Tamponnade cardiaque
| Causes | Cancer, insuffisance rénale, traumatisme thoracique, péricardite, tuberculose |
|---|---|
| Début habituel | Rapide ou graduel |
| Symptômes | Tachycardie, dyspnée, vertige et toux |
| Complications | choc cardiogénique, arrêt cardiaque |
| Diagnostic | Symptômes et signes échographiques |
|---|---|
| Traitement | Drainage = péricardiocentèse |
| Spécialité | Cardiologie |
| Fréquence | 2 pour 10 000 par an |
|---|
| MedlinePlus | 000194 |
|---|---|
| eMedicine | 156951 |
| MeSH | D002305 |
| Patient UK | Cardiac-tamponade |
Mise en garde médicale
La tamponnade cardiaque (également connue sous le nom de tamponnade péricardique ou simplement tamponnade) est un état de compression du cœur qui résulte de l'accumulation de liquide dans le péricarde[1]. Son début peut être rapide ou progressif[1]. Les symptômes sont typiquement ceux d'un choc obstructif à savoir un essoufflement, une faiblesse, des étourdissements et une toux [2]. D'autres symptômes peuvent survenir en lien avec la cause sous-jacente.
Les causes les plus courantes de tamponnade sont les cancers, l'insuffisance rénale très avancée ou terminale, les traumatismes thoraciques, l'infarctus du myocarde et les péricardites[1],[3]. Moins souvent, une tamponnade peut résulter d'une hypothyroïdie, d'une maladie auto-immune et/ou des tissus conjonctifs, d'une rupture aortique (par exemple traumatique ou compliquant une dissection de l'aorte proximale), ou compliquer l'évolution post-opératoire précoce d'une chirurgie cardiaque[1],[4]. En Afrique, l'atteinte péricardique de la tuberculose est une cause relativement fréquente de tamponnade[2].
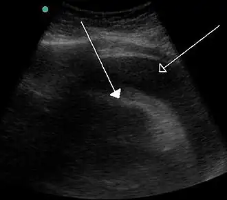
Le diagnostic peut être suspecté sur la base d'une hypotension artérielle, d'une turgescence jugulaire et d'une diminution des bruits cardiaques (triade de Beck [1],[2],[5], rare en pratique[6]). Un frottement péricardique est possible en cas de péricardite[1]. L'échocardiographie est de loin l'examen complémentaire le plus utile car elle confirme rapidement la suspicion clinique et permet une évaluation simple et fiable de la gravité. Dans une moindre mesure, certaines anomalies de l'électrocardiogramme (ECG) et de la radiographie du thorax peuvent contribuer au diagnostic[1]. L'apparition d'une tamponnade est étroitement liée à la vitesse d'installation de l'épanchement péricardique. S'il augmente lentement, le sac péricardique peut se dilater sans comprimer les cavités cardiaques, jusqu'à contenir plus de deux litres dans les cas extrêmes ; si l'augmentation est rapide, un épanchement de 200 mL peut suffire à entraîner une tamponnade[1].
La tamponnade est une urgence médicale[3]. Dès lors qu'elle est symptomatique, l'évacuation de l'épanchement s'impose[7]. On peut procéder par une ponction à l'aiguille (péricardiocentèse éventuellement complétée d'un drainage péricardique) ou chirurgicalement, en créant une ouverture dans le péricarde pour drainer le liquide (fenêtre péricardique) ou en réséquant la membrane péricardique plus ou moins complètement (péricardectomie)[1]. Ces gestes peuvent aussi servir au diagnostic d'une infection ou d'un cancer[7]. Le traitement peut aussi comporter un remplissage vasculaire si le volume sanguin est insuffisant, voire un support inotrope par dobutamine[2]. En l'absence de symptômes et de signes d'alerte (notamment échographiques), l'abstention thérapeutique est possible sous couvert d'une surveillance rapprochée[1]. La fréquence de la tamponnade est mal connue[8]. Une estimation aux États-Unis la situe à 2 pour 10 000 habitants par an[9].
Signes et symptômes
Le début peut être rapide (aigu) ou plus progressif (subaigu)[1]. Les signes de tamponnade cardiaque comprennent généralement ceux d'un choc cardiogénique, notamment la dyspnée, la faiblesse, les étourdissements, la toux [2] et ceux de la triade de Beck, par exemple la turgescence de la veine jugulaire, la diminution des bruits cardiaques et l'hypotension artérielle. D'autres symptômes peuvent être liés à la cause sous-jacente[2].
D'autres signes généraux de choc (tels qu'une tachycardie, une dyspnée et une diminution du niveau de conscience) peuvent également survenir. Cependant, certains de ces signes peuvent ne pas être présents dans certains cas. La tachycardie, bien qu'attendu, peut être absente chez les personnes souffrant d'hyperurémie et/ou d'hypothyroïdie[2].
L’HVG et l’hypervolémie retardent les signes cliniques alors que l’hypovolémie accentue les signes[10].
Chez un patient en état de choc, le recours à l'échographie peut permettre de diagnostiquer un épanchement péricardique[10].
Un épanchement « asymptomatique » découvert à l'échographie nécessite une analyse rigoureuse des images bidimensionnelles et des variations respiratoires des flux doppler afin d'apprécier le risque de tamponnade[10].
Causes
La tamponnade cardiaque est causée par un épanchement péricardique important ou incontrôlé, c'est-à-dire l'accumulation de liquide à l'intérieur du péricarde[11]. Cela survient généralement à la suite d'un traumatisme thoracique (à la fois contondant et pénétrant)[12] mais cet épanchement peut également être causé par un infarctus du myocarde, une rupture du myocarde de l'aorte, un cancer (le plus souvent un lymphome de Hodgkin), une hyperurémie, une péricardite ou une chirurgie cardiaque[11]. La tamponade survient rarement lors de la dissection aortique rétrograde[13] ou lors de la prise d'un traitement anticoagulant[14]. L'épanchement peut survenir rapidement (comme dans le cas d'un traumatisme ou d'une rupture du myocarde) ou sur une période plus progressive (comme dans le cas d'un cancer). Le liquide en cause est souvent du sang, mais du pus est également présent dans certaines circonstances[11].
Opération chirurgicale
L'un des paramètres les plus courants pour la tamponnade cardiaque se situe dans les sept premiers jours après une chirurgie cardiaque[15]. Après une chirurgie cardiaque, des drains thoraciques sont mis en place pour drainer le sang. Ces drains thoraciques, cependant, sont sujets à la formation de caillots. Lorsqu'un drain thoracique s'obstrue, le sang ne peut plus être drainé et peut s'accumuler autour du cœur, entraînant une tamponnade[16].
Physiopathologie

Le péricarde est un sac à double paroi contenant le cœur et les racines des gros vaisseaux sanguins. Il se compose d'une couche de péricarde fibreux à l'extérieur et d'un péricarde séreux à double couche à l'intérieur[17]. Entre les deux couches du péricarde séreux se trouve l'espace péricardique, qui est rempli de liquide séreux lubrifiant qui empêche la friction lorsque le cœur se contracte[18]. La couche externe du cœur est constituée de tissu fibreux[19] qui ne s'étire pas facilement, donc une fois que l'excès de liquide commence à pénétrer dans l'espace péricardique, la pression commence à augmenter[11]. Par conséquent, le cœur se comprime en raison de son incapacité à se détendre complètement.
Si le liquide continue de s'accumuler, chaque période diastolique successive conduit à moins de sang entrant dans les ventricules. Finalement, l'augmentation de la pression sur le cœur force le septum à se plier vers le ventricule gauche, entraînant une diminution du volume d'éjection systolique[11]. Cela provoque le développement d' un choc obstructif qui, s'il n'est pas traité, peut entraîner un arrêt cardiaque (se présentant souvent comme une activité électrique sans pouls )[20]. La diminution du volume d'éjection systolique peut également entraîner une diminution du débit cardiaque, qui pourrait être signalée par une tachycardie et une hypotension.
Diagnostic
Les trois signes classiques, connus sous le nom de triade de Beck, sont hypotension artérielle, une turgescence jugulaire et des bruits cardiaques étouffés[21]. D'autres signes peuvent inclure un pouls paradoxal (une chute d'au moins 10 mmHg de la pression artérielle à l'inspiration)[11] et des modifications du segment ST sur l'électrocardiogramme[21] qui peuvent également montrer des complexes QRS microvoltés[14].
Imagerie médicale
La tamponnade peut souvent être diagnostiquée par radiographie. L'échocardiographie, qui est le test diagnostique majeur, montre souvent un péricarde élargi ou des ventricules affaissés. Une tamponnade cardiaque importante se manifestera par un cœur élargi de forme globulaire sur la radiographie pulmonaire. Pendant l'inspiration, la pression négative dans la cavité thoracique entraînera une augmentation de la pression dans le ventricule droit. Cette pression accrue dans le ventricule droit provoquera un renflement du septum interventriculaire vers le ventricule gauche, entraînant une diminution du remplissage du ventricule gauche. Dans le même temps, le volume du ventricule droit est nettement diminué et parfois il peut s'effondrer[14].
Diagnostic différentiel
Le diagnostic initial de tamponnade cardiaque peut être difficile, car il existe de nombreux diagnostics différentiels. Le diagnostics repose sur les symptômes, l'évolution dans le temps, le mécanisme de la blessure, les antécédents du patient. La tamponnade cardiaque d'apparition rapide peut également ressembler à un épanchement pleural, un choc, une embolie pulmonaire et un pneumothorax compressif[12].
Si les symptômes sont apparus plus progressivement, le diagnostic différentiel inclut l'insuffisance cardiaque aiguë.
Chez une personne traumatisée présentant une dissociation électromécanique en l'absence d'hypovolémie et de pneumothorax sous tension, le diagnostic le plus probable est la tamponnade cardiaque[22].
Traitement
Soins pré-hospitaliers
Le traitement initial administré sera généralement de nature symptomatique, par exemple l'administration d'oxygène et la surveillance. Il y a peu de soins qui peuvent être prodigués avant l'hospitalisation autres que le traitement général du choc.
Un diagnostic et un traitement rapides sont la clé de la survie avec la tamponnade. Certains personnels préhospitaliers disposeront d'installations pour effectuer une péricardiocentèse, ce qui peut sauver des vies. Si la personne a déjà subi un arrêt cardiaque, la péricardiocentèse ne peut à elle seule assurer la survie, et une évacuation rapide vers un hôpital est donc généralement recommandée.[réf. nécessaire] .
Gestion hospitalière
La prise en charge initiale à l'hôpital se fait par péricardiocentèse[12]. Cela implique l'insertion d'une aiguille à travers la peau et dans le péricarde et l'aspiration de liquide sous guidage échographique. Cela peut être fait latéralement à travers les espaces intercostaux, généralement le cinquième, ou en tant qu'approche sous-xiphoïdienne[23],[24]. Un abord parasternal gauche débute 3 à 5 cm à gauche du sternum pour éviter l'artère mammaire interne gauche, dans le 5e espace intercostal[25]. Souvent, une canule est laissée en place pendant la réanimation après le drainage initial afin que la procédure puisse être effectuée à nouveau si le besoin s'en fait sentir. Si des installations sont disponibles, une fenêtre péricardique d'urgence peut être effectuée à la place[12] au cours de laquelle le péricarde est ouvert pour permettre au liquide de s'écouler. Après stabilisation de la personne, une intervention chirurgicale est prévue pour sceller la source du saignement et réparer le péricarde[réf. nécessaire]. Il est nécessaire de maintenir la ventilation spontanée le plus longtemps possible, la ventilation mécanique risquant d'entraîner un désamorçage ventriculaire et le décès[10].
Après une chirurgie cardiaque, la quantité de drainage du drain thoracique est surveillée. Si le volume de drainage diminue et que la pression artérielle baisse, cela peut suggérer une tamponnade due à l'obstruction du drain thoracique. Dans ce cas, la personne est ramenée au bloc opératoire pour une réintervention d'urgence[réf. nécessaire]. En cas de tamponnade post-opératoire chez un patient ventilé, le diagnostic est difficile, car les signes cliniques sont frustres[10].
Si un traitement agressif est proposé immédiatement et qu'aucune complication ne survient (choc, arythmie, insuffisance cardiaque, anévrisme, myocardite, embolie ou rupture), ou si elles sont traitées rapidement et entièrement maîtrisées, une survie adéquate est toujours possible[réf. nécessaire].
Épidémiologie
La fréquence de la tamponnade n'est pas claire[8]. Une estimation des États-Unis le situe à 2 pour 10 000 habitants par an[9]. On estime qu'il survient chez 2 % des personnes ayant des blessures par arme blanche ou par balle à la poitrine[26].
Notes et références
- (en) Cet article est partiellement ou en totalité issu de l’article de Wikipédia en anglais intitulé « Cardiac tamponade » (voir la liste des auteurs).
- 1 2 3 4 5 6 7 8 9 10 11 Richardson 2014.
- 1 2 3 4 5 6 7 Spodick 2003.
- 1 2 Merck manuals, 2020.
- ↑ Schiavone 2013.
- ↑ Khandaker et al. 2010.
- ↑ Sternbach 1988.
- 1 2 Sagristà-Sauleda, Mercé et Soler-Soler 2011.
- 1 2 Bodson, Bouferrache et Vieillard-Baron 2011.
- 1 2 Kahan 2008, p. 20.
- 1 2 3 4 5 Auteur(s) : Diane ZLOTNIK ; Bernard CHOLLEY, « Tamponnade cardiaque eICU », sur dx.doi.org (consulté le )
- 1 2 3 4 5 6 Porth 2005.
- 1 2 3 4 Gwinnutt et Driscoll 2003.
- ↑ Isselbacher, Cigarroa et Eagle 1994.
- 1 2 3 Longmore, Wilkinson et Rajagopalan 2004.
- ↑ Carmona et al. 2012.
- ↑ Vistarini et al. 2016.
- ↑ Sharma et Waymack 2021.
- ↑ Vogiatzidis et al. 2015.
- ↑ Thibodeau et Patton 2003.
- ↑ Standl et al. 2019.
- 1 2 Dolan et Holt 2000.
- ↑ ATLS 2007.
- ↑ Shlamovitz 2011.
- ↑ Yarlagadda 2018.
- ↑ Synovitz et Brown 2011.
- ↑ Marx, Walls et Hockberger 2013.
Voir aussi
Bibliographie
- (en) L. Richardson, « Cardiac tamponade », Journal of the American Academy of Physician Assistants, vol. 27, no 11, , p. 50–1 (PMID 25343435, DOI 10.1097/01.jaa.0000455653.42543.8a)
- (en) D. H. Spodick, « Acute cardiac tamponade », The New England Journal of Medicine, vol. 349, no 7, , p. 684–90 (PMID 12917306, DOI 10.1056/NEJMra022643)
- (en) W. A. Schiavone, « Cardiac tamponade: 12 pearls in diagnosis and management », Cleveland Clinic Journal of Medicine, vol. 80, no 2, , p. 109–16 (PMID 23376916, DOI 10.3949/ccjm.80a.12052)
- (en) M. H. Khandaker, R. E. Espinosa, R. A. Nishimura et L. J. Sinak, « Pericardial disease: diagnosis and management », Mayo Clinic Proceedings, vol. 85, no 6, , p. 572–93 (PMID 20511488, PMCID 2878263, DOI 10.4065/mcp.2010.0046)
- (en) G. Sternbach, « Claude Beck: Cardiac compression triads », J Emerg Med., vol. 6, no 5, , p. 417-9 (PMID 3066820, DOI 10.1016/0736-4679(88)90017-0)
- (en) J. Sagristà-Sauleda, A. S. Mercé et J. Soler-Soler, « Diagnosis and management of pericardial effusion », World Journal of Cardiology, vol. 3, no 5, , p. 135–43 (PMID 21666814, PMCID 3110902, DOI 10.4330/wjc.v3.i5.135)
- (en) L. Bodson, K. Bouferrache et A. Vieillard-Baron, « Cardiac tamponade », Current Opinion in Critical Care, vol. 17, no 5, , p. 416–24 (PMID 21716107, DOI 10.1097/mcc.0b013e3283491f27)
- (en) Scott Kahan, In a Page: Medicine, Lippincott Williams & Wilkins, (ISBN 9780781770354, lire en ligne), p. 20
- (en) Carol Mattson Porth, Pathophysiology: concepts of altered health states, Hagerstown, MD, 7th, (ISBN 978-0-7817-4988-6)
- (en) C. L. Gwinnutt et P. A. Driscoll, Trauma Resuscitation: The Team Approach, Oxford, BIOS, , 2e éd. (ISBN 978-1-85996-009-7, OCLC 876335348)
- (en) E. M. Isselbacher, J. E. Cigarroa et K. A. Eagle, « Cardiac tamponade complicating proximal (retrograde) aortic dissection. Is pericardiocentesis harmful? », Circulation, vol. 90, no 5, , p. 2375–8 (PMID 7955196, DOI 10.1161/01.CIR.90.5.2375)
- (en) J. M. Longmore, Ian Wilkinson et Supraj R. Rajagopalan, Oxford handbook of clinical medicine, Oxford [Oxfordshire], Oxford University Press, , 6e éd. (ISBN 978-0-19-852558-5)
- (en) Paula Carmona, Eva Mateo, Irene Casanovas et Juan J. Peña, « Management of Cardiac Tamponade After Cardiac Surgery », Journal of Cardiothoracic and Vascular Anesthesia, Elsevier BV, vol. 26, no 2, , p. 302–311 (ISSN 1053-0770, PMID 21868250, DOI 10.1053/j.jvca.2011.06.007)
- (en) Nicola Vistarini, Fanny Gabrysz-Forget, Yanick Beaulieu et Louis P. Perrault, « Tamponade Relief by Active Clearance of Chest Tubes », The Annals of Thoracic Surgery, Elsevier BV, vol. 101, no 3, , p. 1159–1163 (ISSN 0003-4975, PMID 26897195, DOI 10.1016/j.athoracsur.2015.10.098)
- (en) Nitish K. Sharma et James R. Waymack, « Acute Cardiac Tamponade », StatPearls, (PMID 30521227, lire en ligne, consulté le )
- (en) Konstantinos Vogiatzidis, Sotirios G. Zarogiannis, Isaac Aidonidis et Evgeniy I. Solenov, « Physiology of pericardial fluid production and drainage », Frontiers in Physiology, vol. 6, , p. 62 (PMID 25852564, PMCID 4364155, DOI 10.3389/fphys.2015.00062)
- (en) Gary A Thibodeau et Kevin T Patton, Anatomy & physiology, St. Louis, MO, Mosby, , 5e éd. (ISBN 978-0-323-01628-5, OCLC 1306235099)
- (en) Thomas Standl, Thorsten Annecke, Ingolf Cascorbi et Axel R. Heller, « The Nomenclature, Definition and Distinction of Types of Shock », Deutsches Ärzteblatt International, vol. 115, no 45, , p. 757–768 (PMID 30573009, PMCID 6323133, DOI 10.3238/arztebl.2018.0757)
- (en) Brian Dolan et Linda Holt, Accident and emergency: theory into practice, Londres, Baillière Tindall, (ISBN 978-0-7020-2239-5, OCLC 499671632)
- (en) American College of Surgeons Committee on Trauma, Advanced Trauma Life Support for Doctors, Chicago, American College of Surgeons, , 7e éd.
- (en) C.K. Synovitz et E.J. Brown, « Chapter 37 : Pericardiocentesis », dans J. E. Tintinalli, J. Stapczynski, O. Ma, D. M. Cline, R. K. Cydulka R.K. et G. D. Meckler (éds.), Tintinalli's Emergency Medicine: A Comprehensive Study Guide, The McGraw-Hill Companies, , 7e éd.
- (en) John Marx, Ron Walls et Robert Hockberger, « Acute Pericardial Tamponade », dans Rosen's Emergency Medicine - Concepts and Clinical Practice, Elsevier Health Sciences, (ISBN 978-1455749874, lire en ligne), p. 448-451
Liens externes
- (en) « Cardiac Tamponade - Injuries and Poisoning », Merck Manuals Consumer Version (consulté le )
- (en) Gil Z. Shlamovitz, « Pericardiocentesis » (clinical procedure), sur Medscape, (consulté le )

- (en) Chakri Yarlagadda, « Cardiac Tamponade Treatment & Management », sur Medscape, (consulté le )

- Portail de la médecine