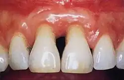
Récession parodontale
Une récession parodontale ou récession gingivale, plus couramment appelée déchaussement des dents, est une modification de la gencive au niveau du collet de la dent.
Les récessions gingivales ont de nombreux synonymes et sont également appelées dénudations radiculaires, récessions parodontales ou récessions tissulaires marginales.
Lors d'une récession, la gencive se rétracte, ce qui a pour conséquence que la racine se dénude.
La gencive et l'os disparaissent pour mettre à nu la racine. Le système d'attache est équivalent à ce qu'il est normalement, mais situé plus apicalement. Le problème peut être, ou non, compliqué d'une poche parodontale.

Étiologie
L'étiologie est complexe et nécessite souvent 2 conditions.
Facteurs prédisposant
- Absence d'épithélium kératinisé.
- Faibles épaisseur et hauteur de tissu kératinisé.
- Malposition dentaire (l'os ne recouvre pas bien la dent, d'où une gencive qui recouvre et se rétracte rapidement).
- Traction des freins et brides.
- Vestibule peu profond.
- Déhiscence osseuse (récession osseuse sous la gencive, liée à la finesse du parodonte).
- Fenestration osseuse.
- Table osseuse fine.
Ces facteurs sont pour la plupart anatomiques.
À noter qu'il existe différents types de morphologie du parodonte (Classification de Maynard et Wilson (1980)[1][source insuffisante]: type I, II, III, IV) et que le type IV (parodonte + os fins) est un parodonte prédisposé aux récessions parodontales.
Facteurs déclenchant
- Brossage traumatique[2]. Il faut éviter les brosses à dent mal adaptées, trop dures et adopter les brosses souples (ou électriques). Le traumatisme vient d'un geste trop violent, d'un brossage horizontal, de la durée ou de la fréquence des brossages.
- Inflammation chronique du parodonte[2] (voir maladie parodontale).
- Traumatisme occlusal[2] (interférences en latéralité).
- Déplacement orthodontique excessif ou mal contrôlé (hors des bases osseuses).
- Prothèse fixée mal adaptée (avec violation de l'espace biologique).
- Crochets, barres ou bandeaux compressifs en prothèse partielle amovible.
- Incision de décharge mal située (souvent en vestibulaire), ou extraction.
- Tabac et attitudes nocives : se ronger les ongles, piercing…
Les problèmes de récession sont aussi bien d'ordre esthétique que symptomatiques puisqu'ils sont à l'origine de douleur au froid, au contact ainsi que d'une hyperesthésie dentinaire ainsi qu'une hypersensibilité dentinaire provoquée par la mise à nu du cément.
Pathogénie de la récession
Sous l'effet d'un traumatisme ou d'une inflammation se forment des digitations acanthosiques au niveau de l'épithélium jonctionnel et en direction du conjonctif. Les digitations progressent sur la gencive, fine et étroite. On observe une réunion des digitations, une disparition du conjonctif et donc la création d'une fente qui s'élargit alors, en fonction de l'étiologie, du temps et de la position de la dent. Parfois, il y a création d'une fenestration gingivale, sorte de pont épithélio-conjonctif, qui survit quelque temps puis disparaît. Elle est alors suivie del'installation d'une forme de récession sous la fenestration.
Classification des récessions
Il existe de nombreuses classifications. Elles permettent de donner une orientation pour le diagnostic.
Classification tenant compte de la hauteur et de la largeur des récessions ([3]) : Il y a 4 catégories :
- récession de longueur inf à 3 mm et largeur inf à 3 mm
- récession de longueur sup à 3 mm et largeur inf à 3 mm
- récession de longueur inf à 3 mm et largeur sup à 3 mm
- récession de longueur sup à 3 mm et largeur sup à 3 mm
Les récessions de + de 3 mm de largeur sont très difficiles à recouvrir, de même que les récessions de + de 3 mm de longueur.
Classification de BENQUE[4] : Classification basée sur les formes de récessions.
- Récession en U (les + difficiles à recouvrir)
- Récession en V
- Récession en I (les + faciles à recouvrir)
Classification de MILLER[5]: Classification la plus utilisée actuellement
- Classe I : la récession n'atteint pas la ligne muco-gingivale et un recouvrement est possible à 100 %.
- Classe II : la récession atteint ou dépasse la ligne muco-gingivale et un recouvrement est possible à 100 % (surface importante, absence de tissu kératinisé à la base de la récession).
- Classe III : la récession est associée à une perte d'attache proximale et souvent à une parodontite. Le recouvrement à 100 % n'est plus envisageable car il y a une perte de la vascularisation, ce qui limite les possibilités de greffes et seul un recouvrement partiel sera possible.
- Classe IV : la dénudation radiculaire concerne plusieurs faces de la dent, la récession étant très importante. Il y a mise à nu radiculaire après parodontite ou son traitement ; le recouvrement est alors impossible.
Traitement
- Le traitement consiste généralement en une greffe gingivale. Celle-ci permet de renforcer la gencive, et ainsi de stopper l'évolution de la maladie.
- On peut effectuer une équilibration occlusale, si la récession est favorisée par des malpositions dentaires.
- Il est possible en cas de bruxisme nocturne de porter une gouttière durant la nuit, qui va absorber les forces occlusales excessives. Cette gouttière est réalisée au laboratoire dentaire, d'après une empreinte des dents du patient, sur laquelle est moulée une plaque en plastique.
- Un traitement faisant appel aux propriétés cicatrisantes de l'algue chlorella a également été invoqué, sous forme de poudre de cette algue appliquée sur les gencives, en laissant quelques minutes en bouche avant de rincer ou sous forme de solution de poudre de chlorella aspergée avec un compte-gouttes dans les interstices autour des dents[6].
Voir aussi
Notes et références
- ↑ Maynard JG Jr, Wilson RD. Physiologic dimensions of the periodontium significant to the restorative dentist. J Periodontol. 1979;50 :170-4
- 1 2 3 Ana Suzy Jati, Laurindo Zanco Furquim et Alberto Consolaro, « Gingival recession: its causes and types, and the importance of orthodontic treatment », Dental Press Journal of Orthodontics, vol. 21, no 3, , p. 18–29 (ISSN 2176-9451, PMID 27409650, PMCID PMC4944726, DOI 10.1590/2177-6709.21.3.018-029.oin, lire en ligne, consulté le )
- ↑ SULLIVAN et ATKINS 1968
- ↑ BENQUE (1969)
- ↑ MILLER (1985)
- ↑ Alpes info, février 2012, L'aluminium un danger, par Laure, p. 7
Liens externes
- Portail de la médecine