Thrombose de la veine porte

Thrombose de la veine porte
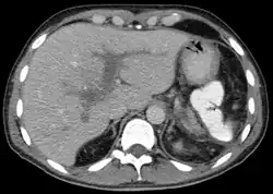
Description de cette image, également commentée ci-après
Thrombose portale sur une coupe de scanner.
Traitement
Spécialité Angiologie
Classification et ressources externes
CIM-10 I81
CIM-9 452
eMedicine 373009

Wikipédia ne donne pas de conseils médicaux Mise en garde médicale

La thrombose de la veine porte (ou thrombose portale) est une maladie caractérisée par l'occlusion de la veine porte par un thrombus (caillot). Elle peut être aiguë ou chronique, et l'occlusion peut être complète ou non. Elle peut provoquer une hypertension portale.

Épidémiologie

La thrombose portale est rare, l'incidence annuelle est inférieure à 1 cas pour 100 000[1].

Causes

La thrombose portale est souvent associée à une cirrhose, à un cancer du foie ou à un cholangiocarcinome (par engainement et compression du système porte par la masse tumorale) ou à des troubles de la coagulation[2], dont les syndromes myéloprolifératifs et les patients porteurs de certaines mutations sur le gène de la janus kinase 2[3].

Elle peut compliquer une infection digestive (thrombose septique) lors, par exemple, d'une diverticulite, d'une appendicite, d'une pancréatite[4].

Elle peut compliquer une splénectomie[5] avec une fréquence atteignant 5 % des interventions[6]. La relation cause-effet n'est pas claire et le risque varie avec le motif de l'intervention : il est plus important pour un motif hématologique que pour un motif traumatique[7].

Clinique

Les formes aiguës de thrombose portale se manifestent par des signes digestifs non spécifiques tels que des douleurs abdominales ou un trouble du transit.

Les formes chroniques sont souvent asymptomatiques et se manifestent par leurs complications.

Diagnostic

Le taux sanguin des D-dimère est élevé et celui de la protéine S est bas. Ainsi un taux normal ou bas de D-dimères associé avec un taux élevé de protéine S permet d'exclure, en pratique, le diagnostic[8].

L'image de thrombose de la veine porte peut être obtenue avec une échographie abdominale, ou plus facilement par une scanner ou une IRM.

Complications

La thrombose portale peut se compliquer d'une hypertension portale. Dans les pays occidentaux, il s'agit de la deuxième cause d'hypertension portale après la cirrhose[2].

Traitement

La prise en charge de la thrombose portale a fait l'objet de la publication de recommandations par l'American Association for the Study Liver Diseases en 2009[9].

Un traitement anticoagulant doit en principe être entrepris, mais il est à mettre en balance en cas de maladie sous-jacente pouvant augmenter le risque d'hémorragie comme la cirrhose[10]. Il permet la reperméabilisation de la veine porte dans environ 4/5e des cas, la persistance de la thrombose exposant à un risque d'hypertension portale plus important[11].

La fibrinolyse peut être intéressante dans les formes aiguës[12].

Notes et références

  1. (en) Rajani R, Björnsson E, Bergquist A et al. The epidemiology and clinical features of portal vein thrombosis: a multicentre study, Aliment Pharmacol Ther, 2010;32:1154-62
  2. 1 2 (en) Wang J-T, Zhao H-Y, Liu Y-L, « Portal vein thrombosis » Hepatobiliary Pancreat Dis Int, 2005;4:515-8
  3. (en) Shetty S, Kulkarni B, Pai N, Mukundan P, Kasatkar P, Ghosh K, « JAK2 mutations across a spectrum of venous thrombosis cases » Am J Clin Pathol, 2010;134:82-5
  4. (en) Balthazar EJ, Gollapudi P, « Septic thrombophlebitis of the mesenteric and portal veins: CT imaging » J Comput Assist Tomogr, 2000;24:755-60
  5. (en) Ikeda M, Sekimoto M, Takiguchi S et al. « High incidence of thrombosis of the portal venous system after laparoscopic splenectomy: a prospective study with contrast-enhanced CT scan » Ann Surg, 2005;241:208-16
  6. (en) Stamou KM, Toutouzas KG, Kekis PB et al. « Prospective study of the incidence and risk factors of postsplenectomy thrombosis of the portal, mesenteric, and splenic veins » Arch Surg, 2006;141:663-9
  7. (en) Krauth M-T, Lechner K, Neugebauer EA, Pablinger I, « The postoperative splenic/portal vein thrombosis after splenectomy and its prevention—an unresolved issue » Haematologica, 2008;93:1227-32
  8. (en) Zhang D-L, Hao J-Y, Yang N, « Value of D-dimer and protein S for diagnosis of portal vein thrombosis in patients with liver cirrhosis » J Int Med Res, 2013;41:664-72
  9. (en) DeLeve LD, Valla D-C, Garcia-Tsao G, « Vascular disorders of the liver » Hepatology, 2009;49:1729-64
  10. (en) Huard G, Bilodeau M, « Management of anticoagulation for portal vein thrombosis in individuals with cirrhosis: a systematic review » Int J Hepatol, 2012;2012:672986
  11. (en) Hall TC, Garcea G, Metcalfe M, Bilk D, Rajesh A, Dennison A, « Impact of anticoagulation on outcomes in acute non-cirrhotic and non-malignant portal vein thrombosis: a retrospective observational study » Hepatogastroenterology, 2013;60:311-7
  12. (en) Webster GJM, Burroughs AK, Riordan SM, « Review article: portal vein thrombosis—new insights into aetiology and management » Aliment Pharmacol Ther, 2005;21:1-9


  • icône décorative Portail de la médecine