Trichuris trichiura

Trichuris trichiura, ou Trichocephalus trichiuris, est une espèce de nématodes (les nématodes sont un embranchement de vers non segmentés, recouverts d'une épaisse cuticule et menant une vie libre ou parasitaire). C'est l'un des parasites du tube digestif humain, dont des œufs fossilisés sont encore trouvés sur des lieux de fouilles archéologiques préhistoriques[1].

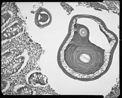
Trichuris, trouvé dans un appendice d'adulte.
Œuf de Trichuris vulpis
Œuf de Trichuris trichura

Pathogénicité

Ce ver est responsable de la trichocéphalose chez l’Homme.

Description

C’est un nématode de 3 à cm de long.

Aire de répartition, prévalence

Cosmopolite, il infecterait plus d’un milliard de personnes, dont 220 millions seraient gravement atteintes et 10 000 décèderaient chaque année, selon l’OMS[2].

Détection

Ce parasite peut être mis en évidence par un examen parasitologique des selles chez le sujet infesté.

Traitement

Le parasite peut être traité par l’administration d'une dose unique d'oxantel[3]. L'association oxantel et albendazole pourrait être plus efficace[4]

Un traitement associant albendazole et ivermectine semble prometteur[5]

Références

Voir aussi

Articles connexes

  • icône décorative Portail de la zoologie
  • icône décorative Portail de la médecine
  • icône décorative Portail de la parasitologie