Syndrome XYYY

Syndrome XYYY
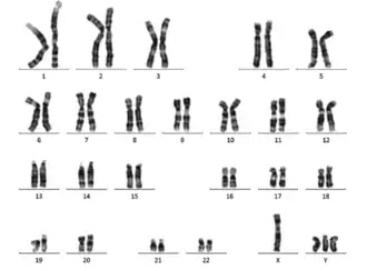
Description de cette image, également commentée ci-après
Caryotype du syndrome XYYY.
Causes Aneuploïdie
Début habituel Conception
Durée A vie
Traitement
Diagnostic Caryotype
Spécialité Génétique médicale
Classification et ressources externes

Wikipédia ne donne pas de conseils médicaux Mise en garde médicale

Le syndrome XYYY, également connu sous le nom de 48,XYYY, est un trouble chromosomique dans lequel un homme a deux copies supplémentaires du chromosome Y. Le syndrome est exceptionnellement rare, avec seulement douze cas enregistrés. Le phénotype du syndrome est hétérogène, mais semble plus sévère que son homologue le syndrome XYY . Les signes habituels sont un fonctionnement intellectuel limité parfois léger, l'infertilité, la synostose radio-ulnaire et, dans certains cas, une grande taille[1].

Notes et références

  1. Maryam Abedi, Arash Salmaninejad et Ebrahim Sakhinia, « Rare 48, XYYY syndrome: case report and review of the literature », Clinical Case Reports, vol. 6, no 1, , p. 179–184 (ISSN 2050-0904, PMID 29375860, PMCID 5771943, DOI 10.1002/ccr3.1311, lire en ligne, consulté le )
  • icône décorative Portail de la médecine