Syndrome de Reye

Syndrome de Reye
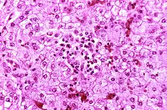
Description de l'image Reye's syndrome liver-histology.jpg.
Causes Acide acétylsalicylique
Traitement
Médicament Perphénazine
Spécialité Neurologie
Classification et ressources externes
CIM-10 G93.7
CIM-9 331.81
DiseasesDB 11463
MedlinePlus 001565
eMedicine 803683
MeSH D012202
Patient UK Reyes-syndrome

Wikipédia ne donne pas de conseils médicaux Mise en garde médicale

Le syndrome de Reye est un syndrome potentiellement mortel qui apparaît dans la majeure partie des cas après administration d'acide acétylsalicylique lors d'une infection virale[1],[2]. Elle entraîne de nombreux effets nocifs à divers organes, en particulier pour le cerveau et le foie.

Celui-ci doit son nom au Dr Ralph Douglas Reye, qui co-publia en 1963 (avec le Dr George Johnson) la première étude sur le syndrome, mais la maladie fut pour la première fois décrite en tant que telle en 1929[Par qui ?][citation nécessaire].

Causes

La cause du syndrome de Reye est inconnue ; cependant, on a observé un lien avec l'utilisation d'aspirine ou d'autres salicylates chez des enfants et adolescents atteints d'une maladie virale telle la grippe, la varicelle, les oreillons, ou le rhume. C'est principalement à cause de ce risque accru de syndrome de Reye que l'usage de l'acide acétylsalicylique (aspirine) est déconseillé en dessous de l'âge de 16 ans. Quelques cas ont été décrits sous certains anti-inflammatoires non stéroïdiens (AINS)[2].

En 1980, des études menées par Starko dans l’Ohio, le Michigan et l’Arizona ont montré que l’aspirine était utilisée au cours d’une infection des voies respiratoires supérieures et de varicelle en tant qu’indicateurs potentiels du syndrome. Une diminution de l'utilisation d'aspirine chez les enfants au cours des années 1980 s'est traduite par une diminution correspondante du nombre de cas de syndrome de Reye, de manière spectaculaire chez les enfants de moins de 10 ans. Cependant, il convient de noter qu'une diminution du nombre de cas a également été observée dans les pays où l'aspirine pour enfants est encore utilisée. D'autres études de cas ont révélé que 19 virus associés à des salicylates, des pesticides et à l'aflatoxine étaient des facteurs pouvant contribuer à la maladie.

Symptômes

Les symptômes du syndrome de Reye sont principalement des vomissements, avec ou sans signes de déshydratation, une encéphalopathie chez un patient apyrétique avec ou sans ictère, et une hépatomégalie chez 50 % des patients.

Lovejoy a décrit initialement 5 stades cliniques à la maladie, de I à V[3], Hurwitz modifia cette classification en ajoutant un stade asymptomatique 0 (stade 0-5). Les Centres pour le contrôle et la prévention des maladies (CDC) utilisent la classification de Hurwitz en y ajoutant le stade 6. Voici la classification utilisée le plus souvent[4] :

  • Stade 0 : Phase d'alerte, histoire de la maladie et résultats biologiques évocateurs d'un syndrome de Reye, pas de manifestation clinique ;
  • Stade 1 : Vomissement ou nausées persistantes, somnolence, léthargie. Les enfants de moins de 2 ans pouvant ne présenter qu'une diarrhée ou une hyperventilation ;
  • Stade 2 : Hyperactivité, irritabilité, combativité, désorientation, délirium, tachycardie, hyperventilation, mydriase, réflexes ostéotendineux (ROT) vifs, signe de Babinski positif, réponse appropriée au stimuli nociceptifs ;
  • Stade 3 : Coma, décortication, réponse inappropriée aux stimuli nociceptifs ;
  • Stade 4 : Coma profond, décérébration, mydriase non réactive, perte des réflexes oculo vestibulaires ;
  • Stade 5 : Paralysie flasque, abolition des réflexes ostéotendineux, pas de réponse pupillaire, arrêt respiratoire ;
  • Stade 6 : Patients ne pouvant être classés ailleurs car ayant reçu du curare ou des produits altérant la conscience.

Le syndrome de Reye se développe en deux étapes :

  • Étape I :
    • Vomissements et/ou nausées persistantes ou continues, sauf chez les enfants de moins de deux ans ;
    • Apparition d'un dysfonctionnement cérébral : inattention, perte d'énergie, léthargie, vertiges.
  • Étape II :

Un diagnostic précoce est vital, autrement la mort ou d'autres atteintes cérébrales graves peuvent se présenter.

Diagnostic

La maladie provoque une stéatose hépatique avec une inflammation minimale et une encéphalopathie sévère (avec gonflement du cerveau). L'ictère n'est pas habituellement présent. Le foie peut devenir légèrement agrandi et ferme, et l'apparence des reins se modifie.

Les critères diagnostiques utilisés par le CDC sont les suivants :

Pronostic

Chez les adultes qui survivent à la maladie aiguë, la guérison est généralement complète, les fonctions hépatique et cérébrale étant redevenues normales dans les deux semaines suivant la maladie[citation nécessaire]. Chez les enfants cependant, des lésions cérébrales permanentes sont possibles, en particulier chez les nourrissons, et peuvent aller de légères à graves.

La mortalité de cette maladie est passée de 50 % à moins de 20 %, grâce à un diagnostic précoce, à la reconnaissance des cas atypiques et à un traitement agressif. Le décès est généralement dû à l'œdème cérébral ou l'hypertension intracrânienne. Il peut être également causé par un dysfonctionnement myocardique, un collapsus cardiovasculaire, une détresse respiratoire, une insuffisance rénale aiguë, une hémorragie, un mal épileptique, un sepsis. Les patients qui survivent peuvent obtenir une guérison complète, même si des séquelles neurologiques sont fréquentes.

Diagnostic différentiel

Parmi les causes de symptômes similaires, citons :

Chez les enfants :

Épidémiologie

Alors que le syndrome de Reye est considéré comme une maladie infantile, un pourcentage de plus en plus élevé des cas apparaît maintenant chez des adolescents et des adultes, où il est souvent confondu avec une consommation excessive d'alcool ou autre drogue. Des facteurs autres qu'une infection virale et des salicydes sont suspectés de la maladie, alors que plus de 90 % des patients admis dans des hôpitaux aux États-Unis atteints du syndrome de Reye ont pris de l'aspirine pour traiter les symptômes d'une infection virale, moins de 0,1 % des enfants dont les infections virales ont été traitées avec de l’aspirine développent le syndrome. Le syndrome semble également avoir un facteur familial, avec une probabilité beaucoup plus grande de développer cette maladie lorsqu'un membre de la famille en est atteint.

Aux États-Unis, l'incidence de décès chez les patients admis atteints du syndrome de Reye est tombée de plus de 40 % à entre 20 et 30 %. Toutefois, l’incidence des décès a encore augmenté au cours des années 1990 (52 % en 1996). Les centres de contrôle et de prévention spéculent que cela peut être dû à une baisse d'intérêt pour la maladie.

Environ 10 % des enfants atteints de ce syndrome ont présenté une varicelle dans les jours qui ont précédé, et dans 10 % des cas c'était une grippe due au virus influenza B.

Syndrome de Reye-Sheehan

Il ne faut pas confondre le syndrome de Reye avec le syndrome de Reye-Sheehan qui est une ischémie thrombotique de l'hypophyse.

Références

  1. Karsten Schrör, « Aspirin and Reye syndrome: A review of the evidence », Paediatric Drugs, vol. 9, no 3, , p. 195–204 (ISSN 1174-5878, PMID 17523700, DOI 10.2165/00148581-200709030-00008, lire en ligne, consulté le )
  2. 1 2 (en) Claudia A Chiriboga et Marc C Patterson, « Acute toxic-metabolic encephalopathy in children : Reye syndrome » Accès payant, sur www.uptodate.com, (consulté le )
  3. (en) F H Lovejoy, M J Bresnan, C T Lombroso, A L Smith, « Anticerebral oedema therapy in Reye's syndrome », Archives of Disease in Childhood, vol. 50, no 12, , p. 933-937 (ISSN 1468-2044, PMID 1220606, DOI 10.1136/adc.50.12.933, lire en ligne, consulté le )
  4. (en) eMedicine – Pediatrics, Reye Syndrome : Article by Debra L Weiner, MD, PhD

Liens externes

  • icône décorative Portail de la médecine