Syndrome de Susac

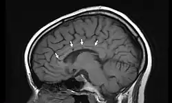
IRM d'une patiente atteinte du syndrome de Susac montrant les « trous » du corps calleux associés à la régression des symptômes (flèches).

Le syndrome de Susac est une microangiopathie associant une atteinte des vaisseaux de la rétine, de la cochlée et du cerveau.

Historique

Il a été décrit par John O. Susac en 1979[1].

Origine

Il s'agit d'une maladie auto-immune[2], avec présence d'anticorps anti-cellules endothéliales[3].

Description

Il associe une occlusion d'une branche de l'artère centrale de la rétine, des troubles de l'audition et des signes neurologiques variés[2].

L'IRM cérébrale montre des anomalies de la substance blanche ainsi qu'au niveau du corps calleux[4].

Diagnostic différentiel

Les formes atypiques de la maladie peuvent le faire confondre avec une sclérose en plaques[5].

Traitement

Il repose sur les corticoïdes et l'injection d'immunoglobulines. Dans les formes sévère, un traitement par immunosuppresseurs peut être proposé[6].

Notes et références

  1. Susac JO, Hardman JM, Selhorst JB, Microangiopathy of the brain and retina, Neurology, 1979;29:313-316
  2. 1 2 Dörr J, Krautwald S, Wildemann B et al. Characteristics of Susac syndrome: a review of all reported cases, Nat Rev Neurol, 2013;9:307-316
  3. Magro CM, Poe JC, Lubow M, Susac JO, Susac syndrome: an organ-specific autoimmune endotheliopathy syndrome associated with anti-endothelial cell antibodies, Am J Clin Pathol, 2011;136:903-912
  4. Susac JO, Murtagh FR, Egan RA, et al. MRI findings in Susac’s syndrome, Neurology, 2003;61:1783-1787
  5. Buzzard KA, Reddel SW, Yiannikas C, Sean Riminton D, Barnett MH, Hardy TA, Distinguishing Susac’s syndrome from multiple sclerosis, J Neurol, 2015;262:1613-1621
  6. Egan RA, Diagnostic criteria and treatment algorithm for Susac syndrome, J Neuroophthalmol, 2018
  • icône décorative Portail de la médecine