Rhabdomyocyte

Les rhabdomyocytes sont les cellules musculaires des muscles striés squelettiques[1]. Ils se forment par fusion de myoblastes, donnant des myotubes à noyaux centraux qui, sous l'effet de l'innervation [Comment ?] vont se différencier en myofibres (à noyaux périphériques). À la suite du processus de croissance, on assiste à l'augmentation de la taille des fibres (en longueur et en épaisseur par adjonction ce cellules satellites embryonnaires) donnant ainsi les cellules musculaires striées [réf. souhaitée].
Elles ont la caractéristique de comporter un grand nombre de noyaux (en moyenne 100) situés en périphérie du cytoplasme (sous la membrane plasmique) et de former ainsi les syncytiums [réf. souhaitée]. Ce sont les unités contractiles du muscle grâce à l'organisation de leurs myofilaments d'actine et de myosine à même de « glisser » les uns par rapport aux autres, sous l'impulsion d'un influx nerveux.
Les rhabdomyocytes sont de grandes cellules, ayant un diamètre variant de 10 à 100 micromètres pour une longueur de 1 à 5 cm[2].
Description
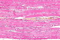
Les cellules musculaires (myocytes) des muscles squelettiques ont certaines caractéristiques dont celle de posséder 40 à 500 noyaux. Elles sont organisées en faisceaux séparés par des cloisons de tissu conjonctif : l'endomysium à l'intérieur des faisceaux et le perimysium autour de chaque faisceau (dans lequel on retrouve des fibres réticulaires, des vaisseaux sanguins et lymphatiques). Chaque fibre possède un diamètre de 10 à 100 microns, évidemment sa longueur peut varier en fonction du lieu où elle est fixée.
Les myocytes sont limités par le sarcolemme, constitué d'une membrane plasmique et d'une lame basale. Chaque fibre musculaire apparaît par fusion de plusieurs cellules musculaires (c'est un syncytium). Une fibre musculaire a donc plusieurs noyaux, dont le nombre dépend de l'activité musculaire. Ces noyaux, ovoïdes, sont situés en périphérie de la cellule, sous le sarcolemme. À proximité des noyaux, on trouve des vacuoles lipidiques et des vacuoles de myoglobine (qui donnent leur couleur rouge aux muscles). Le cytoplasme (appelé sarcoplasme dans les cellules musculaires) est abondant : les myofibrilles (unités contractiles du muscle) y sont assemblées en colonnettes dites de Leydig (stries latérales lorsqu'on observe au microscope). Elles occupent 80 % du volume des myocytes.
Les myofibrilles sont composées de filaments épais (composés de myosine) et de filaments fins (composés d'actine, de troponine et de tropomyosine). En coupe longitudinale, les myofibrilles présentent une striation transversale due à la présence de zones claires et de zones sombres :
- la zone sombre est la bande A (pour anisotrope), qui résulte de la condensation de molécules de myosine (environ 300 molécules de myosine par filament) ;
- une zone médiane plus claire : la zone H (hell qui signifie clair en allemand), qui résulte d'un aménagement particulier de la myosine, en forme de crosse de hockey (avec une tête et une tige). Les tiges se recouvrent les unes les autres, les têtes se regroupent en hélice pour former la strie M (Mittelscheibe signifie littéralement « tranche/coupe du milieu » en allemand) ;
- la bande I (pour isotrope), divisée en 2 par la strie Z (Zusammen signifie « ensemble » en allemand, elle correspond en effet à la jonction entre deux sarcomères), est constituée par 3 autres protéines contractiles disposées en filaments fins.
La strie Z sépare deux sarcomères (qui sont les unités fonctionnelles contractiles). Un sarcomère est composé d'une demi-bande I, d'une bande A et d'une deuxième demi-bande I. Les myofilaments fins s'intercalent entre les myofilaments épais, sauf au niveau de la strie Z (constituée de myofilaments fins seulement) et la strie H (constituée uniquement de tiges de myosine). Lors de la contraction, le sarcomère se raccourcit (de 20 à 50 %), les zones I et H se rétrécissent, alors que la zone A reste inchangée. Les filaments fins glissent entre les filaments épais vers la ligne médiane du sarcomère, et attirent la strie H. Il y a aussi une autre strie appelée M qui se situe au milieu de la zone H. Cette strie M est constituée de ponts protéiques qui vont réunir les myofilaments épais et jouer un rôle de cohésion.
Nomenclature
On distingue plusieurs types de fibres dans un muscle strié squelettique :
- les fibres S (slow) ou fibres I : ce sont les premières à se contracter, elles ne développent pas une force importante, mais elles peuvent rester contractées longtemps. Les myocytes de type I (muscle lent, cellules aérobies) sont très riches en mitochondries qui apportent l'énergie nécessaire à la contraction sous forme d'ATP. Elles sont également riches en myoglobine, capable de fixer l'oxygène plus fortement que l'hémoglobine, et qui leur donne une couleur rouge caractéristique. Ce sont les fibres de l'endurance, elles sont fines et développées lors de la pratique du cyclisme et du VTT entre autres. Elles n'ont qu'un faible potentiel hypertrophique ;
- les fibres FR (fast and resistant) ou fibres IIa : elles développent une force plus importante mais se fatiguent plus vite ;
- les fibres FF (fast and fatigable) ou fibres IIx : ce sont les fibres développant la force musculaire la plus importante mais elles se fatiguent très vite, elles sont donc mises en jeu lors d'un effort important et ponctuel comme un saut. Les myocytes de type II (muscle rapide, cellules anaérobies) sont plus pauvres en mitochondries et en myoglobine. Elles sont par contre beaucoup plus riches en glycogène et en enzyme glycolytiques d'où une couleur blanche. Elles peuvent facilement développer une hypertrophie.
Innervation
Les neurones qui stimulent le muscle pour qu'il se contracte sont des neurones moteurs. Il existe également des neurones sensitifs qui vont renseigner le système nerveux sur l'état de contraction du muscle, son état de fatigue. Les neurones moteurs abordent la fibre musculaire au niveau d'une zone particulière appelée la plaque motrice, c'est là que se fait la transmission neuromusculaire.
Constitution chimique
Les muscles sont constitués principalement d'eau (75 %), d'éléments minéraux (sodium, potassium, calcium) et de protéines : la myoglobine et de deux protéines essentielles à la contraction : l'actine et la myosine.
Embryologie
Les myoblastes sont les cellules précurseurs des muscles. Durant la gestation puis l'enfance ou durant une guérison à la suite d'une lésion, ces cellules se divisent et fusionnent entre elles pour former des myotubes. Ce sont des cellules longues et plurinucléaires (plusieurs noyaux). Les myotubes synthétisent ensuite les protéines contractiles (actine et myosine) et se transforment en myocytes. Les myocytes sont plus ou moins longs suivant le muscle (ils peuvent atteindre 35 cm de long) et ont un diamètre de 10 à 100 micromètres. Les noyaux sont repoussés à la périphérie de la cellule et la majorité du cytoplasme est occupé par les protéines contractiles et le réticulum sarcoplasmique. Les myocytes ne peuvent pas se diviser mais grandissent en augmentant le volume du cytoplasme. Dans un muscle adulte le nombre de myoblastes (ou cellules satellites) est limité, ils ne jouent plus qu'un rôle de réparation des myocytes lésés à la suite d'efforts d'intensité ou de durée inhabituelles.
Notes et références
- ↑ « FMPMC-PS - Histologie : les tissus - Niveau PAES », sur www.chups.jussieu.fr (consulté le )
- ↑ « Les différents types de muscles - muscle strié squelettique », sur Institut de myologie
Pages connexes
- Portail de la biologie cellulaire et moléculaire
- Portail de l’anatomie