Syndrome 5q-

Le syndrome 5q- est une forme particulière de myélodysplasie[1].

Syndrome 5q-
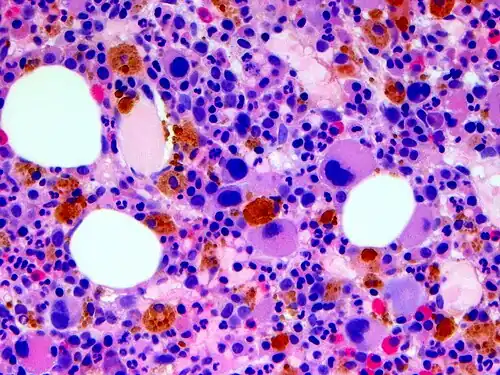
Description de cette image, également commentée ci-après
Microphotographie de moelle osseuse montrant les mégacaryocytes mononucléaires anormaux caractéristiques du syndrome 5q-.
Traitement
Médicament (RS)-lénalidomide
Spécialité Hématologie
Classification et ressources externes
ICD-O 9986/3
OMIM 153550
DiseasesDB 34573
MeSH C535323

Wikipédia ne donne pas de conseils médicaux Mise en garde médicale

C'est une myélodysplasie de faible risque qui se caractérise par une délétion d'une partie du bras long du chromosome 5 (délétion 5q31 et 5q33) dans les cellules mères de la moelle osseuse. Une anémie profonde, ne répondant pas à des traitements par fer ou par vitamines ("anémie réfractaire"), en est le signe principal, la majorité des patients deviennent dépendants de transfusions de globules rouges.

Elle ne doit pas être confondue avec la maladie du cri du chat, qui est causée par une délétion du bras court du chromosome 5.

Présentation

Le syndrome 5q- touche surtout les femmes à partir de 60 ans. Il est souvent révélé par une anémie macrocytaire, pouvant être accompagnée par une thrombocytose importante (jusqu'à 1000 G/l). Les progéniteurs des plaquettes, les mégacaryocytes, sont malformés (dysplasiques). L'aspect au myélogramme du syndrome 5q- décrit des mégacaryocytes géants et monolobés.

Physiopathologie

La délétion 5q implique les régions 5q31 et 5q33, avec comme conséquence une haplodéficience RPS14 et activation P53. Il en résultera une apoptose (mort accélérée des progéniteurs des globules rouges (érythropoïèse inefficace)[2],[3].

Pour qu'il s'agisse bien d'un syndrome 5q- il faut que cette anomalie soit isolée, c'est-à-dire que cette anomalie doit être la seule et le nombre de blastes (cellules immatures) doit être inférieur à 5 %.

Traitement

L'anémie chronique conduit à recourir à des transfusions itératives. Ces transfusions mènent à une surcharge en fer pouvant résulter en une insuffisance cardiaque. Il y a aussi risque d'évolution vers une leucémie.

Le traitement par lenalidomide (qui induit une dégradation de P53) permet d'abolir les besoins en transfusions de globules rouges chez 67 % des patients, et de réduire les besoins transfusionnels chez 9 % de patients supplémentaires. La médiane de la durée d'indépendance aux transfusions dépasse deux ans[4].

Pronostic

La plupart des patients ont une maladie stable avec une dépendance à la transfusion. Comme toutes les myélodysplasies, ce syndrome peut s'acutiser en leucémie aigüe myéloïde

Notes et références

  1. (en) 9986/3: Myelodysplastic syndrome with 5q- syndrome (M-99863), cancer genome data @ progenetix.org
  2. (en) Gaballa MR, Besa EC, « Myelodysplastic syndromes with 5q deletion: pathophysiology and role of lenalidomide », Ann Hematol, 2014, 93, p. 723 - 733
  3. (en) Sokal G, Michaux JL, Van den Berghe H, Cordier A, Rodhain J, Ferrant A, MoriauM, De Bruyère M, Sonnet J., « A new hematological syndrome with a distinct karyotype: the 5q- chromosome », Blood, , p. 46:519-533
  4. (en) List A, Dewald G, Bennett J, Giagounidis A, Raza A, Feldman E, Powell B, Greenberg P, Thomas D, Stone R, Reeder C, Wride K, Patin J, Schmidt M, Zeldis J, Knight R., « Lenalidomide in the myelodysplastic syndrome with chromosome 5q deletion. », N Engl J Med, , p. 355:456-65

Liens externes

  • (en) 5q- syndrome, sur le Genetic and Rare Diseases Information Center (GARD)
  • icône décorative Portail de l’hématologie