Psoriasis
| Traitement | Photothérapie UV (en) |
|---|---|
| Médicament | Méthotrexate, anti-inflammatoire non stéroïdien, tazarotène, fumarate d'éthyle (d), désoximétasone, aprémilast, tacalcitol, calcipotriol et désonide |
| Spécialité | Dermatologie |
| CISP-2 | S91 |
|---|---|
| CIM-10 | L40 |
| CIM-9 | 696 |
| OMIM | 177900 |
| DiseasesDB | 10895 |
| MedlinePlus | 000434 |
| eMedicine |
1943419 derm/365, derm/361, derm/363, derm/366, derm/918, radio/578, pmr/120 |
| MeSH | D011565 |
Mise en garde médicale
Le psoriasis (du grec ancien : ψωρίασις, « éruption galeuse ») est une maladie inflammatoire systémique et chronique à médiation immunitaire, affectant principalement la peau mais aussi d'autres organes (articulations, système cardiovasculaire, muqueuses, etc.). Des inflammations symétriques concernent le derme et l’épiderme, avec renouvellement excessif des cellules de la peau[1].
Les origines multifactorielles de cette affection expliquent un aspect clinique polymorphe et une grande variété de localisation. D'étiologie incertaine, probablement multigénique, le psoriasis est non contagieux et ne se guérit pas, mais des traitements freinent ou résorbent l'inflammation associée. 3 à 5% de la population européenne est touchée[2].
Symptômes
Le psoriasis est une maladie inflammatoire chronique de la peau, caractérisée par des lésions cutanées variées. Les symptômes les plus courants incluent :
- plaques érythémato-squameuses : lésions rouges bien délimitées, recouvertes de squames blanchâtres, souvent localisées sur les coudes, les genoux, le cuir chevelu et le bas du dos. Lorsque les squames se détachent, elles laissent l'épiderme à vif, parfois saignant[3] ;
- prurit : démangeaisons présentes chez environ 70 % des patients, pouvant être intenses et altérer la qualité de vie[3] ;
- Phénomène de Koebner : apparition de lésions psoriasiques sur des zones de peau ayant subi un traumatisme ou une irritation, comme des cicatrices, des brûlures ou des frottements répétés[3] ;
- atteinte des ongles : déformations ponctuées (aspect de « dé à coudre »), épaississement, décollement de l'ongle (onycholyse) et hyperkératose sous-unguéale[3] ;
- atteinte du cuir chevelu : plaques bien délimitées, recouvertes de squames, pouvant s'étendre sur l'ensemble du cuir chevelu et former un "casque psoriasique". Les cheveux sont englués dans les plaques et peuvent parfois tomber ou se casser avec les squames de manière transitoire, surtout en cas de grattage[3] ;
- atteinte des plis (psoriasis inversé) : plaques rouges, lisses et peu ou pas squameuses, localisées dans les plis cutanés tels que les aisselles, l'aine, le pli inter-fessier et sous les seins. Cette forme est souvent confondue avec une mycose[3] ;
- psoriasis en gouttes : petites lésions en forme de gouttes, disséminées sur le tronc et les membres, souvent déclenchées par une infection des voies respiratoires supérieures[3] ;
- psoriasis pustuleux : forme rare caractérisée par des pustules stériles sur des plaques rouges, localisées principalement sur les paumes des mains et les plantes des pieds (pustulose palmo-plantaire) ou généralisées à l'ensemble du corps. Cette forme peut être grave et nécessite une prise en charge médicale urgente[3] ;
- rhumatisme psoriasique : atteinte inflammatoire des articulations, présente chez environ 20 % des patients psoriasiques, pouvant entraîner des douleurs, des raideurs et des déformations articulaires[3].
Les symptômes du psoriasis varient en fonction des individus et des types de psoriasis. Une consultation médicale est recommandée pour un diagnostic précis et une prise en charge adaptée. Le psoriasis présente une grande diversité de phénotypes car il résulte d'une combinaison multifactorielle complexe et variée entre des mécanismes immunologiques, un profil polygénique et des anomalies cellulaires de la peau[4].
Cette dermatose est une affection chronique, avec des poussées entrecoupées de périodes de rémissions de durées variables (parfois à vie). L'intensité des poussées et des rémissions varie selon de nombreux facteurs (exposition solaire, stress, peau agressée, etc.). Les zones blanchies ne laissent pas de cicatrices ; les lésions peuvent y réapparaître ou non (même sans traitements médicamenteux) : une fois arrivé à un certain niveau d'évolution, très relatif suivant les individus, le psoriasis se stabilise et peut perdurer des années ou toute la vie.
Par phénomène de Koebner, tous les types de psoriasis sont susceptibles de s’étendre aux zones ayant subi une agression physique ou chimique (cicatrices, frottements, brûlures...), le seuil de tolérance étant devenu assez bas.
Sept psoriasis sur dix font état d'un prurit (démangeaisons)[5]. Mais il est difficile de savoir si ce n'est pas l'effet d'une affection secondaire due à l'affaiblissement des barrières naturelles de la peau (allergie, etc.) ou encore une cause psychologique. Ces démangeaisons entretiennent l'inflammation par effet Koebner.
Les différents types

Psoriasis en plaque
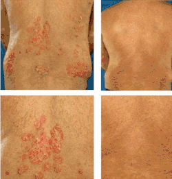
Appelé également psoriasis vulgaris, le psoriasis en plaque est la forme la plus courante du psoriasis (plus de 90 % des cas[6]) qui a donné son nom à la maladie : "grandes squames". Dans sa forme classique, la plaque élémentaire se présente sous forme de lésions rouges (érythèmes), irritées, squameuses et infiltrées. Les plaques ont une distribution grossièrement symétrique. Bien qu'elles puissent concerner n'importe quelle zone, on les retrouve préférentiellement dans la région des coudes, des genoux, du cuir chevelu, des ongles, du conduit auditif, du bas du dos ou de la région péri-ombilicale[7]. Lorsque les squames se détachent, elles laissent l'épiderme à vif, parfois saignant.
- Plaques de psoriasis.
Un bras couvert de plaques de psoriasis.
Psoriasis en plaque sur la paume des mains.
Psoriasis en gouttes

Le psoriasis en gouttes (ou psoriasis guttata), comme son nom l'indique, se caractérise par un éparpillement de petites gouttes de psoriasis sur tout le corps. Aucune plaque n'est observée mais des gouttes, qui ont l'avantage, de par leur taille réduite, de "blanchir" plus vite et donc de rester « irritantes » à vif moins longtemps. Elles sont trouvées sur toutes les zones de frottement : bas ventre, bas du dos (taille des pantalons), avant-bras, tour de poitrine (soutien-gorge) mais aussi cheveux et pavillon externe de l'oreille.
Psoriasis pustuleux localisé

Cette dermatose beaucoup moins fréquente concerne environ 10 % des psoriasis. Elle fut longtemps considérée comme distinct du psoriasis en raison de ses manifestations cliniques différentes et de l'impossibilité à trouver un dénominateur génétique commun, notamment le PSOR1 auquel il est étranger. Toutefois bien qu'elle se présente souvent seule, elle est sporadiquement associée au psoriasis en plaques. Les similitudes histologiques (exocytose de polynucléaires, pustule spongiforme de Kogoj[8]-Lapierre) finissent de convaincre les dermatologues de la classer dans les psoriasis particuliers. Cliniquement, ce psoriasis se caractérise par l'apparition de pustules plates, blanches à jaunâtres, amicrobiennes, enchâssées dans l'épiderme et qui ont tendance à s'étaler, donnant l'impression de coalescence (regroupement). Lors de poussées, ces plaques brunissent et la peau s'assèche puis s'effrite ou se chancre, laissant le derme à nu de façon douloureuse. Il s'associe aussi à des paresthésies (sensation de picotements et brûlures). De répartition symétrique, on le retrouve le plus souvent aux extrémités des membres où il constitue le Psoriasis Pustuleux Palmo-Plantaire (PPPP)[9]. Toutefois d'autres zones du corps peuvent être concernées notamment lors de prises médicamenteuses. Le PPPP concerne plus souvent les femmes que les hommes et démarre préférentiellement entre 50 et 60 ans[9]. Il affecte généralement les paumes des mains, l’éminence thénar et la voûte plantaire, plus rarement l’antérieur des doigts et des orteils (acropustulose). En phase aiguë on parle de bactérides pustuleuses d'Andrews durant laquelle l'ensemble des pieds et des mains est touché, faces postérieures comprises. Cette affection est souvent liée à une sensibilisation due à un foyer d'infection à distance. Elle disparaît avec celui-ci au bout de quelques semaines.
Psoriasis pustuleux généralisé (de von Zumbusch (en))
Le psoriasis vulgaire peut dans de rares cas se généraliser et engager le pronostic vital.
Psoriasis inversé, psoriasis intertrigineux ou psoriasis des plis cutanés, et psoriasis génital
Plaque érythémateuse rouge vif, bien limitée, brillante, lisse et peu ou pas squameuse, généralement avec prurit.
Atteinte des zones de flexions (aisselles, fosses antécubitales, fosses poplitées et plis inguinaux)[10]. L'atteinte des grands plis (sillon inter-fessier et plis inguinaux) peuvent déborder sur la région génitale, avec un psoriasis génital chronique, ou n'apparaissant qu'à un moment donné, durant l'évolution du psoriasis[11],[12]. Les plis sous mammaire et moins souvent des petits plis (ombilic) peuvent aussi être touchés. On observe pas ou peu de desquamation des plis de flexion de la peau[13], mais des fissures sont possibles avec prurit, douleurs et brûlures[11] ; Le psoriasis inversé « touche environ 63 % des patients atteints de psoriasis au moins une fois dans leur vie »[14]) et serait chronique chez 3 à 7% des patients atteints de psoriasis (son incidence réelle dans le monde est inconnue[15], avec avant 2009, une prévalence estimée chez les porteurs de psoriasis comprise entre 29 % à 46 % selon Meeuwis et al. (2015)[16]. C'est l'une des dermatoses les plus fréquentes de l'interfessier et de la région génitale chez l'adulte[17]. Cette maladie induit souvent une détresse physique, morale et émotionnelle, significative à profonde, avec stigmatisation intériorisée et dysfonctionnement sexuel[18], impactant négativement la qualité de vie et la santé sexuelle et psychique du patient[19],[20],[21] ; « comparé au psoriasis commun, le psoriasis inversé présente des caractéristiques similaires et uniques en termes de zones touchées, de symptômes cliniques et de réponses au traitement », quand bien même il n’affecterait qu’une petite partie de la surface corporelle[22]. ; il répond bien à la thérapie UVB à bande étroite[10]. Les premières études (basées sur le séquençage génétique de l'exome entier laissent penser que la maladie pourrait être, non pas une variante, mais une entité médicale différente du psoriasis en plaque[20], mais des liens avec le microbiote sont aussi évoqués, dans le domaine de la thérapie notamment[23] (parmi d'autres approches thérapeutiques explorées)[24].
Le traitement est rendu difficile par la peau souvent fine et parfois occluse dans les plis et par la vulnérabilité des muqueuses génitales[25] (« plus mince et considérablement plus sensible aux effets secondaires de certaines thérapies », notamment au niveau de l'épithélium vulvaire[26] ; les corticostéroïdes topiques sont couramment utilisés en première intention pour le psoriasis génital et bien tolérés. Des agents non stéroïdiens (inhibiteurs topiques de la calcineurine ou les analogues de la vitamine D) sont aussi utilisés (efficaces, mais souvent irritants)[14]. Un agent systémique (ixekizumab a « réduit les symptômes du psoriasis génital dans un vaste essai randomisé contrôlé par placebo »[14]. D'autres médicaments systémiques et topiques améliorent les lésions mais avec (en 2018) encore peu de preuves claires[14]. Dans plusieurs cas, la Dapsone (100 mg/jour par voie orale) a été une alternative efficace quand les agents topiques et d'autres agents systémiques n'étaient pas efficaces[17],[14]. Plus récemment, le psoriasis génital et inverse ont aussi été traités par des thérapies systémiques, dont par inhibiteurs de l'Interleukine 17 (IL-17) et un inhibiteur (Aprémilast) de la phosphodiestérase-4 (PDE-4)[25].
Le médecin doit tenir compte du fait que dans les zones occlusive des plis, et dans la région génitale et en particulier sur la muqueuse vulvaire et le scrotum, l'absorption percutanée des médicaments (stéroïdes notamment) est plus importante et plus rapide[27],[28] avec alors un risque accru d'effets secondaires indésirables. Le traitement de court terme est donc recommandé[29] (pas plus de quatre semaines), avec possiblement, le choix de stéroïdes de faible puissance, éventuellement en conjonction avec d’autres thérapies topiques pour en améliorer l’efficacité[30],[31],[32].
Psoriasis érythrodermique
- C'est une atteinte de la quasi-totalité du système tégumentaire, qui est rouge, parfois humide, œdémateux, couvert de squames fines. Il existe des signes généraux (fièvre, anorexie), parfois des adénopathies. Les risques sont : surinfections, troubles hydroélectrolytiques, déshydratation. Dans la majorité des cas l'hospitalisation s'impose.
Psoriasis de l'ongle


Le psoriasis de l'ongle représente la moitié des cas de psoriasis[6]. Seuls 1 à 5 % sont uniquement unguéaux. Dans ce cas ils peuvent être confondus avec une mycose (diagnostic plus difficile). On observe deux types de symptômes selon la localisation : si la matrice est touchée alors l'ongle se déforme en ondulations ou en piquetages dites en dés à coudre ; si le lit de l'ongle est affecté, alors celui-ci change de couleur (jaune, orange), s'épaissit (hyperkératose) ou se décolle (onycholyse).
Psoriasis Blaschko-linéaire
La distribution du psoriasis Blaschko-linéaire se fait le long de lignées cellulaires mutantes, émergence de l’embryogenèse[33]. Ce psoriasis de type mosaïque met en évidence le rôle probable d'une anomalie cutanée mal supportée par l'immunité. De plus ces psoriasis se révèlent parfois en réponse à un traitement médical[34].
Psoriasis des muqueuses
La langue peut être affectée prenant un aspect en relief avec des zones localisées épaissies et blanchâtres. La muqueuse vaginale peut aussi être concernée. Les plaques rouges ne desquament généralement pas et sont parfois douloureuses lors des rapports. Elles sont propices aux lésions qui peuvent brûler ou démanger. Le sexe masculin est aussi concerné (gland...).
Autres cas
- Sébopsoriasis ;
- Psoriasis hyperkératosique ;
- Psoriasis des langes ; Le psoriasis des langes est la forme le plus fréquemment observé chez les enfants de moins de 2 ans et il est régulièrement confondu avec érythème fessier (dermite du siège)[35].
- Psoriasis de l'enfant, du nourrisson ;
- Arthrite psoriasique :
- Inflammation conjuguée produisant les symptômes de l'arthrite chez des patients qui ont développé un psoriasis ou en développeront un. Appelé aussi rhumatisme psoriasique, il touche environ 5 % (mais le chiffre peut atteindre 25 % dans certaines publications[36]) des psoriasiques, et s'associe en général à des lésions cutanées (qui, rarement, peuvent débuter après le rhumatisme). C'est un rhumatisme inflammatoire chronique, déformant, qui peut être très invalidant, dont deux grandes formes, qui peuvent être associées, sont décrites :
- rhumatisme axial : aspect très proche de la pelvispondylite rhumatismale : SA (cou, dos, sacro-iliaques) et survient le plus souvent chez des hommes porteurs de l'HLA-B27 ;
- rhumatisme périphérique : aspect proche de la polyarthrite rhumatoïde, avec cependant une prédilection pour les interphalangiennes distales (la peau des doigts, les ongles, sont le plus souvent atteints de psoriasis). Pas d'association avec l'HLA-B27.
Certaines formes peuvent se développer à la suite d'un traumatisme articulaire.
Causes

Le psoriasis est une maladie complexe. La recherche scientifique n'a pas isolé de cause unique mais a mis en évidence des facteurs de risque responsables de susceptibilité ou vulnérabilité. Bien que les mécanismes intimes de l'inflammation qui caractérise le psoriasis soient de mieux en mieux connus, l'effet fondateur du phénomène reste non élucidé. Les facteurs de risques, très nombreux, sont de deux natures : l'une structurelle d'ordre génétique, l'autre environnementale d'ordre infectieux, psycho-physiologique. Il semble que ce soit des combinaisons de ces facteurs polygéniques et environnementaux qui déclenchent la maladie. Souvent les personnes qui possèdent les prédispositions génétiques au psoriasis déclarent leurs premiers symptômes à l'adolescence.
Prédisposition génétique
Le psoriasis présente des composantes génétiques certaines[37] car près de 30 % des personnes atteintes ont un membre de leur famille touché par la même maladie[38]. La présence de nombreux leucocytes dans le derme suggère le rôle de premier plan joué par le système immunitaire. L'hypothèse d'un mécanisme d'auto-immunité a été retenu[39].
Parmi les nombreux gènes identifiés comme marqueurs potentiels de risque, figure le PSORS (PSORiasis Susceptibility).0
- Le PSORS1 est le plus fréquemment retrouvé. C'est un segment d'ADN de 300 kilobases situé sur le chromosome 6 p. 21 codant le complexe majeur d'histocompatibilité de type 1 (système HLA) et qui serait responsable de 35 à 50 % des psoriasis en plaque, familiaux à début précoce des populations caucasiennes[4],[40]. Cette mutation est aussi, mais dans une moindre mesure, un facteur de risque des psoriasis en gouttes. Toutefois elle reste étrangère à ceux de type pustuleux[4].
- Le gène CARD14 (Caspase Recruitment Domain family member 14) : de rares mutations ont pu être mises en évidence dans la pathogénie du psoriasis en plaque. Elles sont potentiellement impliquées dans la forme pustuleuse et arthritique[41]. Ces mutations peuvent être héritées mais aussi apparaître de novo.
- Le gène IL-36Ra : dans le cadre du Psoriasis Pustuleux Généralisé (PPG) potentiellement mortel, les recherches actuelles mettent en cause une mutation (L27P) sur le gène IL-36Ra qui code une protéine inhibitrice de cytokine (médiateur d'interactions cellulaires). La mutation perturberait la stabilité de cette protéine et sa capacité à se fixer sur les récepteurs dédiés, notamment ceux des cellules de la peau : les kératinocytes. L'inflammation alors mal régulée produirait un emballement par "tempête" de cytokines[42].
Les rétrovirus endogènes : en analysant des plaques de psoriasis, une étude montre l'expression locale de plusieurs rétrovirus endogène HERV de type W, K, E et 9[43].
Des mutations de novo : l'existence de psoriasis blaschko-linéaire étaie cette hypothèse.
- 16 gènes (en 2012[44]) ont des mutations pouvant favoriser cette maladie.
Des facteurs d'influences variés
Cette maladie multigénique présente de plus une forte susceptibilité environnementale, ce qui la rend difficile à élucider. Les facteurs d'influence sont nombreux, endogènes et exogènes. La plupart aggravent les symptômes du psoriasis. Certains sont identifiés comme les déclencheurs de premières poussées.
- Anomalies primaires de l'épiderme :
- Les kératinocytes psoriasiques présentent des caractéristiques fonctionnelles différentes de ceux d'un sujet sain[4],[2].
- Le stress :
- L'anamnèse menée auprès des malades montre que les premiers effets visibles du psoriasis font suite à un stress important, un choc émotionnel ou un choc affectif.
- Infection :
- Des cas de psoriasis en gouttes chez l'enfant en lien avec des infections streptococciques sont rapportés dans la littérature scientifique[45]. D'autres études[46] évoquent la possible influence des rétrovirus dans la pathogenèse du psoriasis.
- Substance toxique :
- La consommation excessive d'alcool est un facteur d'aggravation du psoriasis.
- Paradoxalement, les patients traitées aux anti-TNF-alpha sont de plus en plus nombreux à déclencher de nouvelles plaques de psoriasis, ou à manifester une dégradation d'anciennes plaques[47]. En 2011 jusqu'à 10 % des personnes traitées ont été affectées[47].
Une méta-analyse récente[48], confirme une étude précédente[49], et conclut en 2021 que 13 médicaments antihypertenseurs peuvent favoriser l'apparition ou l'aggravation du psoriasis[50] ;
D'autres médicaments exacerbent parfois le psoriasis mais leur arrêt doit être discuté au cas par cas, au vu d'autres risques, cardio-vasculaires notamment. Ce sont surtout des bêta-bloquants.
D'autres molécules sont jugées potentiellement aggravantes, avec un risque cependant moindre. Ce sont les sartans et l'énalapril[réf. souhaitée].
- Hormones :
- Durant la grossesse, une diminution des poussées avec une aggravation par contre à la suite de celle-ci est généralement observée. Le mécanisme invoqué est celui d'une immuno-modulation par les taux élevés de progestérone et d'œstrogènes qui entraînent une stimulation de l'immunité dépendant des lymphocytes B mais une diminution de l'activité immunitaire des lymphocytes T. La progestérone est reconnue comme ayant un rôle immuno-modulateur clé durant la grossesse[51].
- Microbiologique :
- De récentes recherches mettent en évidence le faible effectif de certaines bactéries dites « bénéfiques » au sein du microbiote intestinal de personnes atteintes d'arthrite psoriasique[52].
- Alimentaire.(références souhaitées)
Comorbidité, autres effets
Contrairement à sa définition initiale, le psoriasis ne doit plus être considéré comme une affection uniquement cutanée, mais comme une maladie systémique qui diffuse sa pathogénie au long cours vers tous les organes du corps humain. Les signes qui apparaissent sur la peau ne sont en fait qu'une partie d'un problème sous-jacent. En plus de la peau et des phanères, elle peut affecter les articulations, le système cardiovasculaire, les muqueuses[53].
- L'effet inesthétique handicapant le sujet dans sa vie quotidienne, peut s'avérer particulièrement désagréable également par le biais de démangeaisons intenses. Le grattage des lésions psoriasiques entraîne des piquetés hémorragiques dénommés signe d'Auspitz ou signe de la rosée sanglante étudié par le dermatologue Heinrich Auspitz[54]
- Sexuelles :
- Lorsque le psoriasis s'étend sur les parties génitales, les relations sexuelles deviennent plus délicates car elles deviennent très douloureuses.
- Cardiovasculaire :
- Les porteurs de psoriasis auraient un risque plus grand de faire un infarctus du myocarde, d'autant plus que l'atteinte est étendue[55]. Les formes sévères ont une mortalité cardiovasculaire plus importante[56]. Cela pourrait être en rapport avec une perturbation du métabolisme lipidique constatée chez les patients atteints de psoriasis[57] et avec l'inflammation chronique. Il existe également une corrélation entre la sévérité de la maladie cutanée et le risque d'avoir un rétrécissement aortique[58].
- Perturbations du métabolisme lipidique ;
- Atteintes rénales :
- Il existe également un risque accru de survenue d'une insuffisance rénale[59].
- Articulations :
- Comme les victimes d'arthrite rhumatoïde, ils deviennent aussi plus sensibles à la douleur, semble-t-il en raison d'une nociception renforcée par une sorte d'effet de « sensibilisation »[60]
Mécanismes et histologie
L'épiderme se renouvelle trop rapidement, en seulement quatre à six jours, au lieu des quarante-huit jours habituels[61], ce qui engendre des inflammations localisées. Les cellules épidermiques s'accumulent à la surface de la peau et forment une couche de pellicules blanches appelées squames. Parfaitement inoffensives, celles-ci ont l’inconvénient d'être inesthétiques.
L'examen au microscope d'un échantillon de peau atteinte n'est guère utile en pratique courante, l'examen clinique étant le plus souvent évident. Cet examen montre une augmentation de l'épaisseur de l'épiderme, la présence de nombreux vaisseaux sanguins particulièrement tortueux dans le derme avec infiltration dans ce dernier par des leucocytes. En peau non atteinte, l'examen au microscope est strictement normal.
Traitement
Aucun traitement permettant la guérison complète n'est aujourd'hui connu. Il existe en revanche de nombreux traitements approuvés par les autorités de santé, locaux ou systémiques qui atténuent considérablement les symptômes et améliorent grandement la qualité de vie des patients.
Traitement local
Le traitement local consiste à appliquer une crème sur la zone du psoriasis. Les glucocorticoïdes ont un effet favorable sur le psoriasis, malheureusement les plaques reviennent souvent dès l'arrêt du traitement. Ce dernier engendre également une forme d'insensibilisation, qui oblige à augmenter les doses dans le temps. De plus, l'effet n'est plus seulement local si ces pommades sont appliqués sur de vastes zones. Cette forme de traitement devrait donc être limitée à des formes aiguës ou fortement inesthétiques, pendant une courte période et sur une surface limitée.
Le calcipotriol (calcipotriène) est un dérivé de la vitamine D3. Normalement, cette dernière est synthétisée lors de l'exposition de la peau à la lumière ultraviolette solaire. Il s'agit donc ici d'un substitut à cette exposition (ou à la PUVA-thérapie). La quantité maximale applicable est cependant limitée, car, à fortes doses, le calcipotriol devient toxique. Le tazarotène est un dérivé de la vitamine A disponible en pommade. Sa tolérance serait cependant moindre que le calcipotriol[62].
Les goudrons (dont l'huile de cade) étaient auparavant fréquemment utilisés en application sur le psoriasis mais étaient malcommodes car particulièrement salissants. Le dithranol est un dérivé du goudron. Le dithranol a une certaine efficacité, surtout en association avec d'autres traitements mais il est parfois irritant et surtout incommode (très "tachant"), ce qui en limite l’usage. Les autres traitements incluent l'acide salicylique, les bains, les hydratants de la peau. Ces traitements locaux peuvent être éventuellement associés.
Photothérapie
L'exposition solaire a le plus souvent une influence favorable sur le psoriasis[63],[64]. Cependant, dans 10 % des cas, cette exposition sera en fait néfaste[réf. nécessaire]. Le sujet devra alors éviter le soleil, ou du moins éviter d'être directement exposé à ses rayons.
La photothérapie à la lumière du soleil est pratiquée depuis longtemps pour le traitement du psoriasis. La lumière UV la plus efficace à une longueur d'onde comprise entre 311 et 313 nm et c’est pour cette raison que les fabricants ont développé des lampes spéciales pour cet usage. Le temps d’exposition doit être contrôlé pour éviter une surdose et des brûlures de la peau. Les lampes à UVB doivent donc avoir un minuteur qui assure que le dispositif s’arrête en fin de traitement. La quantité de lumière nécessaire est fonction du type de peau. Le nombre de cas de cancers liés au traitement est faible. Il a été démontré que la lumière UVB à bande étroite avait une efficacité comparable au traitement PUVA. Il a été montré récemment l’efficacité de la lumière LED bleue à une longueur d’onde de 453nm[65],[66]. Cette lumière bleue sans UV qui n’est pas toxique pour la peau est maintenant disponible sous la forme d’un dispositif médical portable. La durée du traitement est déterminée par un minuteur. Ce traitement de photothérapie ne contient aucune substance chimique ou ingrédient actif.
La photothérapie aux ultraviolets B (UVB) est également conseillée, pouvant être combinée à d'autres thérapies :
- la PUVA-thérapie : c'est l'exposition aux ultraviolets A, qui se pratique souvent avec prise préalable per os (par voie orale) de psoralènes car l'exposition aux seuls ultraviolets A a peu d'efficacité ; l'administration de psoralènes en comprimés, peu avant l'exposition aux UVA, permet une sensibilisation de la peau à ces derniers. En général, trois séances par semaine sont pratiquées, d'environ 5-15 minutes. La puvathérapie est moins utilisée depuis l'emploi croissant des UVB, plus maniables. Elle est recommandée « en première intention dans les psoriasis étendus sévères en grandes plaques épaisses (niveau de preuve A) et chez les adultes de phototype IV à VI (niveau de preuve B) ; elle sera aussi envisagée pour les psoriasis résistants aux UVB TL01[67] ». Le mode d’action de la PUVA reste encore inconnu, mais il est probable qu’il implique l’activation du psoralène par les rayons UVA qui jouent un rôle dans le contrôle de la production rapide et anormale de cellules de la peau psoriasique. Il y a de multiples modes d’action associés au traitement PUVA, qui incluent des réponses du système immunitaire de la peau. Les effets secondaires les plus fréquents associés au traitement PUVA sont des nausées, des maux de tête, une fatigue, des brûlures ainsi que des démangeaisons. Il y a également un risque accru de développer à long terme un cancer de la peau du type carcinome spinocellulaire (mais non mélanome). Pour traiter le psoriasis modéré à sévère, l’association de PUVA avec l’acitrétine (un dérivé synthétique de la vitamine A administré par voie orale) donne des résultats, mais l’acitrétine peut avoir pour effets secondaires des malformations à la naissance ainsi que des dommages hépatiques ;
- la photothérapie UVB tout comme la lumière LED bleue sont cliniquement prouvées pour le traitement du psoriasis ;
- l'UVB thérapie : elle est une bonne alternative à la PUVA-thérapie en raison d'une « absence de nécessité de prise de psoralène, un faible taux d’effets secondaires immédiats, un moindre risque de photosensibilisation médicamenteuse, l’absence de nécessité de photoprotection cutanée et oculaire après les séances[67]. » Elle se pratique avec des tubes fournissant une longueur d'onde précise (311-313 nm) ; on parle de « photothérapie UVB à spectre étroit »[67]. En général trois séances par semaine sont nécessaires, à raison de quelques minutes par séance.
Un des modes d’action principaux de la thérapie UVB à bande étroite est qu’il provoque des lésions de l’ADN sous la forme de dimères de pyrimidine. Ce type de photothérapie est intéressant pour le traitement du psoriasis car la formation de ces dimères interfère avec le cycle cellulaire et le stoppe. Cette interruption du cycle cellulaire induit par les rayonnements UVB à bande étroite lutte contre la division rapide des cellules de la peau qui est une caractéristique du psoriasis. L’activité de nombre de cellules immunitaires de la peau est également supprimée par la photothérapie UVB à bande étroite[68],[69]. L’effet secondaire à court terme le plus courant concernant cette forme de photothérapie est l’apparition de rougeurs sur la peau ; plus rares sont les démangeaisons, l’apparition d’ampoules, l’irritation des yeux sous la forme d’une inflammation de la conjonctive ou de la cornée, ou bien des boutons de fièvre dus à la réactivation du virus de l’herpès au contour des lèvres. Une protection oculaire est généralement prescrite durant les séances de photothérapie.
Dans tous les cas, la thérapie par ultraviolets (A ou B) doit être effectuée sous contrôle médical. Elle aboutit à un seuil de tolérance variable d'un individu à l'autre qu'il est nécessaire de ne pas dépasser. Sans cela le patient s'expose à l'héliodermie et aux risques — faibles — de cancers cutanés (épithélioma, mélanomes), risques d'autant plus faibles qu'un patient souffrant de psoriasis a beaucoup plus de contrôles dermatologiques qu'un patient moyen, ce qui permet de déceler plus tôt un début de néoplasie.
La lumière bleue a aussi prouvé son efficacité pour le traitement du psoriasis[69],[70]. Des études ont montré que la lumière bleue réduit l’accélération de la production des cellules kératinocytes et ont en plus des propriétés anti-inflammatoires. La lumière bleue fait partie du spectre visible de la lumière et est donc sans UV. Cette thérapie ne contient par ailleurs aucune substance chimique ou ingrédient actif. Aucun effet secondaire n’a été observé durant cette étude clinique de 4 mois, il manque toutefois des données de suivi à long terme.
Traitement systémique
Pour les formes les plus sévères de psoriasis, les médecins peuvent prescrire des traitements par voie orale (comprimé ou gélule) ou par injection. Ces traitements sont appelés systémiques car les médicaments sont censés se disséminer dans tout l'organisme. Suivant le traitement et son mode d'action, il peut y avoir plus ou moins d'effets secondaires[71].
Les traitements systémiques sont classés en trois sous-catégories : les systémiques non-biologiques et les biologiques.
Traitements systémiques non biologiques
- Le méthotrexate est un antagoniste d'une vitamine, l'acide folique. D'après les recommandations françaises de 2019[72] et européennes de 2020[73], c'est le traitement systémique de première intention sauf situations spéciales.
- Un rétinoïde, tel l'acitrétine, est un dérivé de synthèse de la vitamine A pouvant être prescrit dans les formes modérées à sévères de psoriasis. Chez la femme en âge de procréer ce traitement est tératogène, non seulement pendant la prise du médicament mais également pendant les deux années (24 mois) qui suivent la dernière prise. Les effets secondaires sont en général mineurs.
- Le psoriasis étant considéré proche des maladies auto-immunes, un immunodépresseur comme la ciclosporine peut parfois produire des effets positifs, mais ses effets secondaires sont importants (principalement en raison de l'affaiblissement du système de défense immunitaire). L'hydroxyurée n'est quasi plus employée.
- Le , la Food and Drug Administration (FDA) a accordé une autorisation de mise sur le marché à l’aprémilast (Otezla) chez les patients souffrant d’un psoriasis en plaques modéré à sévère candidats à la photothérapie ou à un traitement systémique[74].
D'autres médicaments ou traitements ont été plus ou moins testés : le XP-828L (Dermylex) a prouvé une certaine efficacité[75],[76] pour le psoriasis léger à modéré. Entre autres nouveaux traitements, la lécithine marine est en cours d'évaluation et des résultats positifs ont déjà été publiés[77],[78].
Traitements systémiques biologiques ou biomédicaments

Les traitements systémiques biologiques ne peuvent être initiés que par un dermatologue hospitalier et sont souvent composés d'anticorps monoclonaux[79]. Ils sont classés en fonction de leur mode d'action : anti-TNF, anti IL12/23, anti IL17 et anti-IL23.
Ce sont les premiers traitements biologiques dans les traitements du psoriasis.
- L'infliximab est un anticorps monoclonal chimérique anti-TNF. Il s'administre en perfusion de 2 heures, aux semaines 0, 2 et 6, puis toutes les 8 semaines[71].
- L'efalizumab est également un anticorps monoclonal dirigé contre un certain type de récepteurs leucocytaires avec une efficacité à court et moyen terme[6]. Il a été retiré du marché début 2009[71].
- L'étanercept est un inhibiteur du TNF utilisé dans certains rhumatismes inflammatoires de l'adulte et de l'enfant ainsi que dans le traitement du psoriasis[71],[80].
- L'adalimumab est un anticorps monoclonal thérapeutique, commercialisé depuis 2003, administré en injection sous-cutanée toutes les 2 semaines[71].
Anti-IL12/23
- L'ustekinumab[81] est un anticorps monoclonal dirigé contre les interleukines 12 et 23 (par l'intermédiaire d'une sous-unité commune). Ce traitement injectable, s'administre en 4 injections sous-cutanées par an.
Anti-IL17
- L'ixekizumab[82].
- Le secukinumab[83].
- Le brodalumab[84].
- Le bimékizumab (Bimzelx) (anti IL-17A et IL-17F), s'est montré efficace dans trois études de phase III et est aujourd'hui autorisé en Europe et aux États-Unis dans le traitement du psoriasis modéré à sévère chez l'adulte[85],[86].
Anti-IL23
- Le guselkumab a été approuvé en 2018 dans l'Union européenne[87] dans le traitement du psoriasis en plaques modéré à sévère. C'est un traitement injectable en 6 doses par an[87]
- Le risankizumab a reçu l'autorisation de mise sur le marché dans l'Union européenne[88], en 2019. C'est un traitement injectable en 4 doses par an[88]
- Le tildrakizumab[89]
Épidémiologie
En moyenne, cette affection dermatologique touche 1,5 à 5 % de la population mondiale dans les pays développés[90]. Toutefois la prévalence de cette maladie varie considérablement d'un pays a l'autre et de leurs données épidémiologiques publiées (de 0,09 % en Tanzanie à 11,4 % en Norvège[91]). De 2 % aux États-Unis, elle atteint 2,8 % dans les îles Féroé[92] alors que les Japonais, les aborigènes[93] et les Amérindiens[94] semblent être des populations peu affectées. Une étude épidémiologique en 2002 donne une prévalence de 5,17 % dans la population française mais cette donnée est à relativiser en raison de la méthodologie de cette étude[95].
Sa prévalence est variable suivant la couleur de la peau : elle est plus fréquente chez les personnes de peau blanche et atteint de manière équivalente les deux sexes.
Le psoriasis connaît deux périodes propices : entre 10 et 20 ans et surtout entre 50 et 60 ans[96]. Pour se manifester, cette affection inflammatoire a besoin d'un terrain héréditaire et d'un facteur déclenchant. Si l'un des deux parents est atteint, le risque pour l'enfant de la développer est de 5 à 10 %.
Historique
Le psoriasis tient son étymologie du grec ψωρίασις / psõríasis, « éruption galeuse », psore ayant aussi autrefois désigné la gale en France.
L'une des premières descriptions précises en a été faite par le britannique Robert Willan (en) dans son Traité des maladies de la peau datant de 1808. L'inventeur américain Benjamin Franklin en souffrait[97].
Le est la journée mondiale du psoriasis créée en 2004[98] à l'initiative de l'International Federation of Psoriasis Associations[99].
Société
Une étude de l'association de patients Association France Psoriasis[100] et du laboratoire Celgene, conduite du au par Ipsos, révèle jusqu'à 70 % des personnes actives de la population française atteintes de la maladie (65 % parmi ceux atteints de rhumatisme psoriasique, 37 % parmi ceux atteints de psoriasis léger) souffriraient de remarques désagréables sur leur lieu de travail et 65 % des suspicions sur leur niveau d'hygiène (61 % et 33 % selon le degré respectif). Des moqueries peuvent être accompagnées de sobriquets comme « gratounette » ou « parmesan ». La maladie est estimé par de nombreuses personnes atteintes comme un facteur de discrimination et de frein à l'évolution professionnelles[101],[102].
Représentations culturelles
Dans la littérature, plusieurs auteurs évoquent le psoriasis. L'écrivain américain John Updike a d'abord fait mention de cette maladie, qui touche l'un des personnages, dans son roman Le Centaure (1964)[103]. Il a ensuite imaginé, sous forme de fiction, les souffrances liées à cette maladie dans la nouvelle From a Journal of a Leper, parue d'abord dans The New Yorker, le . Il s'empare à nouveau du sujet pour le même magazine le , en expliquant, dans un article titré Personal History: At war with my skin, son propre rapport au psoriasis[104].
En France, le roman La Démangeaison de Lorette Nobécourt, sorti en 1994, prend la forme du monologue d'une femme sévèrement touchée par cette maladie[105]. Le journal Le Parisien précise : « « Je me suis grattée absolument, et je peux affirmer ici que celui qui n'a pas connu la démangeaison ininterrompue sait bien peu de l'enfer. » En quelques lignes, Lorette Nobécourt, dans son roman La Démangeaison, résume le calvaire des patients atteints de psoriasis lorsqu'ils entrent en crise[106]. »
Parmi les auteurs ayant été atteint de psoriasis figure également l'Américain d'origine russe Vladimir Nabokov, mais il n'a jamais mentionné la maladie par son nom dans ses œuvres. Il en fait juste une courte description dans un passage de son livre Ada ou l'Ardeur[103]. Dans une étude publiée par The British Journal of Dermatology en 2018, les chercheurs français Laurie Rousset et Bruno Halioua suggèrent que la maladie aurait poussé l'homme à des pensées suicidaires. Ils se sont notamment appuyés sur des lettres écrites à sa femme, entre 1923 et 1977 où il faisait part de son psoriasis[107].
À la télévision, la série britannique The Singing Detective, diffusée en 1986 sur la BBC, a pour héros un homme, incarné par l'acteur irlandais Michael Gambon, atteint d'une forme sévère de psoriasis[108]. Son scénariste, le Britannique Dennis Potter, souffrait d'arthrite psoriasique[109].
Notes et références
- ↑ « Psoriasis », sur passeportsante.net, (consulté le ).
- 1 2 Le TNF- D dans la physiopathologie du psoriasis A. ROZIERES, A. HENNINO, J.-F. NICOLAS.
- 1 2 3 4 5 6 7 8 9 DERMATO-INFO.
- 1 2 3 4 Dr Jullien (CHU de Lyon), « Physiopathologie du psoriasis ».
- ↑ F. Augey, J.-F. Nicolas, « Le psoriasis en 20 questions », Inserm, Lyon, novembre 2008.
- 1 2 3 (en) Christopher EM Griffiths et Jonathan NWN Barker, « Pathogenesis and clinical features of psoriasis », The Lancet, vol. 370, no 9583, , p. 263–271 (ISSN 0140-6736 et 1474-547X, PMID 17658397, DOI 10.1016/S0140-6736(07)61128-3, lire en ligne, consulté le )
- ↑ Physiopathologie du psoriasis — Audrey Nosbaum, Jean-François Nicolas — Lyon Inserm.
- ↑ (en) Tomislav Duvančić et Mirna Šitum, « he Influence of Academician Franjo Kogoj on Global Dermatology - PubMed », sur PubMed, (consulté le ).
- 1 2 Psoriasis: De la clinique à la thérapeutique par Jean-François Nicolas, Jean Thivolet, page 43/44 .
- 1 2 Gang Wang, Chunying Li, Tianwen Gao et Yufeng Liu, « Clinical analysis of 48 cases of inverse psoriasis: a hospital-based study », European journal of dermatology: EJD, vol. 15, no 3, , p. 176–178 (ISSN 1167-1122, PMID 15908302, lire en ligne, consulté le ).
- 1 2 Kim A. P. Meeuwis, Alison Potts Bleakman, Peter C. M. van de Kerkhof et Yves Dutronc, « Prevalence of genital psoriasis in patients with psoriasis », Journal of Dermatological Treatment, vol. 29, no 8, , p. 754–760 (ISSN 0954-6634 et 1471-1753, DOI 10.1080/09546634.2018.1453125).
- ↑ (en) « Phòng Khám Da Liễu LG », sur phongkhamdalieulg.vn, (consulté le )
- ↑ Joham E et James E (2007) Psoriasis. In: Wolff K, Goldsmith LA, Katz SI, Gilchrest BA, Paller AM, Leffell DJ, editors. Fitzpatrick’s dermatology in general medicine. New York: McGraw Hill Medicine; 2007. p. 169–94.
- 1 2 3 4 5 Kristen M. Beck, Eric J. Yang, Isabelle M. Sanchez et Wilson Liao, « Treatment of Genital Psoriasis: A Systematic Review », Dermatology and Therapy, vol. 8, no 4, , p. 509–525 (ISSN 2193-8210 et 2190-9172, PMID 30145740, PMCID PMC6261118, DOI 10.1007/s13555-018-0257-y).
- ↑ G. Wang, C.-Y. Li, T.-W. Gao et Y.-F. Liu, « Dyschromatosis universalis hereditaria: two cases in a Chinese family », Clinical and Experimental Dermatology, vol. 30, no 5, , p. 494–496 (ISSN 0307-6938 et 1365-2230, DOI 10.1111/j.1365-2230.2005.01823.x, lire en ligne, consulté le )
- ↑ K Meeuwis, J Hullu, J IntHout et I Hendriks, « Genital Psoriasis Awareness Program: Physical and Psychological Care for Patients with Genital Psoriasis », Acta Dermato Venereologica, vol. 95, no 2, , p. 211–216 (ISSN 0001-5555, DOI 10.2340/00015555-1885).
- 1 2 Antonio Guglielmetti, Rodrigo Conlledo, Juliana Bedoya et Francisco Ianiszewski, « Inverse Psoriasis Involving Genital Skin Folds: Successful Therapy with Dapsone », Dermatology and Therapy, vol. 2, no 1, (ISSN 2193-8210 et 2190-9172, PMID 23205337, PMCID PMC3510394, DOI 10.1007/s13555-012-0015-5).
- ↑ Gleison Duarte, Humberto Calmon, Gabriela Radel et Maria de Fátima Paim de Oliveira, « Psoriasis and sexual dysfunction: links, risks, and management challenges », Psoriasis: Targets and Therapy, vol. Volume 8, , p. 93–99 (ISSN 2230-326X, PMID 30574453, PMCID PMC6292237, DOI 10.2147/ptt.s159916, lire en ligne, consulté le )
- ↑ K Meeuwis, J Hullu, L Massuger et P Kerkhof, « Genital Psoriasis: A Systematic Literature Review on this Hidden Skin Disease », Acta Dermato Venereologica, vol. 91, no 1, , p. 5–11 (ISSN 0001-5555, DOI 10.2340/00015555-0988).
- 1 2 Anikó Göblös, Emese Varga, Katalin Farkas et Kristóf Árvai, « Genetic Investigation of Inverse Psoriasis », Life, vol. 11, no 7, , p. 654 (ISSN 2075-1729, PMID 34357026, PMCID PMC8306123, DOI 10.3390/life11070654)..
- ↑ Caitriona Ryan, Muriel Sadlier, Edward De Vol et Mahir Patel, « Genital psoriasis is associated with significant impairment in quality of life and sexual functioning », Journal of the American Academy of Dermatology, vol. 72, no 6, , p. 978–983 (ISSN 0190-9622, DOI 10.1016/j.jaad.2015.02.1127, lire en ligne, consulté le )
- ↑ Eric Yang, Kristen Beck, Isabelle Sanchez et John Koo, « The impact of genital psoriasis on quality of life: a systematic review », Psoriasis: Targets and Therapy, vol. Volume 8, , p. 41–47 (ISSN 2230-326X, PMID 30214891, PMCID PMC6118254, DOI 10.2147/ptt.s169389, lire en ligne, consulté le )
- ↑ Laura Pietrangelo, Annunziata Dattola, Irene Magnifico et Giulio Petronio Petronio, « Efficacy and Microbiota Modulation Induced by LimpiAL 2.5%, a New Medical Device for the Inverse Psoriasis Treatment », International Journal of Molecular Sciences, vol. 24, no 7, , p. 6339 (ISSN 1422-0067, PMID 37047310, DOI 10.3390/ijms24076339, lire en ligne, consulté le ).
- ↑ Annunziata Dattola, Martina Silvestri, Luigi Bennardo et Ester Del Duca, « Update of calcineurin inhibitors to treat inverse psoriasis: A systematic review », Dermatologic Therapy, vol. 31, no 6, , e12728 (ISSN 1396-0296, DOI 10.1111/dth.12728).
- 1 2 Julie J. Hong, Megan L. Mosca, Edward K. Hadeler et Nicholas D. Brownstone, « Genital and Inverse/Intertriginous Psoriasis: An Updated Review of Therapies and Recommendations for Practical Management », Dermatology and Therapy, vol. 11, no 3, , p. 833–844 (ISSN 2193-8210 et 2190-9172, PMID 33914293, PMCID PMC8163914, DOI 10.1007/s13555-021-00536-6).
- ↑ Miranda Farage et Howard I. Maibach, « The vulvar epithelium differs from the skin: implications for cutaneous testing to address topical vulvar exposures », Contact Dermatitis, vol. 51, no 4, , p. 201–209 (ISSN 0105-1873 et 1600-0536, DOI 10.1111/j.0105-1873.2004.00444.x).
- ↑ Shivam Kapila, Jennifer Bradford et Gayle Fischer, « Vulvar Psoriasis in Adults and Children », Journal of Lower Genital Tract Disease, vol. 16, no 4, , p. 364–371 (ISSN 1089-2591, DOI 10.1097/lgt.0b013e31824b9e5e, lire en ligne, consulté le )
- ↑ K Meeuwis, J Hullu, J IntHout et I Hendriks, « Genital Psoriasis Awareness Program: Physical and Psychological Care for Patients with Genital Psoriasis », Acta Dermato Venereologica, vol. 95, no 2, , p. 211–216 (ISSN 0001-5555, DOI 10.2340/00015555-1885, lire en ligne, consulté le )
- ↑ Gottfried Wozel, « Psoriasis treatment in difficult locations: scalp, nails, and intertriginous areas », Clinics in Dermatology, vol. 26, no 5, , p. 448–459 (ISSN 0738-081X, DOI 10.1016/j.clindermatol.2007.10.026, lire en ligne, consulté le )
- ↑ Khosravi H, Siegel MP, Van Voorhees AS, Merola JF. Treatment of inverse/intertriginous psoriasis: updated guidelines from the Medical Board of the National Psoriasis Foundation. J Drugs Dermatol JDD. 2017;16(8):760–6.
- ↑ Mark G. Lebwohl, Mei-Heng Tan, Stacie L. Meador et Giselle Singer, « Limited application of fluticasone propionate ointment, 0.005% in patients with psoriasis of the face and intertriginous areas », Journal of the American Academy of Dermatology, vol. 44, no 1, , p. 77–82 (ISSN 0190-9622, DOI 10.1067/mjd.2001.110046, lire en ligne, consulté le ).
- ↑ Margaret Greco et Sarah L Chamlin, « An 18-month-old Girl With Chronic Diaper Dermatitis », Pediatric Annals, vol. 35, no 2, , p. 79–83 (ISSN 0090-4481 et 1938-2359, DOI 10.3928/0090-4481-20060201-06, lire en ligne, consulté le ).
- ↑ Published online 2011 Jan 22. DOI 10.1159/000324190 PMCID: PMC3042014 Linear Psoriasis – A Case Report Ana Brinca, * F. Santiago, D. Serra, P. Andrade, R. Vieira, and A. Figueiredo.
- ↑ Psoriasis blaschko-linéaire révélé par un traitement par infliximab (Remicade®) Blasch-kolinear psoriasis revealed by infliximab therapy --- M. Sfia, B. Roth-Mall, M.-C. Tortel, J.-C. Guillaume, B. Cribier -- Service de dermatologie, hôpital Pasteur Colmar -- Service d’anatomie et de cytologie pathologiques, hôpitaux civils de Strasbourg .
- ↑ E. Mahé, P. Gnossike et M.-L. Sigal, « Le psoriasis de l’enfant », Archives de Pédiatrie, vol. 21, no 7, , p. 778–786 (ISSN 0929-693X, DOI 10.1016/j.arcped.2014.04.018, lire en ligne, consulté le )
- ↑ (en) Zachariae H, Prevalence of joint disease in patients with psoriasis: implications for therapy, Am J Clin Dermatol 2003;4:441–447.
- ↑ (en) Fitch E, Harper E, Skorcheva I, Kurtz SE, Blauvelt A, Pathophysiology of psoriasis: recent advances on IL-23 and Th 17 cytokines, Curr Rheumatol Rep, 2007;9:461-467.
- ↑ (en) Andressen C, Henseler T, Inheritance of psoriasis. Analysis of 2035 family histories, Hautarzt, 1982;33:214–217.
- ↑ Br J Dermatol. 2002 Mar;146(3):383-91. Expression of nicotinic receptors in the skin of patients with palmoplantar pustulosis. Hagforsen E1, Edvinsson M, Nordlind K, Michaëlsson G.
- ↑ Richard C. Trembath, R. Lee Clough, Jane L. Rosbotham et Andrew B. Jones, « Identification of a Major Susceptibility Locus on Chromosome 6p and Evidence for Further Disease Loci Revealed by a Two Stage Genome-Wide Search in Psoriasis », Human Molecular Genetics, vol. 6, no 5, , p. 813–820 (ISSN 0964-6906, DOI 10.1093/hmg/6.5.813, lire en ligne, consulté le )
- ↑ (en) PSORS2 Is Due to Mutations in CARD14 --- Catherine T. Jordan1, Li Cao1, Elisha D.O. Roberson1, Katherine C. Pierson2, Chi-Fan Yang3, Cailin E. Joyce1, Caitriona Ryan4, Shenghui Duan1, Cynthia A. Helms1, Yin Liu5, Yongqing Chen5, Alison A. McBride6, Wuh-Liang Hwu7, Jer-Yuarn Wu3, Yuan-Tsong Chen3, Alan Menter4, 8, Raphaela Goldbach-Mansky5, 8, Michelle A. Lowes2, 8, Anne M. Bowcock1 --- 4 May 2012, Pages 784–795.
- ↑ Mutations dans le gène IL-36Ra responsables du psoriasis pustuleux généralisé S. Marrakchi a, P. Guigue b, A. Puel c, J. Zribi a, M. Sahbatou d, C. Bodemer e, J.L. Casanova c, J. Sims f, H. Turki a, H. Bachelez g, A. Smahi b, ⁎.
- ↑ juillet 2005. A new endogenous retroviral sequence is expressed in skin of patients with psoriasis. Molès JP1, Tesniere A, Guilhou Laboratoire de Dermatologie Moléculaire, Institut Universitaire de Recherche Clinique, 641 avenue du Doyen G. Giraud, 34093 Montpellier cedex 5, France. dermato@iurc1.iurc.montp.inserm.fr.
- ↑ (en) H.l. Hébert, F.r. Ali, J. Bowes et C.e.m. Griffiths, « Genetic susceptibility to psoriasis and psoriatic arthritis: implications for therapy », British Journal of Dermatology, vol. 166, no 3, , p. 474–482 (ISSN 1365-2133, DOI 10.1111/j.1365-2133.2011.10712.x, lire en ligne, consulté le )
- ↑ Psoriasis de l’enfant Emmanuel Laffitte, Service de Dermatologie et Vénérologie, CHUV, Lausanne; Jan Izakovic, Service de Dermatologie et Vénérologie, Universitätsspital, Bâle.
- ↑ ON ROLE RETROVIRUS IN AETIOLOGY OF PSORIASIS. Korsun Vladimir .
- 1 2 Manifestations cutanées paradoxales des anti-TNF-alpha -- M. Viguier, P. Richette, H. Bachelez, D. Wendling , F. Aubin -- 15 juin 2009.
- ↑ (en) Gonjin Song, Ha Young Yoon, Jeong Yee et Myeong Gyu Kim, « Antihypertensive drug use and psoriasis: A systematic review, meta‐ and network meta‐analysis », British Journal of Clinical Pharmacology, , bcp.15060 (ISSN 0306-5251 et 1365-2125, DOI 10.1111/bcp.15060, lire en ligne, consulté le )
- ↑ Prescrire Rédaction, « Psoriasis d'origine médicamenteuse », La Revue Prescrire, vol. 39, no 432, , p. 745–749 (ISSN 0247-7750, lire en ligne, consulté le )
- ↑ Luc Ruidant, « Psoriasis: gare aux antihypertenseurs qui peuvent le déclencher ou l'aggraver », sur Site-UpdateSpecialiste-FR, (consulté le ).
- ↑ (en) Oumeish OY, Al-Fouzan AS, Miscellaneous diseases affected by pregnancy, Clinics in Dermatology, 2006;24:113-117.
- ↑ , Titre : Decreased bacterial diversity characterizes the altered gut microbiota in patients with psoriatic arthritis, resembling dysbiosis in inflammatory bowel disease. Auteurs : Scher JU1, Ubeda C, Artacho A, Attur M, Isaac S, Reddy SM, Marmon S, Neimann A, Brusca S, Patel T, Manasson J, Pamer EG, Littman DR, Abramson SB.
- ↑ (en) Guido Bens, François Maccari et Éric Estève, Psoriasis: A systemic disease, avril 2012, vol.41, pages 338–348.
- ↑ « Auspitz (signe de la rosée sanglante d') », sur le dictionnaire de l’Académie nationale de médecine .
- ↑ (en) J Gelfand, A Neimann, D Shin, X Wang, D Margolis, A Troxel Risk of Myocardial Infarction in Patients With Psoriasis JAMA, 2006;296:1735-1741.
- ↑ Mehta NN, Azfar RS, Shin DB, Neimann AL, Troxel AB, Gelfand JM, Patients with severe psoriasis are at increased risk of cardiovascular mortality: cohort study using the General Practice Research Database, Eur Heart J, 2010;31:1000–1006.
- ↑ Mehta NN, Li R, Krishnamoorthy P et al. Abnormal lipoprotein particles and cholesterol efflux capacity in patients with psoriasis, Atherosclerosis, 2012;224:218–221.
- ↑ Khalid U, Ahlehoff O, Gislason GH, Skov L, Torp-Pedersen C, Hansen PR, Increased risk of aortic valve stenosis in patients with psoriasis: a nationwide cohort study, Eur Heart J, 2015;36:2177–2183.
- ↑ Wan J, Wang S, Haynes K, Denburg MR, Shin DB, Gelfand JM, Risk of moderate to advanced kidney disease in patients with psoriasis: population based cohort study, BMJ, 2013;347:f5961.
- ↑ van Laarhoven AI, Kraaimaat FW, Wilder-Smith OH, van Riel PL, van de Kerkhof PC, Evers AW (2013 ), Sensitivity to itch and pain in patients with psoriasis and rheumatoid arthritis. Exp Dermatol. 2013 Aug;22(8):530-4. doi: 10.1111/exd.12189. Epub 2013 Jun 27 (résumé).
- ↑ (en) Hajime Iizuka, « Epidermal turnover time », Journal of Dermatological Science, vol. 8, no 3, , p. 215–217 (ISSN 0923-1811 et 1873-569X, PMID 7865480, DOI 10.1016/0923-1811(94)90057-4, lire en ligne, consulté le )
- ↑ (en) Menter A, Griffiths CE, « Current and future management of psoriasis » The Lancet 2007;370:272-284 .
- ↑ (en) Søyland E, Heier I, Rodríguez-Gallego C, Mollnes TE, Johansen FE, Holven KB, Halvorsen B, Aukrust P, Jahnsen FL, de la Rosa Carrillo D, Krogstad AL, Nenseter MS, « Sun exposure induces rapid immunological changes in skin and peripheral blood in patients with psoriasis », Br J Dermatol, vol. 164, no 2, , p. 344-55. (PMID 21271993, DOI 10.1111/j.1365-2133.2010.10149.x).
- ↑ (en) Heier I, Søyland E, Krogstad AL, Rodríguez-Gallego C, Nenseter MS, Jahnsen FL, « Sun exposure rapidly reduces plasmacytoid dendritic cells and inflammatory dermal dendritic cells in psoriatic skin », Br J Dermatol, vol. 165, no 4, , p. 792-801. (PMID 21623747, DOI 10.1111/j.1365-2133.2011.10430.x).
- ↑ Awakowicz P et al. Biological Stimulation of the Human Skin Applying Health-Promoting Light and Plasma Sources. Contributions to Plasma Physics. 2009; 49(9): 641- 647.
- ↑ Liebmann J, Born M, Kolb-Bachofen MV. Blue-Light Irradiation Regulates Proliferation and Differentiation in Human Skin Cells. Journal of Investigative Dermatology. 2010; 130: 259-269.
- 1 2 3 J.-C. Beani, M. Jeanmougin « La photothérapie UVB à spectre étroit dans le psoriasis vulgaire : utilisation pratique et préconisations de la Société française de photodermatologie » (revue de la littérature) Annales de dermatologie et de vénéréologie, vol. 137, no 1, janvier 2010, Pages 21-31 (résumé).
- ↑ Fischer M et al. Blue light irradiation suppresses dendritic cells activation in vitro. Experimental Dermatology. 2013; 22: 554-563.
- 1 2 Weinstabl A et al. Prospective randomized study on the efficacy of blue light in the treatment of psoriasis vulgaris. Dermatology. 2011; 223(3): 251-9.
- ↑ Pfaff S et al. Prospective Randomized Long-Term Study on the Efficacy and Safety of UV-Free Blue Light for Treating Mild Psoriasis Vulgaris. Dermatology. 2015; 231: 24-34.
- 1 2 3 4 5 David Farhi D, Dupin N. « Les biothérapies dans le traitement du psoriasis », La Presse médicale, 2009;38:832-843 .
- ↑ (en) Florent Amatore, Axel P Villani, Marie Tauber, Manuelle Viguier et Bernard Guillot, « French guidelines on the use of systemic treatments for moderate‐to‐severe psoriasis in adults », Journal of the European Academy of Dermatology and Venereology, vol. 33, no 3, , p. 464-483 (DOI 10.1111/jdv.15340)
- ↑ (en) Nast A. et al., « EuroGuiDerm Guideline on the systemic treatment of Psoriasis vulgaris – Part 1: treatment and monitoring recommendations », Journal of the European Academy of Dermatology and Venereology, vol. 34, no 11, , p. 2461-2498 (DOI 10.1111/jdv.15340)
- ↑ (en-US) « Investor relations - Bristol Myers Squibb », sur www.bms.com (consulté le )
- ↑ (en) Poulin Y, Bissonnette R, Juneau C et al. XP-828L in the treatment of mild to moderate psoriasis: randomized, double-blind, placebo-controlled study, J Cutan Med Surg. 2006 Sep-Oct;10(5):241-8.
- ↑ (en) Poulin Y, Pouliot Y, Lamiot E, Aattouri N, Gauthier SF Safety and efficacy of a milk-derived extract in the treatment of plaque psoriasis: an open-label study, J Cutan Med Surg. 2005 Dec;9(6):271-5).
- ↑ P. Dupont (2006) « Traitement du psoriasis par la lecithine marine » Phytotherapie, vol. 4, p. 15–22 [résumé en ligne].
- ↑ Dr Paul Dupont, « Intérêt de la lécithine marine (Pc-DHA) dans le psoriasis ».
- ↑ « HUMIRA », sur Haute Autorité de Santé (consulté le ).
- ↑ (en) Tyring S, Gottlieb A, Papp K, et al. Etanercept and clinical outcomes, fatigue, and depression in psoriasis: double-blind placebo-controlled randomised phase III trial, Lancet, 2006;367:29-35.
- ↑ Leonardi CL, Kimball AB, Papp KA et al. for the Phoenix 1 study investigators, Efficacy and safety of ustekinumab, a human interleukin-12/23 monoclonal antibody, in patients with psoriasis: 76-week results from a randomised, double-blind, placebo-controlled trial (PHOENIX 1), Lancet, 2008; 371:1665-1674.
- ↑ Griffiths CE, Reich K, Lebwohl M et al. Comparison of ixekizumab with etanercept or placebo in moderate-to-severe psoriasis (UNCOVER-2 and UNCOVER-3): results from two phase 3 randomised trials, Lancet, 2015;386:541-551.
- ↑ « COSENTYX (sécukinumab), immunosuppresseur anti-interleukine », sur Haute Autorité de Santé (consulté le ).
- ↑ « KYNTHEUM (brodalumab), immunosuppresseur inhibiteur d’interleukines », sur Haute Autorité de Santé (consulté le ).
- ↑ « Bimzelx: un traitement d’UCB contre le psoriasis approuvé dans l’UE », sur lavenir.net, .
- ↑ (en) « FDA Approves Bimekizumab for Moderate to Severe Plaque Psoriasis in Adults », sur medscape.com, .
- 1 2 (en) Anonymous, « Tremfya », sur European Medicines Agency, (consulté le ).
- 1 2 (en) Liina BUCKINGHAM, « Skyrizi », sur European Medicines Agency, (consulté le ).
- ↑ « ILUMETRI », sur VIDAL
- ↑ (en) Parisi R, Symmons DPM, Griffiths CEM, Ashcroft DM, « Identification and Management of Psoriasis and Associated ComorbidiTy (IMPACT) project team. Global epidemiology of psoriasis: a systematic review of incidence and the prevalence », Journal of Investigative Dermatology, vol. 133, no 2, , p. 377.
- ↑ (en) Danielsen K, Olsen AO, Wilsgaard T, Furberg AS, « Is the prevalence of psoriasis increasing ? A 30–year follow-up of a population–based cohort », British Journal of Dermatology, no 168, , p. 1303–1310.
- ↑ Lomholt G . Prevalence of skin disease in a population: A census study from the Faroe islands. Dan Med Bull1964;11:1–7.
- ↑ Green AC. Australian Aborigines and psoriasis. Australas J Dermatol1984;25:18–24.
- ↑ Investigation of the incidence of psoriasis amongst Latin-American Indians. In: Proceedings of 13th Congress on Dermatology. Amsterdam: Excerpta Medica, 1962:196.
- ↑ (en) Wolkenstein P, Revuz J, Roujeau JC, Bonnelye G, Grob JJ, Bastuji-Garin S, « Psoriasis in France and associated risk factors: results of a case-control study based on a large community survey », Dermatol Basel Switz, vol. 218, no 2, , p. 103–109.
- ↑ Henseler T, Christophers E, Psoriasis of early and late onset: characterization of two types of psoriasis vulgaris, J Am Acad Dermatol, 1985;13:450–456.
- ↑ Stacy Schiff, William Olivier Desmond (trad.), La grande improvisation. Benjamin Franklin, la France et la naissance des États-Unis, Paris, Grasset, 2006, (ISBN 9782246629610), p. 98.
- ↑ (en) World Psoriasis Day.
- ↑ (en) World Psoriasis Day, site de l'International Federation of Psoriasis Associations.
- ↑ « Tous unis face au psoriasis et au rhumatisme psoriasique ! - Association France Psoriasis », sur Association France Psoriasis (consulté le ).
- ↑ Association France Psoriasis, « Enquête inédite sur l’impact du pso dans la vie professionnelle », sur francepsoriasis.org, (consulté le )
- ↑ Marion Perroud, « "Parmesan", "gratounette"… Le calvaire des Français atteints de psoriasis au travail », sur challenges.fr, Challenges, (consulté le )
- 1 2 (en) Barbara S. Baker, From Arsenic To Biologicals : A 200 Year History Of Psoriasis, Garner Press, , 128 p. (ISBN 978-0-9551603-2-5, lire en ligne), p. 101-105.
- ↑ (en) John Updike, « AT WAR WITH MY SKIN », sur The New Yorker (consulté le ).
- ↑ Pascale Santi, « Le psoriasis, un combat de tous les jours », Le Monde.fr, (lire en ligne, consulté le ).
- ↑ Le 8 octobre 2012 à 07h00, « Non, le psoriasis, ce n'est pas honteux! », sur leparisien.fr, (consulté le ).
- ↑ Sam Blanchard, « Psoriasis caused 'suicidal thoughts and shame' for 20th century author », sur Mail Online, (consulté le ).
- ↑ (en) David Bianculli, « 25 Years Later, 'The Singing Detective' Still Shines », sur NPR.org, (consulté le ).
- ↑ (en) Mark Lawson, « Obituary: Dennis Potter », sur The Independent, (consulté le ).
Voir aussi
Articles connexes
Liens externes
- Ressources relatives à la santé :
- Ressource relative à la recherche :
- Notices dans des dictionnaires ou encyclopédies généralistes :
- France Psoriasis
- Infographie Psoriasis
- (en) Global report on PSORIASIS, rapport OMS 2016
- Portail de la médecine