Temps de vol
Le temps de vol (ToF, pour l'anglais time of flight) est le temps mis par un objet, une particule ou une onde pour parcourir une certaine distance à travers un milieu donné. Sa valeur peut être utilisée pour calculer la vitesse ou le trajet, ou comme information clé sur les propriétés de la particule ou du milieu traversé (comme la composition ou le débit). L'objet en déplacement peut être détecté directement (temps de vol direct, dToF (direct time of flight), par exemple via un détecteur d'ions en spectrométrie de masse) ou indirectement (temps de vol indirect, iToF, par exemple par la lumière diffusée par un objet en vélocimétrie laser).
La technologie ToF a des applications dans la maintenance et la caractérisation des matériaux et biomatériaux[1],[2].
Aperçu
En électronique, l'un des premiers appareils utilisant ce principe sont les appareils de mesure de distance à ultrasons, qui émettent une impulsion ultrasonique et sont capables de mesurer la distance à un objet solide en fonction du temps nécessaire à l'onde pour rebondir vers l'émetteur. La technologie ToF est également utilisée pour estimer la mobilité des électrons. À l'origine, il a été conçu pour la mesure de films minces à faible conductivité, puis adapté aux semi-conducteurs courants. Cette technique expérimentale est utilisée pour les structures métal-diélectrique-métal[3] ainsi que pour les transistors organiques à effet de champ[4]. Les charges excédantes sont générées par l'application du laser ou de l'impulsion de tension.

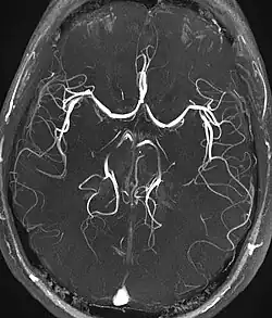
Pour l’angiographie par résonance magnétique (ARM en français et MRA en anglais ), le ToF est une méthode sous-jacente majeure. Dans cette méthode, le sang entrant dans la zone imagée n'est pas encore saturé, ce qui lui confère un signal beaucoup plus élevé lors de l'utilisation d'un temps d'écho court et d'une compensation de débit. Il peut ainsi être utilisé dans la détection d'anévrisme, de sténose ou de dissection[5].
En spectrométrie de masse à temps de vol, les ions sont accélérés par un champ électrique à la même énergie cinétique, la vitesse de l'ion dépendant du rapport masse/charge. Ainsi, le temps de vol est utilisé pour mesurer la vitesse, à partir de laquelle le rapport masse/charge peut être déterminé[6]. Le temps de vol des électrons est utilisé pour mesurer leur énergie cinétique.
En spectroscopie proche infrarouge, la méthode ToF est utilisée pour mesurer la longueur du trajet optique dépendant du milieu sur une gamme de longueurs d'onde optiques, à partir desquelles la composition et les propriétés du milieu peuvent être analysées.
Dans la mesure du débitmètre à ultrasons, la technologie ToF est utilisée pour mesurer la vitesse de propagation du signal en amont et en aval de l'écoulement d'un milieu, afin d'estimer la vitesse totale de l'écoulement. Cette mesure est effectuée dans une direction colinéaire avec l'écoulement.
En vélocimétrie Doppler planaire (mesure par débitmètre optique), les mesures ToF sont effectuées perpendiculairement à l'écoulement en chronométrant le moment où les particules individuelles traversent deux ou plusieurs emplacements le long de l'écoulement.
Caméra

Une caméra fonctionnant sur le principe du temps de vol (anglais : Time of Flight, TOF) permet de mesurer en temps réel une scène en 3 dimensions (3D).
Pour ce faire, les caméras ToF illuminent la scène et les objets mesurés par un éclair de lumière, et calculent le temps que cet éclair prend pour effectuer le trajet entre l’objet et la caméra. Le temps de vol de cet éclair est directement proportionnel à la distance entre la caméra et l’objet mesuré. Cette mesure de temps de vol est effectuée indépendamment par chaque pixel de la caméra, permettant ainsi d’obtenir une image complète en 3D de l’objet mesuré. Le principe de mesure est donc très similaire à celui des scanners laser, avec cependant l’avantage décisif de permettre l’acquisition de la totalité de l’image et non d’une seule ligne.

Notes et références
- ↑ (en) Lamanna, Rizzi, Demitri et Pisanello, « Determination of absorption and structural properties of cellulose-based hydrogel via ultrasonic pulse-echo time-of-flight approach », Cellulose, vol. 25, no 8, , p. 4331–4343 (ISSN 1572-882X, DOI 10.1007/s10570-018-1874-4, lire en ligne)
- ↑ (en) Maffezzoli, Luprano, Montagna et Nicolais, « Ultrasonic characterization of water sorption in poly(2-hydroxyethyl methacrylate) hydrogels », Journal of Applied Polymer Science, vol. 67, no 5, , p. 823–831 (ISSN 0021-8995, DOI 10.1002/(SICI)1097-4628(19980131)67:5<823::AID-APP7>3.0.CO;2-V, lire en ligne)
- ↑ R.G. Kepler, « Charge Carrier Production and Mobility in Anthracene Crystals », Phys. Rev., vol. 119, no 4, , p. 1226 (DOI 10.1103/PhysRev.119.1226, Bibcode 1960PhRv..119.1226K)
- ↑ M. Weis, J. Lin, D. Taguchi et T. Manaka, « Analysis of Transient Currents in Organic Field Effect Transistor: The Time-of-Flight Method », J. Phys. Chem. C, vol. 113, no 43, , p. 18459 (DOI 10.1021/jp908381b)
- ↑ « Magnetic Resonance Angiography (MRA) », Johns Hopkins Hospital (consulté le )
- ↑ Cotter, Robert J., Time-of-flight mass spectrometry, Columbus, OH, American Chemical Society, (ISBN 0-8412-3474-4)
- Portail de la physique