Spondylodiscite

Spondylodiscite
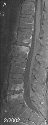
Description de cette image, également commentée ci-après
Spondylodiscite due à Tropheryma whipplei. IRM en T1 montrant des lésions (plus claires) de spondylodiscite sur les vertèbres L1, L2, L4 et L5, touchant également les disques intervertébraux.
Traitement
Spécialité Rhumatologie
Classification et ressources externes
CIM-9 721.90
MeSH D013166

Wikipédia ne donne pas de conseils médicaux Mise en garde médicale

La spondylodiscite, également appelée discospondylite désigne l'infection d'un disque intervertébral et des corps vertébraux adjacents. Il s'agit d'une urgence médicale qui nécessite une prise en charge rapide et une antibiothérapie longue (6 à 12 semaines).

Signes de la maladie

  • Douleurs inflammatoires du rachis, aggravées par la mobilisation, avec raideur et douleur exquise à la palpation.
  • Déformation rachidienne.
  • Signes infectieux inconstants.

Mode de contamination

  • Voie hématogène, au décours d'une bactériémie ou d'une septicémie. C'est le mode de contamination le plus fréquent.
  • Inoculation directe, au décours d'une ponction lombaire ou d'un geste chirurgical.

Épidémiologie

On retrouve deux pics de fréquence : un lors de l'adolescence et un autre vers 60 ans. On constate également une légère prédominance masculine[1].

Bactériologie

Dans plus de 50 % des cas, le germe responsable est un staphylocoque :

En deuxième place viennent les bacilles à Gram négatif, responsables d'environ 15 % des spondylodiscites.

Le bacille de Koch (Mycobacterium tuberculosis), reste une cause exceptionnelle de spondylodiscite, se voyant chez les malades présentant une tuberculose évoluée (migrants, immunodéprimés, etc.), et prenant alors le nom de mal de Pott.

Examens et analyses

La radiologie standard

On recherche :

  • le pincement d'un disque ;
  • des encoches au niveau des plateaux vertébraux en regard du disque ;
  • un abcès au niveau des parties molles (image en fuseau).

Le scanner (avec injection)

Effectué de façon systématique pour faire le bilan complet des lésions et/ou pour faire une ponction de l'abcès guidée par scanner. Outre les signes observés en radiologie standard, il existe une hypodensité discale évocatrice. Il est plus sensible que la radiographie standard.

La médecine nucléaire

Un foyer de fixation anormal visible à la scintigraphie osseuse et confirmé avec la scintigraphie au Gallium 67 peut permettre de mettre en évidence la présence de cette infection.

L'IRM

Effectué lorsque la scintigraphie osseuse montre un foyer de fixation, mais que les radiologies standards sont normales (souvent en début de maladie). On recherches les mêmes signes qu'en radiologie standard.

Analyse bactériologique de l'abcès

Quel que soit le germe, les signes sont les mêmes. L'analyse bactériologique permettra d'adapter les traitements en fonction du germe trouvé.

Évolution de la maladie

Un corset est proposé pour immobiliser les vertèbres et les disques atteints durant le traitement antibiotique. Il a principalement un rôle antalgique. S'il n'y pas de traitement, il y a formation de « blocs vertébraux ».

Notes et références

  1. Dictionnaire des maladies par le Dr Prudhomme et le Pr d'Ivernois
  • icône décorative Portail de la médecine