Polymicrogyrie
| Spécialité | Neurologie |
|---|
| CIM-9 | 742.2 |
|---|---|
| DiseasesDB | 33975 |
| MeSH | D054220 |
| GeneReviews | Polymicrogyria Overview |
Mise en garde médicale
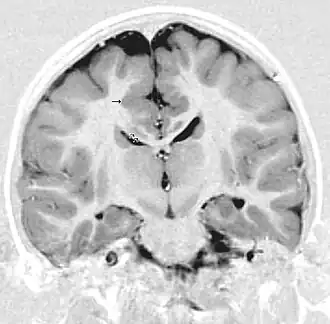
La polymicrogyrie est principalement une anomalie de l'organisation corticale des neurones probablement par un trouble de la migration des neurones à l'origine des dernières couches cellulaires du cortex cérébral : le cortex cérébral est plus épais avec de multiples circonvolutions.
La polymicrogyrie peut être localisée à une zone unique d'un lobe cérébral ou au contraire généralisée à l'ensemble du cortex. Les manifestations cliniques de cette maladie dépendent surtout de l'étendue de cette anomalie: ce sont des troubles neurologiques stables parfois nommés encéphalopathie statique. Ces manifestations sont parfois minimes ou très importantes avec des manifestations visuelles, auditives, motrices ou cognitives. Les formes plus graves comprennent retard mental profond et épilepsie réfractaire au traitement.
Le diagnostic repose uniquement sur l'imagerie à résonance magnétique. La polymicrogyrie peut être isolée ou associée à d'autres anomalies : agénésie du corps calleux, schizencéphalie. Les diagnostics différentiels principaux sont la pachygyrie et la lissencéphalie.
La prévalence de cette maladie est inconnue mais certainement rare.
Causes de la polymicrogyrie
Infectieuses
Toute infection in utero peut être responsable de polymicrogyrie : toxoplasmose, cytomégalovirus, varicelle, syphilis.
On en rapprochera le syndrome transfuseur-transfusé.
Héréditaires
Notes et références
Sources
- (en) Bernard Chang, Christopher A Walsh, Kira Apse, Adria Bodell, Polymicrogyria Overview in GeneTests: Medical Genetics Information Resource (database online). Copyright, University of Washington, Seattle. 1993-2006
- Portail du handicap
- Portail de la médecine