Pneumocéphale

Pneumocéphale
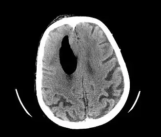
Description de cette image, également commentée ci-après
Pneumocéphale secondaire à une lésion neurochirurgicale
Classification et ressources externes
CIM-10 G93.8
CIM-9 348.89
MeSH D011007

Wikipédia ne donne pas de conseils médicaux Mise en garde médicale

Le pneumocéphale, appelé aussi pneumocéphalie ou pneumencéphalie, correspond à la présence de gaz dans ou autour de l'encéphale à la suite d'une brèche ostéo-méningée.

Terminologie

Que ce soit en français ou en anglais, la même affection est décrite sous des termes variés[1] :

En français

  • pneumatocèle intracrânien post-traumatique ;
  • pneumatocèle intracrânien traumatique ;
  • pneumatocèle intracrânienne ;
  • pneumocéphale de l'espace épidural ;
  • pneumocéphale épidural ;
  • pneumocéphale péridural ;
  • pneumocéphale post-traumatique ;
  • pneumocéphale traumatique ;
  • pneumocéphalie ;
  • pneumocéphalie de l'espace épidural ;
  • pneumocéphalie épidurale ;
  • pneumocéphalie péridurale ;
  • pneumocéphalie post-traumatique ;
  • pneumocéphalie traumatique ;
  • pneumo-encéphale.

En anglais

  • Airocele, cranial ;
  • airoceles, cranial ;
  • cranial airocele ;
  • cranial airoceles ;
  • cranial pneumocyst ;
  • cranial pneumocysts ;
  • epidural pneumocephalus ;
  • gas, intracranial ;
  • intracranial gas ;
  • pneumocephalus, epidural ;
  • pneumocephalus, pressure ;
  • pneumocephalus, tension ;
  • pneumocephalus, traumatic ;
  • pneumocyst, cranial ;
  • pneumocysts, cranial ;
  • pressure pneumocephalus ;
  • tension pneumocephalus ;
  • traumatic pneumocephalus

Causes

Les causes de pneumocéphale sont celles des brèches ostéo-méningées[2] :

Traumatisme

Lésion du crâne ou de la face

Dans 74 % des cas le pneumocéphale est secondaire à un traumatisme, il serait présent dans 0,5 à 1 % de ces lésions accidentelles du crâne ou de la face[3],[4].

Cause iatrogène

Chirurgie

Deux tiers des craniotomies seraient suivies de pneumocéphale[2]. Un acte de chirurgie endoscopique dans les sinus peut se compliquer exceptionnellement de pneumencéphalie[2]. La mise en place d'un shunt ventriculo-péritonéal peut produire une pression négative ouvrant la brèche à un pneumatocèle intracrânien sous tension[2].

Médecine

Un acte médical intrusif (ponction, injection) à proximité du système nerveux central peut involontairement provoquer un pneumocéphale :

Barotraumatisme

Le pneumocéphale est un accident rare mais grave de plongée sous-marine[6].

Infection au voisinage

Une sinusite sphénoïdale[7] ou une tuberculose nasale[8] ont déjà occasionné des pneumocéphales.

Tumeur érosive

Qu'elle soit bénigne[9] ou maligne[10],[11], toute lésion tumorale érosive d'un organe creux se développant au voisinage du système nerveux central peut être à l'origine d'un pneumocéphale.

Signes et symptômes

Le pneumocéphale est habituellement lié à des maux de tête (38 % des cas), des nausées et vomissements, des crises de convulsion, des vertiges, des déficits neurologiques (léthargie, confusion, hémiparésie, paralysie du nerf abducens)[2].

Complications

Les pneumocéphales en tension ont un effet de masse, provocant hypertension intracrânienne et risquant la protrusion, l'engagement cérébral[2]. Des embolies gazeuses[12] et un arrêt cardiaque[13] compliquent très occasionnellement un pneumocéphale. Les méningites ascendantes surviennent dans environ 30 % des brèches non colmatées de la base du crâne[14],[15], avec un risque cumulé sur dix ans de 85 %[15]. Parfois un pneumocéphale iatrogène chirurgical peut provoquer un déficit neurologique focal[2].

Examens complémentaires

Traitement

Notes et références

  1. Liste des termes MeSH sur le site du CISMeF, consultée le 7 juin 2013
  2. 1 2 3 4 5 6 7 (en) Schirmer CM, Heilman CB, Bhardwaj A. « Pneumocephalus: case illustrations and review » Neurocrit Care 2010;13(1):152-8. PMID 20405340 DOI 10.1007/s12028-010-9363-0
  3. (en) Sherman SC, Bokhari F. « Massive pneumocephalus after minimal head trauma » J Emergency Medicine 2003;25:319–20. PMID 14585462
  4. (en) Ahern T, Henderson SO. « Images in emergency medicine: traumatic pneumocephalus » West J Emerg Med. 2008;9(2):123. PMID 19561721
  5. (en) Velickovic IA, Pavlik R. « Pneumocephalus complicated by postdural puncture headache after unintentional dural puncture » Anesth Analg. 2007 Mar;104(3):747-8. PMID 17312247
  6. (en) Budal OH, Risberg J, Troland K, Moen G, Nordahl SH, Vaagboe G, Grønning M. « Pneumocephalus, a rare complication of diving » Undersea Hyperb Med. 2011 Jan-Feb;38(1):73-9. PMID 21384765
  7. (en) Ohe Y, Maruyama H, Deguchi I, Fukuoka T, Kato Y, Nagoya H, Dembo T, Tanahashi N. « An adult case of pneumocephalus and pneumococcal meningitis associated with the sphenoid sinusitis » Intern Med. 2012;51(9):1129-31. PMID 22576402 DOI 10.2169/internalmedicine.51.6861
  8. (en) Baig WW, Nagaraja MV, Varma M. « Spontaneous cerebrospinal fluid rhinorrhea with pneumocephalus: an unusual manifestation of nasal tuberculosis » Korean J Intern Med. 2012 Sep;27(3):350-2. PMID 23019402
  9. (en) Johnson D, Tan L. « Intraparenchymal tension pneumatocele complicating frontal sinus osteoma: case report » Neurosurgery 2002 Apr;50(4):878-9; discussion 880. PMID 11904043
  10. (en) Willheim K, Jurjevic A, Tomic Z. « Pneumocephalus as a complication of metastases and eroding infection in the sacral region » J Neurol Neurosurg Psychiatry 1998 Jan;64(1):136-7. PMID 9436747
  11. (en) Shimizu T, Tokuyama Y, Shimomura K, Hirayama T, Arai T, Enomoto T, Miura K, Otsubo T, Hasegawa Y. « Pneumocephalus as a complication of esophageal carcinoma » Int J Emerg Med. 2010;3(4):503-4. PMID 21373344 DOI 10.1007/s12245-010-0215-7
  12. (en) Cipriani NA, Hong AC, Rosenblum J, Pytel P. « Air embolism with pneumocephalus » Arch Neurol. 2009;66:1172–3 PMID 19752312 DOI 10.1001/archneurol.2009.171
  13. (en) Thiagarajah S, Frost EA, Singh T, Shulman K. « Cardiac arrest associated with tension pneumocephalus » Anesthesiology 1982;56:73–5 PMID 7053678
  14. (en) Eljamel MS, Foy PM. « Acute traumatic CSF fistulae: the risk of intracranial infection » Br J Neurosurg. 1990;4(5):381-5. PMID 2261099
  15. 1 2 (en) Bernal-Sprekelsen M, Bleda-Vázquez C, Carrau RL. « Ascending meningitis secondary to traumatic cerebrospinal fluid leaks » Am J Rhinol. 2000 Jul-Aug;14(4):257-9. PMID 10979500

Voir aussi


Articles connexes

Bibliographie

Liens externes

  • cas exceptionnel de « flatulencéphalie » : cas d'une méningite stercorale avec pneumencéphalie à la suite d'une fistule colodurale dans le cadre d'un cancer colorectal. Guarneri C, Katranji H, Di TommasoL, Czorny A, CHU Besançon, 2012.
  • icône décorative Portail de la médecine