Pleurésie purulente
| Spécialité | Pneumologie et chirurgie thoracique |
|---|
| CISP-2 | R83 |
|---|---|
| CIM-10 | J86 |
| CIM-9 | 510 |
| DiseasesDB | 4200 |
| MedlinePlus | 000123 |
| eMedicine | 298485 |
| MeSH | D016724 |
Mise en garde médicale
Une pleurésie purulente, ou empyème pleural, est une infection bactérienne aiguë de la cavité pleurale, survenant souvent à la suite d'une pneumopathie. Lorsque les deux infections sont contemporaines, on parle de pleuropneumopathie.
Généralités
Définition
Une pleurésie purulente est l'accumulation dans l'espace pleural, qui sépare le poumon de la paroi thoracique, d'un liquide infecté par une bactérie[1]. Le terme d'empyème est également utilisé[1],[2], ainsi que celui de pyothorax[3].
Lorsqu'il existe une infection du poumon concomitante, on parle de pleuropneumopathie ou pleuropneumonie[4].
Descriptions historiques

Hippocrate est considéré comme le premier à avoir décrit les infections de la plèvre[5], sans reconnaitre l'existence exacte de la plèvre[6]. On reconnait cependant des pleurésies purulentes dans un ensemble d'affections, lorsqu'il décrit la peripneumonia (pneumonie actuelle) et la pleuritis (du grec pleuron, côté) qui peuvent toutes deux se transformer en empuos (abcès broncho-pulmonaire aussi bien que pleurésie purulente)[7].
L'aboutissement purulent d'une infection pulmonaire est un modèle pour la médecine hippocratique, avec les notions de coction (temps préparatoire de « cuisson » des humeurs), de crisis (paroxysme où le malade meurt ou réchappe), et de lysis (guérison par dissolution ou évacuation)[8].
« Quant à la suite de la péripneumonie un abcès se forme, il y a fièvre, toux sèche, dyspnée ; les pieds enflent, les ongles des mains et des pieds se rétractent [ hippocratisme digital ][6]. »
Hippocrate indique que l'empuos peut s'évacuer par les bronches (il donne des recettes alimentaires pour aider l'expectoration), se rompre ou demeurer dans la « cavité » (pleurale pour un moderne) dont la seule issue est chirurgicale :
« Au bout de quelque temps, la fièvre augmente, le côté devient douloureux ; le décubitus, impossible sur le côté sain, est possible sur le côté affecté (...) vous ferez, du côté où il y a gonflement et le plus de douleur, l'incision aussi bas que possible, plutôt en arrière du gonflement qu'en avant, afin que l'évacuation du pus soit facile. Vous inciserez entre les côtes, avec un bistouri convexe, la peau d'abord ; puis prenant un bistouri pointu, vous l'entourerez d'un linge jusqu'à la pointe, et vous en laisserez libre la longueur de l'ongle du pouce ; alors vous enfoncerez l'instrument. Ayant laissé couler autant de pus que vous jugerez convenable, vous mettrez une tente[Note 1] de lin écru, que vous attacherez avec un fil. Vous évacuerez le pus une fois par jour[6] ».
À partir du dixième jour, il propose un lavage en injectant, avec une canule, du vin et de l'huile tièdes, dont on évacue l'injection du matin le soir, celle du soir le matin. Il donne des éléments de pronostic :
« Voici ce qui indique que le malade réchappera : si le pus est blanc et pur et qu'il contienne des fibres de sang, il y a beaucoup de chances de guérison. Mais si le pus coule comme du jaune d'œuf le jour même, ou qu'il coule le lendemain épais, jaunâtre, fétide, les malades succombent après l'évacuation du pus[6] ».

Aux temps modernes, le premier traité médical consacré au sujet date de 1528 par Andrea Turini (1473? -1543)[Note 2]. Le diagnostic s'affine à partir du XVIIIe siècle avec Auenbrugger sur la percussion (1761), René Laennec sur l'auscultation (1826), Wilhem Röntgen sur la radiologie (1895). Avec la bactériologie (à partir de 1880), on découvre que les pleurésies purulentes, malgré leur homogénéité apparente, peuvent être associées à de nombreux germes différents[8]. Le traitement, basé sur le drainage à ciel ouvert de la cavité pleurale, reste cependant globalement le même de l'Antiquité jusqu'au XXe siècle[9]. C'est Evarts Graham qui, en 1925, publia trois des grands principes de prise en charge à la base du traitement moderne : utilisation d'un système de drainage clos, stérilisation rapide et effondrement de la cavité abcédée afin d'éviter la chronicisation, et enfin prise en charge nutritionnelle[9],[10]. Il avait travaillé sur le sujet pendant l'épidémie de grippe de 1918, et l'application de ces principes par l'armée américaine a permis une réduction drastique de la mortalité des soldats durant l'épidémie, passant de 70 % à 3,4 %[9].
Malgré l'introduction des antibiotiques dans la deuxième moitié du XXe siècle, les pleurésies purulentes demeurent une infection potentiellement grave au XXIe siècle[11],[12].
Causes
Germes en cause

Il n'est pas toujours possible d'identifier le ou les germes responsables, principalement lorsque des antibiotiques ont déjà été administrés[13]. Les germes sont différents selon que l'infection est communautaire ou nosocomiale (environ un quart des patients[13]), mais aussi entre l'adulte et l'enfant[12].
Une série de 2011 s'est intéressée aux germes retrouvés chez l'adulte[13]. Dans le cadre des infections communautaires, les infections à streptocoque (28 %), puis à germes anaérobies (21 %) et à Staphylococcus aureus (15 %) sont les plus fréquentes. En revanche, dans les infections nosocomiales, le germe le plus fréquent est le Staphylococcus aureus (27 %), suivi des streptocoques (20 %) et des entérobactéries (20 %) ; les germes anaérobies ne causent alors que 14 % des infections.
Terrain
L'infection survient généralement après une pneumopathie bactérienne communautaire[14]. Environ la moitié des patients présentant une pneumopathie bactérienne développent un épanchement pleural parapneumonique susceptible de s'infecter secondairement[12].
Après une forte décroissance avec l'arrivée des antibiotiques[15], l'incidence des pleurésies purulentes est en augmentation depuis le milieu des années 1990, tant chez l'adulte que chez l'enfant[12], mais n'est pas liée à une plus grande fréquence des pneumopathies[12],[16]. Le changement est plutôt lié à une modification de la pathogénicité des germes ainsi que du terrain immunitaire des patients[16]. Les principaux facteurs de risque de développer une pleurésie purulente après une pneumopathie sont l'âge supérieure à 65 ans, l'alcoolisme, le diabète,et l'immunosuppression (infection par VIH, traitement immunosuppresseur après greffe d'organes).
Une pleurésie purulente peut cependant se développer dans d'autres circonstances qu'une infection pulmonaire. Après un traumatisme thoracique, un hémothorax (accumulation de sang dans la plèvre) peut se surinfecter. Par ailleurs, une infection de la plèvre peut survenir après chirurgie thoracique, en particulier après une pneumonectomie.
Physiopathologie
On distingue trois phases d'évolution d'une pleurésie purulente : exsudative, fibrino-purulente et enkystée (dite aussi « organisée »)[15],[17].
La phase exsudative est la constitution rapide d'un épanchement stérile (« exsudat »), riche en protéines[18]. L'analyse du liquide ne retrouve pas de germes, et une concentration en glucose supérieure à 60 mg/dL avec un pH supérieur à 7,2 et un taux de LDH peu élevé[9]. Le liquide apparaît en raison d'une plus grande perméabilité des vaisseaux capillaires de la plèvre. Les cellules mésothéliales de la plèvre jouent un rôle important dans la cascade inflammatoire mise en route, en agissant comme des phagocytes et en déclenchant une réponse inflammatoire une fois activées par les bactéries. La réponse inflammatoire, par une sécrétion de cytokines et d'enzymes protéases, recrute les globules blancs (en particulier les polynucléaires neutrophiles et les phagocytes) vers la plèvre[18],[19]. Un traitement antibiotique adapté, débuté rapidement, permet généralement la guérison à ce stade. Cependant, en cas d'infection par un germe agressif, ou de terrain immunitaire affaibli, la pleurésie va continuer d'évoluer[19].
Lors de la phase fibrino-purulente, le liquide est abondant, devenant épais et trouble[9]. L'analyse du liquide retrouve une grande quantité de polynucléaires neutrophiles, et le germe en cause est souvent retrouvé. Le contenu en glucose s'effondre, tandis que le pH devient plus acide et que le taux de LDH augmente brusquement[9]. La fibrine, provenant des processus inflammatoires, se dépose rapidement dans l'espace pleural. Ces dépôts créent des brides qui cloisonnent progressivement l'épanchement en loges liquidiennes indépendantes.
Enfin, durant la phase enkystée, des fibroblastes migrent de l'exsudat vers les deux feuillets de la plèvre. Le liquide est toujours trouble, et peut prendre un aspect gélatineux[9]. Les dépôts de fibroblastes et leur prolifération entraînent l'apparition d'une gangue épaisse et rigide à la surface du poumon, qui peut entraîner à terme un syndrome restrictif[19]. En l'absence de traitement, l'empyème peut évoluer vers la fistulisation en direction d'une bronche, exceptionnellement vers la peau.
Manifestations cliniques
Une pleurésie purulente se présente comme un épanchement pleural accompagné de fièvre. Devant ce tableau, il s'agit d'une des trois urgences à éliminer, avec l'hémothorax et l'embolie pulmonaire[20].
Le diagnostic est le plus souvent posé lors du bilan d'une douleur thoracique d'apparition récente, qui peut être accompagnée de toux et d'essoufflement[14]. Une infection pulmonaire a parfois été déjà diagnostiquée dans les jours ou les semaines précédentes ; lorsqu'elle ne l'a pas été, l'interrogatoire recherche un épisode de fièvre récente accompagnée de signes respiratoires[14]. Le début de l'évolution est en général insidieux, et peut entraîner une altération progressive de l'état général chez des patients au terrain déjà altéré.
L'examen clinique retrouve des signes d'épanchement pleural : abolition du murmure vésiculaire et de la transmission des vibrations vocales à l'auscultation, et matité à la percussion en regard de l'épanchement[14]. Les signes cliniques peuvent cependant être assez frustes, rendant le diagnostic difficile, en particulier en cas d'épanchement cloisonné ou de pneumopathie associée[14].
Examens radiologiques

La radiographie thoracique de face et de profil est faite avant la ponction[14],[20]. Elle peut retrouver soit un épanchement pleural libre, soit un épanchement enkysté.
L'échographie pleurale simple localise une collection enkystée, un cloisonnement éventuel et un épaississement pleural. Elle guide la ponction pleurale.
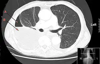
En général, le scanner thoracique se fait en seconde intention, à la recherche d'une cause et de lésions associées (en dehors de l'infection)[20]. Il permet également d'explorer la morphologie de l'épanchement, et notamment de rechercher la présence de cloisonnements ou d'enkystement avant drainage pleural ou chirurgie. Cela permet de guider le geste et d'éviter une plaie pulmonaire lors de sa réalisation.
Examens complémentaires biologiques
Ils se font essentiellement sur le liquide de la ponction pleurale. Le liquide peut être d'aspect louche ou purulent. Verdâtre, parfois malodorant, il évoque des germes anaérobies.
Réponse systémique
Les analyses biochimiques montrent qu'il s'agit d'un exsudat. Un pH pleural inférieur à 7,20 est un facteur d'évolution d'une pleurésie vers la purulence.
L'analyse cytologique montre une prédominance en polynucléaires altérés.
Documentation bactériologique
Systématique, elle est réalisée en urgence afin d'adapter au plus vite l'antibiothérapie (déjà effectuée de façon probabiliste). Elle se fait avec coloration de Gram et mise en culture en milieux aérobie et anaérobie.
Dans des cas particuliers, selon l'orientation diagnostique, une biopsie pleurale peut être utile. Elle peut aussi se faire au cours d'une thoracoscopie, qui oriente visuellement la biopsie, fait le bilan des lésions, tout en permettant des gestes thérapeutiques, notamment dans le cas de pleurésie purulente cloisonnée[20].
Traitement
La prise en charge des pleurésies purulentes a fait l'objet de la publication de recommandations de la « British Thoracic Society » datant de 2010[21].
Le traitement des pleurésies purulentes repose autant sur une antibiothérapie adaptée que sur l'évacuation chirurgicale de l'épanchement[11]. La prise en charge se fait en milieu spécialisé.
Chirurgie
L'épanchement peut être évacué de plusieurs manières. Le but est d'obtenir l'évacuation la plus complète possible de l'épanchement, ainsi que d'assurer une bonne réexpansion pulmonaire[9].
Une simple ponction pleurale évacuatrice peut parfois être réalisée, mais un drainage pleural est souvent nécessaire. Une fibrinolyse peut compléter le drainage. Enfin, en présence d'un épanchement cloisonné, un débridement pleural peut être réalisé par thoracoscopie.
Il n'existe pas de consensus sur les indications respectives du drainage avec fibrinolyse et de la chirurgie[22],[23].
Antibiothérapie
Une suspicion d'infection pleurale est une urgence infectieuse nécessitant une antibiothérapie à large spectre, associant deux antibiotiques, selon le contexte clinique, puis à adapter selon l'antibiogramme[11].
Pronostic
Le taux de mortalité varie en fonction de l'état général sous-jacent[12].
Notes et références
Notes
Références
- 1 2 A. Ferre, M. Dres et R Azarian, « Pleurésies purulentes », EMC Pneumologie, Elsevier Masson, (lire en ligne).
- ↑ H. Probst, M. Dusmet, M. Matter, J.-M. Corpataux, H.-B. Ris, F. Mosimann, « L'empyème pleural », Revue Médicale Suisse, (lire en ligne).
- ↑ Éditions Larousse, « Pyothorax ou pleurésie purulente », sur Encyclopédie Larousse en ligne (consulté le )
- ↑ « Pleuropneumonie », sur Trésor de la langue française (consulté le )
- ↑ GianFranco Tassi et GianPietro Marchetti, Textbook of Pleural Diseases Second Edition, CRC Press, , 672 p. (ISBN 978-0-340-94017-4, DOI 10.1201/b13502-2, lire en ligne), p. 1–9
- 1 2 3 4 Hippocrate (trad. du grec ancien, préf. Jacques Jouanna), La consultation, Paris, Hermann, , 278 p. (ISBN 2-7056-5996-X), p. 216 et 219-221.Textes choisis et présentés par Armelle Debru. Les citations sont issues du traité « Des Maladies », Livre II, (47).
- ↑ Mirko D. Grmek, Les maladies à l'aube de la civilisation occidentale, Payot, (ISBN 2-228-55030-2), p. 197
- 1 2 (en) J. Duffin, Pneumonia, Cambridge University Press, (ISBN 0-521-33286-9), p. 940-941dans The Cambridge World History of Human Disease, K.F. Kiple (Ed.)
- 1 2 3 4 5 6 7 8 (en) Daniel Raymond, « Surgical Intervention for Thoracic Infections », Surg Clin N Am, vol. 94, , p. 1283–1303 (DOI 10.1016/j.suc.2014.08.004)
- ↑ (en) Richard M. Peters, « Empyema thoracis: Historical perspective », The Annals of Thoracic Surgery, vol. 48, , p. 306–308 (DOI 10.1016/0003-4975(89)90100-8, lire en ligne)
- 1 2 3 (en) F. J. H. Brims, S. M. Lansley, G. W. Waterer et Y. C. G. Lee, « Empyema thoracis: new insights into an old disease », European Respiratory Review, vol. 19, , p. 220–228 (ISSN 0905-9180 et 1600-0617, DOI 10.1183/09059180.00005610, lire en ligne, consulté le )
- 1 2 3 4 5 6 (en) Thiago Lisboa, Grant W. Waterer et Y.c. Gary Lee, « Pleural infection: Changing bacteriology and its implications », Respirology, vol. 16, , p. 598–603 (ISSN 1440-1843, DOI 10.1111/j.1440-1843.2011.01964.x, lire en ligne, consulté le )
- 1 2 3 Christian N. Meyer, Signe Rosenlund, Jannie Nielsen et Alice Friis-Møller, « Bacteriological aetiology and antimicrobial treatment of pleural empyema », Scandinavian Journal of Infectious Diseases, vol. 43, , p. 165–169 (ISSN 0036-5548, DOI 10.3109/00365548.2010.536162, lire en ligne, consulté le )
- 1 2 3 4 5 6 « Pleurésies infectieuses », dans Collège des universitaires de Maladies Infectieuses et Tropicales, ePilly trop, Paris, Alinéa Plus, (ISBN 978-2-916641-64-5, lire en ligne)
- 1 2 J.F. Muir, « Pleurésies purulentes », La Revue du Praticien, , p. 1315-1319
- 1 2 (en) C. S. D. Roxburgh, G. G. Youngson, J. A. Townend et S. W. Turner, « Trends in pneumonia and empyema in Scottish children in the past 25 years », Archives of Disease in Childhood, vol. 93, , p. 316–318 (ISSN 1468-2044, DOI 10.1136/adc.2007.126540, lire en ligne, consulté le )
- ↑ « Empyème pleural », sur Centre hospitalier universitaire vaudois (consulté le )
- 1 2 (en) Neil A. Christie, « Management of Pleural Space: Effusions and Empyema », Surgical Clinics of North America, vol. 90, , p. 919–934 (DOI 10.1016/j.suc.2010.07.003, lire en ligne, consulté le )
- 1 2 3 (en) Coenraad F.N. Koegelenberg, Andreas H. Diaconi et Chris T. Bolligeri, « Parapneumonic Pleural Effusion and Empyema », Respiration, vol. 75, , p. 241–250 (DOI 10.1159/000117172, lire en ligne, consulté le )
- 1 2 3 4 S. Laroumagne, « Epanchement pleural, une urgence : la pleurésie purulente », La Revue du Praticien - médecine générale, vol. 27, no 894, , p. 57-60
- ↑ Davies HE, Davies RJO, Davies CWH, Management of pleural infection in adults: British Thoracic Society Pleural Disease Guideline 2010, Thorax, 2010;65:Suppl 2:ii41-ii53
- ↑ (en) Tze Yang Chin, Mark D Redden, Charlie C-T Hsu et Mieke L van Driel, Cochrane Database of Systematic Reviews, John Wiley & Sons, Ltd, (ISSN 1465-1858, DOI 10.1002/14651858.cd010651, lire en ligne)
- ↑ (en) Wencheng Nie, Yanru Liu, Jian Ye et Liuhong Shi, « Efficacy of intrapleural instillation of fibrinolytics for treating pleural empyema and parapneumonic effusion: a meta-analysis of randomized control trials », The Clinical Respiratory Journal, vol. 8, , p. 281–291 (ISSN 1752-699X, DOI 10.1111/crj.12068, lire en ligne, consulté le )
Annexes
Bibliographie
Recommandations :
- chez l'adulte : (en) Helen E. Davies, Robert J. O. Davies et Christopher W. H. Davies, « Management of pleural infection in adults: British Thoracic Society pleural disease guideline 2010 », Thorax, vol. 65, no Suppl 2, , ii41–ii53 (ISSN 1468-3296, PMID 20696693, DOI 10.1136/thx.2010.137000, lire en ligne, consulté le ).
- chez l'enfant :
- (en) IM Balfour-Lynn, E Abrahamson, G Cohen, J Hartley, S King, D Parikh, D Spencer, AH Thomson et D Urquhart, « BTS guidelines for the management of pleural infection in children », Thorax, vol. 60, no suppl 1, , i1–i21 (ISSN 1468-3296, PMID 15681514, PMCID 1766040, DOI 10.1136/thx.2004.030676, lire en ligne, consulté le ).
- (en) Roxanne E. Strachan, Adam Jaffé et Thoracic Society of Australia and New Zealand, « Recommendations for managing paediatric empyema thoracis », The Medical Journal of Australia, vol. 195, no 2, , p. 95 (ISSN 1326-5377, PMID 21770882, lire en ligne, consulté le ).
Liens externes
- A. Taytard, « Pleurésie purulente », sur Respir.com, (consulté le ).
Voir aussi
- Portail de la médecine
- Portail des maladies infectieuses