Traumatisme crânien

Traumatisme crânien
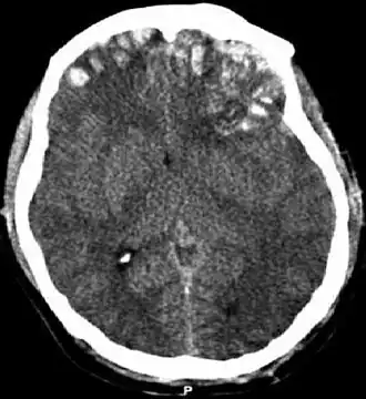
Description de cette image, également commentée ci-après
Scanner d'un traumatisme crânien.
Traitement
Spécialité Médecine d'urgence
Classification et ressources externes
CIM-10 S06
CIM-9 800.0-801.9, 803.0-804.9, 850.0-854.1
DiseasesDB 5671
MedlinePlus 000028
eMedicine 433855
neuro/153 ped/929
MeSH D001930

Wikipédia ne donne pas de conseils médicaux Mise en garde médicale

La notion de traumatisme crânien, ou traumatisme cranio-cérébral (TCC), couvre les traumatismes du neurocrâne (partie haute du crâne contenant le cerveau) et du cerveau. Les manifestations cliniques dépendent de l'importance de l'impact et des facteurs associés (âge, pathologies préexistantes autres, traumatismes associés). Par la situation anatomique de la tête, le traumatisme crânien est souvent associé à des traumatismes du rachis cervical (entorses, luxations, fractures), du visage (contusions, plaies, fractures maxillo-faciales) et oculaires. Les séquelles immédiates et à distance des traumatismes cranio-cérébraux sont souvent la conséquence des lésions engendrées sur le système nerveux central (cerveau et moelle spinale cervicale). Elles grèvent l'avenir des victimes et de leurs familles et leur coût social et financier est élevé.

Sur le plan clinique, il existe trois catégories principales de traumatismes crâniens : légers (sans perte de connaissance ni fracture du crâne), moyens (avec une perte de connaissance initiale excédant quelques minutes ou avec fractures du crâne) et graves (avec coma d'emblée — sans ou avec fractures du crâne associées).

D'importants progrès ont été réalisés dans la prise en charge médicale rapide des victimes et dans le diagnostic rapide et précis des lésions qui peuvent bénéficier d'un traitement chirurgical. Malgré ces progrès, plus de 50 % des cas graves décèdent ou gardent un handicap à vie. Le pronostic est ainsi le plus souvent lié à l'importance des signes et lésions initiales (survenues au moment de l'accident).

Épidémiologie

Radiographie d'une violente fracture du crâne survenue durant la Première Guerre mondiale, chez un soldat du régiment royal irlandais blessé (Inconscient) 12/08/1917. Blessures multiples ; vaste fracture avec éclatement du crâne et contusion cérébrale diffuse.

Les traumatismes crâniens sont la principale cause de mortalité et de handicap sévère avant 45 ans[1].

Ces derniers peuvent survenir lors de la parturition, mais néanmoins, trois tranches d'âge sont statistiquement à risque : les jeunes enfants, les adolescents et les personnes âgées. Les enfants y sont plus sujets, mais également plus résilients[2].

Environ un cinquième des traumatismes crâniens conduisent à des troubles de la conscience persistants et 50 % d'entre eux sont suivis d'une perte de connaissance (associée à une amnésie)[3].

Les causes principales sont : les accidents de la voie publique (environ 50 %), les accidents sportifs, les accidents de travail, les accidents domestiques, les agressions. Entre 180 000 et 320 000 soldats américains ont été diagnostiqués avec un tel traumatisme depuis 2000[4] et 5,3 millions d'Américains vivent avec des séquelles d'un tel traumatisme[5]. Chez la personne âgée, la première cause reste la chute[6]. Chez l'enfant, les traumatismes crâniens restent la première cause de mortalité infantile dans les pays développés. Chez le nourrisson, les traumatismes crâniens non accidentels, résultent d'un mécanisme de secouement dans le cadre d'une maltraitance et nécessitent une prise en charge médico-judiciaire spécifique.

Il existe également des mécanismes indirects sans traumatisme crânien à proprement parler, mais qui créent des lésions du même type. Dans cette catégorie, on retrouve les lésions cérébrales anoxiques (fausse route) ou hypoglycémiques (par exemple, le surdosage de l'insuline chez les diabétiques).

Depuis quinze ans, et dans les pays développés, l'incidence des traumatismes crâniens est en constante baisse, probablement du fait de l'amélioration de la prise en charge, et de la pratique médicale[3].

Types

Commotion cérébrale

La commotion cérébrale est un ébranlement du cerveau consécutif à une chute ou à un coup sur le crâne, accompagné ou non d’une perte de connaissance temporaire ou initiale. Il s'agit d'un dysfonctionnement temporaire de la substance réticulée ascendante (SRA) située dans la profondeur du cerveau et qui est responsable du maintien de l'état d'éveil. C'est la conséquence de la propagation concentrique et de la concentration des ondes de choc vers le centre du cerveau (phénomènes stéréotaxiques)[7]. C'est le tableau le plus banal et il n'y a pas de lésion visible radiologiquement dans le cerveau. Le traumatisme crânien a provoqué une perte de connaissance immédiate. Le patient est « assommé ». Le réveil survient spontanément quelques secondes, minutes, ou heures après le traumatisme en fonction de l'importance du choc. Il existe parfois des troubles transitoires de la mémoire récente de fixation. Une surveillance médicale ou neurochirurgicale s'impose pour dépister les possibles complications secondaires opérables sur le plan chirurgical : hématome extradural, hématome sous-dural, œdème cérébral.

Une perte de connaissance ou une commotion légère isolée reste souvent sans conséquence[réf. nécessaire]. Elles peuvent entraîner un syndrome post-commotionnel. Les commotions répétées peuvent cependant favoriser la survenue des maladies neurodégénératives graves comme la maladie de Parkinson ou la maladie d'Alzheimer même plusieurs décennies après[8],[9].

Une commotion cérébrale pouvant être la cause de symptômes non-opérables, un suivi médicopsychologique doit être envisagé dans tous les cas afin de permettre au cérébrolésé une meilleure chance de réinsertion sociale, ainsi que d'une compréhension accrue des dysfonctionnements cognitifs à moyen et long terme résultant du traumatisme (non opérables) afin de garantir une réhabilitation sociale optimum compte tenu des dégâts engendrés par la commotion.

Contusion cérébrale

Dans ce cas, il existe des lésions anatomiques du cerveau (nécrose hémorragique avec œdème), pas nécessairement au niveau de l'impact. L'œdème cérébral est une complication fréquente des traumatismes crâniens (sauf commotions cérébrales). Ces lésions cérébrales provoquent des signes de localisation déficitaires neurologiques : diminution de la force musculaire ou de la sensibilité d'un membre, asymétrie des réflexes ostéotendineux, signe de Babinski, aphasie, etc.

Ces troubles régressent sous traitement médical. On utilise des diurétiques pour diminuer l'œdème cérébral, et du mannitol, qui permet de déshydrater le tissu cérébral. Parfois, l'œdème cérébral est assez important pour provoquer un début d'engagement cérébral (engagement de la partie basse du cerveau sous la faux du cerveau vers l'hémisphère cérébral controlatéral, engagement de la partie inférieure du cerveau dans le trou occipital). Une hémorragie méningée peut être associée à une contusion cérébrale, et se traduit par des maux de tête, une raideur de nuque et des troubles de la conscience.

Tout comme dans le cas de la commotion cérébrale, un suivi médicopsychologique doit impérativement être intégré dans les soins du patient, l'absence d'anomalies opérables chirurgicalement n'étant pas la preuve d'absence de dommages sur le fonctionnement psychocognitif.

Coma profond d'emblée

C'est une commotion de gravité maximale. Le patient présente un coma profond et persistant après le choc car le dysfonctionnement de la substance réticulée ascendante est plus profond. Des signes de décérébration sont possibles témoignant de la présence de lésions mésencéphaliques et axonales diffuses liées à la propagation concentrique et à la concentration des ondes de choc vers le centre du cerveau (phénomènes stéréotaxiques). Le scanner est pratiqué d'urgence à la recherche de lésions curables chirurgicalement. S'il existe un hématome opérable, l'intervention est réalisée immédiatement. Dans le cas contraire, un traitement médical de réanimation est entrepris en milieu spécialisé (anti-œdémateux, réanimation respiratoire, etc.) et commence une surveillance clinique et radiologique de l'évolution. En cas d'aggravation secondaire, des nouveaux examens radiologiques rechercheront en particulier des lésions survenues secondairement et qui pourraient bénéficier d'une intervention chirurgicale (hématome extradural, hématome sous-dural, hydrocéphalie).

Le pronostic dépend de l'importance des lésions initiales, de l'âge et de l'état général du patient avant l'accident. Plus le coma est superficiel et le patient jeune et en bonne santé avant l'accident, plus les chances de guérison sont grandes. Dans le cas contraire, quand les chances de guérison sont infimes, cela peut entraîner une mort cérébrale.

Traumatismes crâniens légers liés à une explosion

Les traumatismes crâniens légers liés à une explosion (mTBI) sont une problématique de plus en plus préoccupante parmi les militaires et les anciens combattants exposés aux effets des ondes de choc générées par les explosions. Ces blessures sont qualifiées de "signatures" des conflits modernes et ont fait l'objet de nombreuses recherches visant à mieux comprendre leurs mécanismes, leurs conséquences cliniques et les stratégies de prévention[10],[11].

Le mTBI résultant d'une explosion peut être causé par plusieurs mécanismes, classés en cinq catégories : primaire, secondaire, tertiaire, quaternaire et quinaire. L'effet primaire résulte de l'onde de choc qui traverse le crâne et perturbe les tissus cérébraux. L'effet secondaire est lié aux débris projetés par l'explosion qui causent des blessures pénétrantes ou contondantes. L'effet tertiaire se produit lorsque le corps est projeté contre une surface, ce qui peut provoquer des blessures similaires à celles d'un accident de la route. Les effets quaternaire et quinaire concernent respectivement les brûlures, l'inhalation de substances toxiques et l'exposition à des contaminants chimiques, biologiques ou radiologiques[10].

Les mTBI d'origine explosive sont souvent associés à des symptômes persistants tels que des troubles auditifs, des céphalées, des déficits cognitifs, des troubles du sommeil et des altérations de l'humeur. La prévalence du syndrome de stress post-traumatique (PTSD) est particulièrement élevée chez les militaires ayant subi un mTBI lié à une explosion, avec des taux allant jusqu'à 60 % dans certaines études. Les mêmes individus sont aussi à risque accru de dépression et d'anxiété[10].

Une difficulté majeure dans l'étude et la prise en charge des mTBI réside dans l'absence d'un consensus sur les critères diagnostiques. La majorité des études reposent sur l'auto-déclaration des blessés, ce qui peut entraîner une sous-estimation ou une surestimation des cas[10]. En 2022, un code diagnostic spécifique pour les blessures cérébrales primaires dues à une explosion a été introduit dans la classification ICD-10-CM, facilitant ainsi leur reconnaissance et leur prise en charge dans le système de santé[12].

Les recherches sur les mécanismes sous-jacents de ces traumatismes montrent que l'exposition aux ondes de choc active des processus neuro-inflammatoires pouvant conduire à des altérations neuronales progressives. Une étude récente utilisant des techniques avancées d'imagerie cérébrale a montré une augmentation de l'inflammation et des changements structurels chez les militaires exposés répétément à des explosions, même à des niveaux inférieurs aux seuils classiquement considérés comme dangereux[13].

Les conséquences à long terme des mTBI liés aux explosions restent mal comprises, mais des similitudes ont été relevées avec certaines maladies neurodégénératives comme la maladie d'Alzheimer ou la sclérose latérale amyotrophique[13]. Un programme de recherche mené par Recherche et développement pour la défense Canada (DRDC) Valcartier s'efforce de développer un prototype de tête instrumentée pour mesurer l'impact des ondes de choc sur le cerveau et améliorer la conception des casques militaires[14].

Les expositions répétées à des ondes de choc de faible intensité, comme celles engendrées par l'utilisation de certaines armes lourdes, peuvent entraîner des symptômes neurocognitifs similaires à ceux des mTBI diagnostiqués, même en l'absence de blessure cliniquement visible. Ces effets sont encore en cours d'étude, mais des données préliminaires indiquent qu'ils pourraient avoir un impact sur la coordination motrice, la mémoire et le temps de réaction[15].

Évaluation initiale

Elle permet de séparer les traumatismes manifestement bénins et ceux qui vont nécessiter une prise en charge en milieu hospitalier. L'interrogatoire de la victime et/ou des témoins s'efforce de déterminer le type d'accident et d'impact, ce dernier ne permettant cependant pas de préjuger de la gravité des lésions. Des troubles de la conscience doivent être recherchés et quantifiés suivant l'échelle de Glasgow[16].

On se méfiera systématiquement d'un possible traumatisme cervical avec un risque de tétraplégie (paralysie des quatre membres) en cas de mobilisation imprudente. De même, un traumatisme associé d'une autre partie du corps devra être cherché à titre systématique.

Un scanner crânien devra être fait en urgence en cas d'un déficit de la conscience, même transitoire ou de survenue secondaire, en cas de déficit neurologique (baisse de la mobilité d'un membre, troubles de la parole, amnésie), au moindre doute sur une fracture crânienne, en cas de survenue de crise convulsive ou en cas de vomissements[17]. Chez l'enfant, l'indication d'un scanner est d'autant plus grande qu'il est jeune.

Signes radiologiques

Les lésions osseuses peuvent être totalement absentes malgré une atteinte cérébrale[18].

  • Fracture avec enfoncement/Embarrure : l'os du crâne (frontal, occipital, pariétal ou temporal) est fracturé et des fragments osseux sont enfoncés, ce qui peut occasionner une blessure ou une compression sur le cerveau.
  • Fracture de la base du crâne : l'os sphénoïde est fissuré. Lésions généralement linéaires.

Hémorragies

  • Hémorragies intracrâniennes : il s'agit de saignements à l'intérieur du crâne, autour ou dans le cerveau.
  • Hématome sous-dural : il s'agit d'un épanchement sanguin situé entre le feuillet interne de la dure-mère et l’arachnoïde. Il peut survenir de façon aiguë, au cours des heures suivant le traumatisme (hématome sous-dural aigu). Il est alors fréquemment associé à une contusion cérébrale dont peut dépendre le pronostic. Il peut aussi se constituer à bas bruit, et se démasquer quinze jours, voire des semaines après un traumatisme relativement peu important (hématome sous-dural chronique).
  • Hémorragie intracérébrale : il s'agit d'un saignement à l'intérieur du parenchyme cérébral.
  • Une hémorragie méningée est observée dans un tiers des traumatismes crâniens sévères. Elle peut être secondaire à la lésion d'un vaisseau méningé, ou bien à une suffusion hémorragique à partir d’un foyer de contusion du cortex cérébral.

Prise en charge

Tout traumatisme crânien avec troubles de la conscience, même transitoire, doit avoir une prise en charge médicale immédiate comportant, au moins, une surveillance de l'état de conscience pendant 24 h. Ce délai peut être raccourci si le scanner crânien est normal[19].

Cas du traumatisme cérébral sévère

La prise en charge des traumatismes crâniens sévères a fait l'objet de la publication de plusieurs recommandations. Celles de l'« American Association of Neurological Surgeons » datent de 2007[20]. Celles de l'« European Brain Injury Consortium » datent de 1997[21].

Le scanner cérébral permet de voir l'étendue des lésions : présence d'une fracture, taille et localisation d'un hématome, conséquences sur les ventricules cérébraux, présence ou non d'un œdème cérébral. Une admission en unité de réanimation ou en soins intensifs de neurochirurgie est nécessaire. L'utilisation systématique d'une perfusion hypertonique dans le but de limiter l'œdème cérébrale a une efficacité discutée[22], de même qu'une ventilation hyperoxique (avec plus d'oxygène que de besoin)[23]. Toutefois, la mise sous ventilation artificielle est très souvent nécessaire. L'intérêt de la mise sous hypothermie est également incertain[23].

L'un des éléments du traitement est le contrôle d'une hypertension intracrânienne secondaire à l'œdème cérébral et/ou à l'obstruction des voies de circulation du liquide cérébrospinal. Les corticoïdes s'avèrent décevants dans ce cas[24]. L'évacuation chirurgicale d'un hématome intracérébral permet une décompression. La pratique d'une ouverture crânienne, en dehors de tout hématome, permet également de faire baisser la pression intracrânienne[23].

La surveillance repose, suivant les cas, sur l'évaluation de l'état de conscience, la mesure de la pression intracrânienne, l'imagerie, l'électroencéphalogramme. En cas d'évolution neurologique péjorative aboutissant à un diagnostic de mort cérébrale et suivant l'état général du patient, une discussion sur un éventuel don d'organe doit être faite en respectant les réglementations.

Séquelles

Il peut s'agir de handicap invisible, surtout à long terme où l'on constate des « troubles de type inhibition avec passivité et troubles de mémoire accompagnés souvent de dépression »[25]. Le Glasgow Outcome Scale apprécie la sévérité globale des séquelles du traumatisé crânien.

Déficits neurologiques

Ceux-ci dépendent fortement de la localisation du traumatisme. Un bilan adéquat vérifiera, après la reprise de conscience :

  • des signes plégiques ou paralytiques ;
  • des troubles de l'équilibre ;
  • des troubles symboliques, type aphasiques ou agnosiques ;
  • des signes de lésions des nerfs crâniens.

Troubles neuroendocriniens

L'hypopituitarisme est une conséquence reconnue du traumatisme crânien, qui peut cependant demeurer sous-diagnostiquée en raison de la subtilité de ses symptômes. Diabète insipide, perte de poids, fatigue, étourdissements, perte de libido, et impuissance sont tous des conséquences probables d'une telle atteinte[26]. On estime que 15 % des personnes ayant subi un TC ont un déficit de production d'hormone de croissance. Cette hormone est nécessaire à la récupération des fonctions au travers de son action neurotrophe et au maintien de la masse musculaire requis pour une réhabilitation optimale. Le déclin de cette hormone est également source d'anhédonie[27].

Troubles psychiques

L'aspect psychologique du traumatisme crânien se traduit régulièrement par des angoisses lorsque le patient prend conscience de séquelles potentiellement irrémédiables. Ces peurs peuvent amplifier les troubles. Certaines affections psychologiques ne sont pas rares à la suite d'un traumatisme, même mineur. Parmi des symptômes fréquemment rencontrés, des troubles du système nerveux sympathique entraînant par exemple des bouffées de chaleur, des difficultés de concentration, une fatigabilité voire une détérioration intellectuelle, des troubles du sommeil et du contrôle émotionnel. Dans certains cas, on parle volontiers de névrose post-traumatique.

Autres conséquences possibles

Environ 1 % des traumatismes crâniens entraîne des épilepsies post-traumatiques ultérieures[réf. nécessaire]. Jusqu'à 2 % entraînent des troubles vasculaires, tels que des ruptures d'anévrismes ou des thromboses d'artères à destination cérébrale[réf. nécessaire].

Notes et références

  1. « La fatigue cognitive  : parfois méconnue, toujours handicapante », sur The Conversation (consulté le ).
  2. N. Mentri, K. Izirouel, H. Himeur et I. Takbou, « Les traumatismes crâniens lors des accidents domestiques chez l’enfant », Neurochirurgie, vol. 64, no 3, , p. 272–273 (DOI 10.1016/j.neuchi.2018.05.163, lire en ligne, consulté le ).
  3. 1 2 Karim Tazarourte, Nordine Bensalah,, Laurent Rebillard, Pôle Urgence SAMU 77 et Bernard Vigué DAR CHU de Bicêtre, « Epidémiologie des traumatismes crâniens », MAPAR, (lire en ligne).
  4. (en) Traumatic brain injury leaves an often-invisible, life-altering wound, Washington Post, 1er octobre 2010.
  5. Langlois JA, Rutland-Brown W, Wald MM, The epidemiology and impact of traumatic brain injury: a brief overview, J Head Trauma Rehabil, 2006;21:375-378.
  6. Thompson HJ, McCormick WC, Kagan SH, Traumatic brain injury in older adults: epidemiology, outcomes, and future implications, J Am Geriatr Soc, 2006;54:1590-1595.
  7. Les phénomènes stéréotaxiques dans la biomécanique des traumatismes crâniens - France.
  8. (en) Gavett BE, Stern RA, McKee AC, « Chronic traumatic encephalopathy: a potential late effect of sport-related concussive and subconcussive head trauma », Clin Sports Med, vol. 30, no 1, , p. 179-88, xi. (PMID 21074091, PMCID PMC2995699, DOI 10.1016/j.csm.2010.09.007).
  9. (en) McKee AC, Stern RA, Nowinski CJ, Stein TD, Alvarez VE, Daneshvar DH, Lee HS, Wojtowicz SM, Hall G, Baugh CM, Riley DO, Kubilus CA, Cormier KA, Jacobs MA, Martin BR, Abraham CR, Ikezu T, Reichard RR, Wolozin BL, Budson AE, Goldstein LE, Kowall NW, Cantu RC, « The spectrum of disease in chronic traumatic encephalopathy », Brain, vol. 136, no Pt 1, , p. 43-64. (PMID 23208308, PMCID PMC3624697, DOI 10.1093/brain/aws307)
  10. 1 2 3 4 (en) Ramona R. Hicks, Stephanie J. Fertig, Rebecca E. Desrocher et Walter J. Koroshetz, « Neurological Effects of Blast Injury », Journal of Trauma: Injury, Infection & Critical Care, vol. 68, no 5, , p. 1257–1263 (ISSN 0022-5282, DOI 10.1097/TA.0b013e3181d8956d, lire en ligne Accès libre, consulté le ).
  11. (en) Helen Phipps, Stefania Mondello, Arlington Wilson et Travis Dittmer, « Characteristics and Impact of U.S. Military Blast-Related Mild Traumatic Brain Injury: A Systematic Review », Frontiers in Neurology, vol. 11, (ISSN 1664-2295, DOI 10.3389/fneur.2020.559318, lire en ligne, consulté le ).
  12. (en) Erica Sprey et Katie Rories, « Primary Blast Injury of the Brain » Accès libre, sur United States Department of Veterans Affairs, (consulté le ).
  13. 1 2 (en-US) Eric Swensen, « Repeated Blast Exposures May Harm the Brain Health of Military Personnel », sur UVA Health Newsroom, (consulté le ).
  14. Robert Gauvin, Amal Bouamoul et Simon Ouellet, Blast-induced mild traumatic brain injuries : Loading mechanisms, diagnostic tools, research efforts and emerging technologies, Valcartier, DRDC, (lire en ligne).
  15. (en) « Low-Level Blast Exposure » [archive du ] Accès libre, sur Military Health System (consulté le ).
  16. « Test de Glasgow (GCS Glasgow Coma Scale) ».
  17. (en) [www.nice.org.uk/CG056 National Institute for Health and Clinical Excellence. Head injury: triage, assessment, investigation and early management of head injury in infants, children and adults]. 2007.
  18. Gaku Fujiwara, Yohei Okada, Wataru Ishii et Ryoji Iizuka, « Association of skull fracture with in-hospital mortality in severe traumatic brain injury patients », The American Journal of Emergency Medicine, vol. 46, , p. 78–83 (ISSN 1532-8171, PMID 33740570, DOI 10.1016/j.ajem.2021.03.020, lire en ligne, consulté le ).
  19. (en) J Geijerstam, S Oredsson, M Britton « Medical outcome after immediate computed tomography or admission for observation in patients with mild head injury: randomised controlled trial » BMJ 2006;333:465.
  20. Brain Trauma Foundation, American Association of Neurological Surgeons (AANS), Congress of Neurological Surgeons (CNS), AANS/CNS Joint Section on Neurotrauma and Critical Care. Guidelines for the management of severe traumatic brain injury. VI. Indications for intracranial pressure monitoring, J Neurotrauma, 2007;24:Suppl 1:S37-S44.
  21. Maas AI, Dearden M, Teasdale GM et al. EBIC-guidelines for management of severe head injury in adults: European Brain Injury Consortium, Acta Neurochir (Wien), 1997;139:286-294.
  22. (en) Tan PG, Cincotta M, Clavisi O et al. « Prehospital fluid management in traumatic brain injury » Emerg Med Australas. 2011;23:665-76.
  23. 1 2 3 (en) Rosenfeld JV, Maas AI, Bragge P, Morganti-Kossmann MC, Manley GT, Gruen RL, « Early management of severe traumatic brain injury » Lancet 2012;380:1088-98.
  24. (en) Edwards P, Arango M, Balica L et al. « Final results of MRC CRASH, a randomised placebo-controlled trial of intravenous corticosteroid in adults with head injury—outcomes at 6 months » Lancet 2005;365:1957-9.
  25. Le Bernard Vigué, Département d'anesthésie-réanimation, CHU de Bicêtre, conséquence à long terme du traumatisme crânien.
  26. (en) Edwards OM, Clark JD, « Post-traumatic hypopituitarism. Six cases and a review of the literature », Medicine (Baltimore), vol. 65, no 5, , p. 281–90 (PMID 3018425).
  27. (en) Lieberman SA, Oberoi AL, Gilkison CR, Masel BE, Urban RJ, « Prevalence of neuroendocrine dysfunction in patients recovering from traumatic brain injury », J. Clin. Endocrinol. Metab., vol. 86, no 6, , p. 2752–6 (PMID 11397882, lire en ligne).

Voir aussi

Articles connexes

Liens externes

  • icône décorative Portail de la médecine
  • icône décorative Portail de la psychologie
  • icône décorative Portail des neurosciences