radiofrequency Coagulation of Osteoid Osteoma Compared with Operative Treatment* », J Bone Joint Surg Am, vol. 80, no 6, , p. 815–21 (ISSN 0021-9355, PMID 9655099, DOI 10.2106/00004623-199806000-00005, lire en ligne [archive du ], consulté le )
- ↑ Focused Ultrasound Foundation. "Bone tumor destroyed using incisionless surgery: First in North American child." ScienceDaily. ScienceDaily, 6 August 2014. <www.sciencedaily.com/releases/2014/08/140806142126.htm>.
- ↑ (en) Research, « FDA approves device for treatment of osteoid osteoma in the extremities », FDA, (lire en ligne)
- ↑ « Osteoid Osteoma - OrthoInfo - AAOS »
- Portail de l’anatomie
- Portail de la médecine