Pentasomie X
| Spécialité | Génétique médicale |
|---|
| CISP-2 | A90 |
|---|---|
| CIM-10 | Q97.1 |
| DiseasesDB | 32625 |
| MeSH | C535319 |
Mise en garde médicale
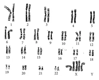
La pentasomie X ou (syndrome 49,) XXXXX ou penta-X est une atypie chromosomique rare (prévalence estimée de 1 sur 85 000 à 250 000 naissances, mais sans doute sous-évaluée et sous-diagnostiquée) caractérisée dans sa forme complète par un caryotype sexuel XXXXX, donc le caryotype en est 49,XXXXX. Il s'agit d'une forme viable d'aneusomie résultant de la non-disjonction (en), généralement avec quatre chromosomes venant de la mère qui transmet exclusivement l'anomalie et un d'origine paternelle[1]. La plupart des cas ne sont pas du tout héréditaires et ne signifient pas de probabilité majorée de pentasomie en cas de nouvelle grossesse, mais certaines mères qui ne portent pas elles-mêmes cette condition peuvent avoir un chromosome X supplémentaire notamment apparu par translocation dans certaines de leurs cellules et cela peut rendre plus probable que la disjonction chromosomique soit anormale si elles sont de nouveau enceintes. C'est également de plus en plus probable au fil de l'avancée maternelle en âge.
Les aneusomies des gonosomes, notamment complètes, sont dans l'ensemble plus compatibles avec la vie (il n'y a pas de pentasomie autosomale viable, celles des chromosomes sexuels peuvent l'être dans le cas aussi par exemple du syndrome 49,XXXYY). La pentasomie X est une forme chromosomique d'intersexuation au sens large, mais les personnes concernées ont un phénotype de sexe féminin avec des implications pathologiques variables et plutôt sérieuses, que ce soit par la condition physique ou le handicap mental. Elle est donc nettement différente du syndrome triple X, qui est très courant et asymptomatique ou presque chez beaucoup d'individus, et de la plus rare tétrasomie X, qui, en général, ressemble davantage à la trisomie qu'à la pentasomie X, mais a quelques signes plus importants. Alors que les personnes trisomiques X ont tendance à être plus grandes que la moyenne féminine et à avoir une condition asymptomatique ou quelques difficultés dans les apprentissages et la gestion des émotions, les pentasomiques sont de stature réduite et ont quasi-systématiquement un quotient intellectuel plutôt bas et parfois un handicap cognitif sévère, le QI est assez variable mais souvent aux alentours de 50. Beaucoup présentent plusieurs traits physiques particuliers, dont aucun n'est constant, mais dont les plus communs sont la clinodactylie avec auriculaires incurvés, la microcéphalie, la synostose radioulnaire (radiocubitale) (en), l'hypotonie musculaire généralement sévère, l'hypertélorisme avec large ensellure nasale, l'épicanthus, parfois l'hétérochromie, l'atteinte bilatérale de la vision intermédiaire et une dysmorphie craniofaciale proche de celle des tétrasomiques X ou même des personnes avec trisomie 21[2], souvent plus prononcée. Elles ont beaucoup de troubles au niveau de l'anatomie du squelette, et, comme dans toutes les aneuploïdies X, un taurodontisme (en) est fréquent, ainsi que des caries à répétition et divers problèmes des dents, dont certaines peuvent manquer, ou de hauts niveaux de gonadotrophines[3]. Plus de la moitié ont des cardiopathies congénitales, souvent mineures et qui s'atténuent spontanément, parfois nécessitant une chirurgie. L'épilepsie, souvent légère et bien curable, est en surrisque peu élevé. Plus problématiques sont en général les problèmes rénaux et urinaires, ainsi que les perturbations du cerveau dont la malformation de Dandy-Walker et l'infirmité motrice cérébrale dans les cas les plus graves. La puberté a tendance à être retardée et imparfaite, les filles atteintes à avoir des organes génitaux externes normaux mais à avoir un utérus atrophié et défectueux et des cycles courts ou sans règles. Beaucoup sont stériles, certaines peuvent concevoir des enfants et l'ont fait même si elles sont infertiles à un certain degré, ce qui implique qu'une transmission autosomique dominante est possible. Généralement, même si leur autonomie est très réduite et si le pronostic est aggravé par la persistance de symptômes incurables, leur santé et leur longévité peuvent être améliorées, leur équilibre physique et mental être favorisé si les personnes autour d'elles leur offrent des soins autant que des opportunités libératrices, et elles peuvent suivre un parcours scolaire et professionnel en milieu adapté, certaines peuvent même passer les premières années d'école en milieu ordinaire. Elles sont souvent décrites comme de tempérament timide mais sociable et coopératif. Quelques filles porteuses de pentasomie X peuvent être plus vulnérables au stress social, émotionnel et comportemental, aux infections, mettre plus de temps à s'en remettre, avoir des problèmes du système immunitaire et des affections articulaires comme l'hyperlaxité ou la raideur qui accentuent ainsi que l'hypotonie le retard de la psychomotricité, de la marche ou pour s'asseoir, un retard de croissance staturale et de la prise de poids postnatale (sans besoin de suppléments caloriques si la croissance reste régulière), un retard de langage. Tout cela peut être compensé par le fait que ces filles communiquent finalement bien, notamment par le non-verbal, et des soins adaptés comme la kinésithérapie et les massages combinés à une pratique sportive régulière et notamment à de la natation peuvent les aider, ainsi que l'orthophonie si l'articulation est difficile. Mais certaines ont besoin que l'on maintienne leurs chevilles quand elles acquièrent la marche, quelques-unes souffrent d'une luxation congénitale de la hanche et doivent être opérées. Beaucoup ont des dents de lait puis définitives qui sortent en retard et un émail fragile, l'hygiène dentaire doit alors être particulièrement surveillée et les parents peuvent choisir d'appliquer un vernis au fluor aux dents de l'enfant. Certaines ont une tendance à la constipation. Des mesures simples peuvent limiter les problèmes, comme une nutrition riche en fibres.
Liens externes
- Page du portail Orphanet qui donne un catalogue plus complet des signes et symptômes plus ou moins communément retrouvés.

Notes et références
- (en) Cet article est partiellement ou en totalité issu de l’article de Wikipédia en anglais intitulé « Pentasomy X » (voir la liste des auteurs).
- ↑ « Pentasomie X » [PDF], sur rarechromo.org
- ↑ « Dictionnaire médical de l'Académie de Médecine », sur www.academie-medecine.fr (consulté le )
- ↑ N. Archidiacono, M. Rocchi, M. Valente et G. Filippi, « X pentasomy: a case and review », Human Genetics, vol. 52, no 1, , p. 69–77 (ISSN 0340-6717, PMID 527976, DOI 10.1007/BF00284599, lire en ligne, consulté le )
- Portail de la médecine
- Portail du handicap