Plasmodium relictum
Plasmodium relictum
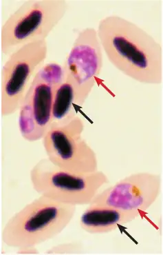
Cellules sanguines d'un 'apapane infecté par Plasmodium relictum (flèches rouges).
| Embranchement | Apicomplexa |
|---|---|
| Classe | Aconoidasida |
| Ordre | Haemosporida |
| Famille | Plasmodiidae |
| Genre | Plasmodium |
Plasmodium relictum est une espèce de protozoaires de la famille des Plasmodiidae responsable du paludisme aviaire, maladie mortelle pour de nombreuses espèces d'oiseaux. Le vecteur est le moustique Culex quinquefasciatus.
Systématique
Le nom correct complet (avec auteur) de ce taxon est Plasmodium relictum (Grassi & Feletti (d), 1891)[1].
L'espèce a été initialement classée dans le genre Haemamoeba sous le basionyme Haemamoeba relicta Grassi & Feletti, 1891[1],[2].
Plasmodium relictum a pour synonyme[1] :
- Haemamoeba relicta Grassi & Feletti, 1891
Publication originale
- (it) B. Grassi et R. Feletti, « Parassiti Malarici Degli Uccelli - Classificazione dei Parassiti Malarici - Corpi Flagellati », Bulletino mensile della Accademia gioenia di scienze naturali in Catania, Catane, Inconnu, nos 18-19, , p. 12-19 (OCLC 5517214, lire en ligne).
Liens externes
- (en) BioLib : Plasmodium relictum (Grassi & Feletti, 1891) (consulté le )
- (fr + en) EOL : Plasmodium relictum (consulté le )
- (fr + en) GBIF : Plasmodium relictum (Grassi & Feletti, 1891) (consulté le )
- (fr) INPN : Plasmodium relictum (Grassi & Feletti, 1891) (TAXREF) (consulté le )
- (en) NCBI : Plasmodium relictum (taxons inclus)
- (en) Taxonomicon : Plasmodium relictum (consulté le )
Notes et références
Articles connexes
- Portail de la microbiologie
- Portail de la parasitologie