Tumeur du cerveau

Tumeur cérébrale
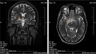
Description de cette image, également commentée ci-après
Gliome chez un homme de 28 ans (flèche orange).
Traitement
Spécialité Oncologie, neurochirurgie et neurologie
Classification et ressources externes
CIM-10 C71, D33.0-D33.2
CIM-9 191, 225.0
OMIM 603956
DiseasesDB 30781
MedlinePlus 007222
eMedicine 779664
MeSH D001932

Wikipédia ne donne pas de conseils médicaux Mise en garde médicale

Biopsie du cerveau
Scanner du cerveau d'une fillette de 6 ans atteinte d'un médulloblastome (tumeur cérébrale la plus fréquente chez les enfants de moins de 2 ans).

Les tumeurs cérébrales désignent l'ensemble des tumeurs, bénignes ou malignes, se développant dans le parenchyme cérébral. Elles surviennent par le développement anormal et désorganisé de divisions cellulaires, à partir soit d'une cellule du cerveau lui-même, soit d'une cellule métastatique exportée d'un cancer situé dans une autre partie du corps.

La tumeur cérébrale bénigne la plus fréquente est le gliome. Elle semble en augmentation régulière depuis les années 1980, pour des raisons probablement environnementales, encore mal cernées.

Les tumeurs cérébrales vraies (primaires) sont plutôt situées dans la partie arrière du cerveau chez les enfants, et dans la partie antérieure des deux tiers des hémisphères cérébraux chez les adultes, mais elles peuvent affecter toutes les parties du cerveau.

Types

L'OMS a produit une classification et description des cancers du cerveau[1] qui a varié de 1979 à 2007, la classification la plus récente étant celle de 2007[2],[3].

On distinguait habituellement les tumeurs bénignes des malignes avec :

  • des cancers nés dans le cerveau (tumeurs primitives) ; différents selon le type de cellules affectées ;
  • des cancers métastatiques, souvent multiples. Ce sont des tumeurs secondaires issues de la dissémination à distance d'un autre cancer (poumon, sein, côlon ou mélanome malin en général). C'est le cas le plus fréquent ;
  • des lymphomes (produits à partir des organes lymphatiques).

Enveloppé dans les méninges, le cerveau est composé de substance blanche et de substance grise.

La substance grise se retrouve d'une part en périphérie : on l'appelle le cortex. D'autre part la substance grise est retrouvée dans la profondeur de l'encéphale : ce sont les noyaux gris centraux (ou noyaux de la base).

La substance blanche occupe l'ensemble de l'espace présent entre le cortex et les noyaux gris centraux.

Il contient des cellules nerveuses, ou neurones, qui n'engendrent que rarement des tumeurs, et des cellules interstitielles dites cellules gliales ou névrogliques (astrocytes, oligodendrocytes, cellules épendymaires) qui assurent la nutrition et le soutien des précédentes. Ce sont ces cellules gliales qui sont à l’origine des principales tumeurs cérébrales qu'on appelle donc « gliomes » (ce sont 50 % à 60 % de toutes les tumeurs cérébrales (malignes et bénignes) détectées chez les enfants et les adultes) :

  • glioblastome, éventuellement « multiforme », qui est le cancer du cerveau le plus courant, qu'il faut traiter rapidement, car il grandit et s'étend rapidement ;
  • astrocytome anaplasique, qui comme le précédent croît rapidement, mais qui est plus rare ;
  • oligodendrogliome anaplasique, plus rare lui aussi, se manifeste surtout chez les adultes ;
  • épendymome ;
  • gangliogliome ;
  • germinome pinéal.

Le médulloblastome est un cancer qui apparaît (souvent avant la puberté) dans la moelle épinière à la base du cerveau, dans le cervelet ou la partie arrière du cerveau ; c'est le plus courant des cancers du cerveau de l'enfant[4].

Le sarcome et l'adénocarcinome du cerveau existent, mais sont très rares.

Les tumeurs bénignes, généralement mieux différenciées, sont plus faciles à traiter (excision chirurgicale en général), ce sont :

Certaines de ces tumeurs bénignes peuvent devenir malignes (chordomes et méningiomes en particulier).

Chez l'enfant

Le cancer du cerveau chez l'enfant est en augmentation régulière. En 2000, aux États-Unis, environ 2,76 enfants pour 100 000 ont été touchés par une tumeur du système nerveux central. Ce taux augmente régulièrement. Il était de 3,0 enfants pour 100 000 en 2005 (soit 2 5003 000 tumeurs cérébrales pédiatriques déclarées par an aux États-Unis). L'incidence de ces tumeurs est en augmentation d'environ 2,7 % par an, avec un taux de survie d'environ 60 % chez les enfants touchés[6], avec cependant un taux de survie qui varie selon l'âge au moment du diagnostic (les jeunes ont une mortalité plus élevée) et selon le type de cancer.

Chez les moins de 2 ans, environ 70 % des tumeurs cérébrales sont des médulloblastomes, épendymomes, et plus rarement des gliomes. Moins fréquemment, et surtout chez les nourrissons, se déclarent des tératomes et ATRT (atypique teratoid rhabdoid tumor en anglais)[7]. Les tumeurs de cellules germinales, dont tératomes, ne constituent qu'à peine 3 % des tumeurs primaires du cerveau chez l'enfant, mais avec une incidence mondiale qui varie fortement[8].

Épidémiologie

Aux États-Unis, 43 800 nouveaux cas de tumeurs cérébrales ont été déclarés en 2005 (13 000 personnes en meurent annuellement dans ce pays)[9], soit pour 1,4 % de tous les cancers aux États-Unis, 2,4 % de tous les décès par cancer[10][source insuffisante] et 20–25 % des cancers pédiatriques[11].

En Europe, le taux d'incidence des tumeurs malignes du système nerveux central (4 090 nouveaux cas en 2005 en France) a augmenté régulièrement de 1 % par an sur la période 1980-2005[12].

Il est important de séparer les tumeurs dites primitives et les métastases :

  • les tumeurs primitives représentent environ 3 % des cancers, leur incidence est estimée à 8/100 000 habitants par an[13] ;
  • le nombre de patients atteints de métastases est difficile à estimer car elles ne sont pas toujours recherchées et sont souvent asymptomatiques. On estime cependant qu'environ 25 % des patients atteints d'un cancer développeront des métastases intracrâniennes[13].

En France, au début des années 2000, pour des raisons non-comprises, le sud-ouest du pays est fortement surreprésenté pour les cancers du système nerveux central, pour les hommes et plus encore pour les femmes[14].

Diagnostic

Le diagnostic se fait via un examen neurologique et souvent via le scanner qui permet de différencier une lésion (accident vasculaire) d'une tumeur et d'en préciser le stade, la localisation, le caractère éventuellement multiple. En cas de doute, une biopsie cérébrale est faite, sous anesthésie générale, grâce à une aiguille à ponction guidée grâce à un repérage 3D préparé grâce au scanner. Des métastases invitent à rechercher et traiter le cancer d'origine (dosages sanguins, marqueurs biologiques et éventuelle coloscopie, scanner, fibroscopie pulmonaire, une mammographie sont alors prescrites par le cancérologue).

Modèles animaux

Pour étudier ces tumeurs, on utilise : des organoïdes cérébraux , des souris (xénogreffes, transgénèse, greffes orthotopiques), des rats (études similaires, cerveau plus grand), des poissons zèbres (développement, criblage de médicaments). Chaque modèle a ses avantages et ses limites pour reproduire les tumeurs humaines.

Symptômes

Les premiers symptômes sont chroniques ou intermittents ; ce sont souvent de violents maux de tête accompagnés de nausées et vomissements, dus à l'hypertension intracrânienne engendrée par la tumeur, ressentis plus fortement le matin. Il peut aussi s'agir d'étourdissements ou vertiges, de perturbations de la vision (vue double), avec ou sans troubles psychomoteurs (faiblesse ou engourdissement d'un côté du corps, perte de coordination), le tout s'amplifiant avec les activités quotidiennes. Le patient ou l'entourage constatent souvent un trouble de l'humeur, des sens, de la personnalité ou des sentiments, une perte de mémoire voire une confusion mentale. Certains cancers du cerveau peuvent provoquer des crises d'épilepsie.

La crise d'épilepsie chez un patient n'en ayant jamais présenté doit toujours mener à un examen neurologique complet et à la recherche d'un foyer tumoral cérébral.

Traitement

Il est en fonction de la nature, de la position et de l'avancée de la tumeur.

  • Des métastases impliquent d'aussi traiter le cancer initial (chirurgie, chimiothérapie et/ou radiothérapie cérébrale).
  • Un cancer primitif est traité chirurgicalement ou par chimiothérapie et/ou radiothérapie cérébrale.
  • Un lymphome fera l'objet d'une radiothérapie et parfois d'une chimiothérapie, selon les cas.

Causes

De nombreux facteurs sont suspectés, mais leur implication reste mal définie ; rien de comparable à l'association entre le cancer du poumon et le tabac n'a été mis en évidence (situation que l'on peut mettre en rapport avec la faible prévalence des cancers du cerveau dans la population générale)[15] :

  • l'âge : le risque augmente en général avec l'âge, à certaines exceptions près, comme le médulloblastome ;
  • le sexe biologique : les femmes ont plus de méningiomes mais les hommes ont plus de médulloblastomes ;
  • la génétique : un lien direct a été mis en évidence pour certaines maladies rares, telles la maladie de von Hippel-Lindau, le syndrome de Li-Fraumeni et la neurofibromatose (NF1 et NF2) ;
  • état du système immunitaire : les individus avec un système immunitaire défaillant ont plus de risque de développer un lymphome ;
  • exposition chimique : produits chimiques et solvants sont parfois incriminés, mais les preuves ne sont pas concluantes ;
  • exposition aux rayonnements ionisants : l'irradiation subie lors d'une radiothérapie entraînerait chez les survivants un risque de développer une tumeur au cerveau, secondaire.

En 1998, une étude de J.F. Viel avait détecté une mortalité plus élevée chez 800 000 agriculteurs et ouvriers agricoles âgés de 35 à 74 ans dans 89 régions de France, avec une incidence significativement plus élevée de cancer du cerveau chez ceux les plus exposés aux pesticides[16].

Cette enquête s'ajoute à d'autres qui laissent penser que les pesticides pourraient favoriser (10 à 25 % de risque supplémentaire) le cancer du cerveau chez les viticulteurs. Comme les agriculteurs les plus exposés, les particuliers utilisant des pesticides pour leurs plantes d’intérieur augmentent leur risque de développer une tumeur cérébrale[17][source insuffisante]. Le risque est doublé chez les agriculteurs très exposés, toutes tumeurs cérébrales confondues, et il est plus que triplé pour les gliomes. L’auteur souligne que son échantillon était limité (221 adultes de Gironde affectés d'une tumeur cérébrale et 442 témoins non malades) et que le lien de cause à effet doit être validé sur un échantillon plus représentatif. D'autres études ne confirment pas ces résultats et n'observent pas d'augmentation du risque[18]. Des travaux, menés sur des rongeurs concluent à un lien avec les insecticides de la famille des organophosphorés, notamment le chlorpyriphos-éthyl[19],[20]. Une étude plus large montre que si 19 molécules sont identifiées comme associées à un risque accru d'un ou plusieurs cancers, seul le chlorpyriphos-éthyl est associé au risque de cancer du cerveau[21].

En Île-de-France, une étude publiée en 1994 a montré une association statistique entre le cancer du cerveau de l'enfant et divers facteurs de risque : maison de ferme, griffures de chat, maison traitée avec des pesticides, tabagisme passif, antécédents familiaux de cancer, l'apport antihistaminique. À l'inverse, la prise de vitamines pendant l'enfance réduirait le risque[22].

Recherche

Les cellules tumorales communiquent

C'est une découverte que les cellules tumorales communiquent entre elles dans un vaste réseau, échangent des substances essentielles à la survie et peuvent ainsi échapper aux effets de la radiothérapie ou de la chimiothérapie. La communication en réseau joue également un rôle important dans la propagation de la maladie. Les cellules tumorales sont même mises en réseau avec des cellules nerveuses saines et reçoivent des signaux directs de leur part – les tumeurs peuvent ainsi se développer plus rapidement. Les mécanismes étudiés n’offrent pas seulement des explications fondamentalement nouvelles à la croissance très agressive de ce type de tumeur. Ils proposent également des approches pour de nouvelles thérapies visant à arrêter la croissance des tumeurs cérébrales et à rendre les thérapies existantes plus efficaces. La perturbation, voire la destruction des réseaux de cellules tumorales devient ainsi un principe thérapeutique totalement nouveau en oncologie, les premiers essais cliniques s'appuyant sur ces résultats[23].

Métastases cérébrales

Les tumeurs cérébrales métastatiques sont dix fois plus fréquentes que les tumeurs cérébrales primaires et engagent le pronostic vital à court terme. 85 % des cas de métastases cérébrales proviennent de cellules cancéreuses de cancer du sein, du poumon ou de mélanome. Seulement une cellule tumorale primaire sur 10 000 est capable d’initier et de maintenir une tumeur secondaire. Une étude de 2024 analyse les premières cellules initiatrices de métastases cérébrales (BMIC) à coloniser le cerveau et identifie qu'elles disposent d'une signature génétique commune (pour les trois types de cancers primaires). L'étude identifie l’acide mycophénolique (MPA), un inhibiteur connu de l’inosine monophosphate déshydrogénase (IMPDH), comme un puissant suppresseur de l’activité des BMIC. Mais il convient de trouver des analogues plus aptes à traverser la barrière hémato-encéphalique. Cette approche thérapeutique mérite d'être approfondie pour le traitement et la prévention des métastases cérébrales[24],[25].

Notes et références

[26]

  1. Brainlife
  2. (en) « The 2007 WHO Classification of Tumors of the Central Nervous System », sur brainlife.org (consulté le )
  3. (en) David N. Louis, Hiroko Ohgaki, Otmar D. Wiestler, Webster K. Cavenee, Peter C. Burger, Anne Jouvet, Bernd W. Scheithauer, Paul Kleihues, « The 2007 WHO Classification of Tumours of the Central Nervous System », Acta Neuropathologica, vol. 114, no 2, , p. 97-109 (ISSN 0001-6322 et 1432-0533, PMID 17618441, DOI 10.1007/s00401-007-0243-4, lire en ligne, consulté le )
  4. (en) Chris Hinz, Deneen Hesser, « Focusing On Brain Tumors: Medulloblastoma « Copie archivée » (version du sur Internet Archive) », American Brain Tumor Association 2006, (ISBN 0-944093-67-1)
  5. Association suisse des registres des tumeurs, 1990-1994, cité par Fiche prévention
  6. Voir Tableau 11.2 Taux de survie
  7. tumeurs infantiles du cerveau (Fondation contre les tumeurs infantiles du cerveau) (consulté juillet 2007)
  8. (en) Echevarría ME, Fangusaro J, Goldman S, « Pediatric Central Nervous System Germ Cell Tumors: A Review » Oncologist, Volume 13, pages 690-9, juin 2008, PMID 18586924 DOI 10.1634/theoncologist.2008-0037
  9. (en) Greenlee RT, Murray T, Bolden S, Wingo PA. « Cancer statistics, 2000 CA » Cancer J Clin. 2000;50:7-33. Dossier de l'American Cancer Society (PDF). PMID 10735013.
  10. American Cancer Society. consulté en juin 2000.
  11. (en) Chamberlain MC, Kormanik PA. « Practical guidelines for the treatment of malignant gliomas » West J Med 1998;168:114-120. PMID 9499745
  12. Communiqué INSERM 2008 (Cancers et Environnement)
  13. 1 2 A. Bertrand, S. Epelbaum, Neurologie, collection cahier des ECN, 2009.
  14. « CARTE. La Bretagne et les Hauts-de-France plus touchés par certains types de cancers : la mortalité, région par région (voir la « carte de la surmortalité des cancers du système nerveux central en France entre 2007 et 2016 » (rapports standardisés, source : Santé publique France). (FRANCEINFO)) », sur Franceinfo, (consulté le )
  15. « Brain Cancer Causes & Factors That Put You at Risk », sur Cancer Treatment Centers of America (consulté le ).
  16. (en) Viel et al. « Brain cancer mortality among French farmers : the vineyard hypothesis » Archives of Environmental Health 1998;53(1):65-70.
  17. Étude publiée dans la revue britannique Occupational and Environmental Medicine en juin 2007 par Isabelle Baldi (Institut de santé publique, d’épidémiologie et de développement, Bordeaux)
  18. (en) Yiin JH, Ruder AM, Stewart PA, Waters MA, Carreón T, Butler MA, Calvert GM, Davis-King KE, Schulte PA, Mandel JS, Morton RF, Reding DJ, Rosenman KD; Brain Cancer Collaborative Study Group, « The Upper Midwest Health Study: a case-control study of pesticide applicators and risk of glioma », Environ Health, no 11, , p. 39. (PMID 22691464, PMCID PMC3406961, DOI 10.1186/1476-069X-11-39, lire en ligne [html])
  19. (en) Slotkin TA1, Seidler FJ, « Developmental neurotoxicity of organophosphates targets cell cycle and apoptosis, revealed by transcriptional profiles in vivo and in vitro », Neurotoxicol Teratol, vol. 34, no 2, , p. 232-41. (PMID 22222554, PMCID PMC3303931, DOI 10.1016/j.ntt.2011.12.001, lire en ligne [html])
  20. (en) Slotkin TA1, Card J, Infante A, Seidler FJ, « Prenatal dexamethasone augments the sex-selective developmental neurotoxicity of chlorpyrifos: implications for vulnerability after pharmacotherapy for preterm labor », Neurotoxicol Teratol, no 37, , p. 1-12. (PMID 23416428, PMCID PMC3669256, DOI 10.1016/j.ntt.2013.02.002, lire en ligne [html])
  21. (en) Chan, Peter, « A review of pesticide exposure and cancer incidence in the agricultural health study cohort », Ciência & Saúde Coletiva, vol. 17, , p. 255–270 (ISSN 1678-4561, DOI 10.1590/S1413-81232012000100028, lire en ligne, consulté le ).
  22. (en) S. Cordier, MJ Iglesiais, C Le Goaster et al. « Incidence and risk factors for childhood brain tumours in the Île-de-France » Intl J Cancer 59 (1994)
  23. Winkler F, Venkatesh HS, Amit M, Batchelor T, Demir IE, Deneen B, Gutmann DH, Hervey-Jumper S, Kuner T, Mabbott D, Platten M, Rolls A, Sloan EK, Wang TC, Wick W, Venkataramani V, Monje M, « Neuroscience du cancer : état des lieux le domaine, les orientations émergentes » (Review), Cell, vol. 186, no 8, , p. 1689–1707 (PMID 37059069, DOI 10.1016/j.cell.2023.02.002)
  24. Abir Rezgui, « Cancer : une nouvelle technique prometteuse pour bloquer les métastases cérébrales avant qu’elles ne s’installent », sur Sciences et Avenir, (consulté le )
  25. (en) Agata M. Kieliszek, Daniel Mobilio, Blessing I. Bassey-Archibong, Jarrod W. Johnson, Mathew L. Piotrowski, Elvin D. de Araujo, Abootaleb Sedighi, Nikoo Aghaei, Laura Escudero, Patrick Ang, William D. Gwynne, Cunjie Zhang, Andrew Quaile, Dillon McKenna, Minomi Subapanditha, Tomas Tokar, Muhammad Vaseem Shaikh, Kui Zhai, Shawn C. Chafe, Patrick T. Gunning, J. Rafael Montenegro-Burke, Chitra Venugopal, Jakob Magolan & Sheila K. Singh, « De novo GTP synthesis is a metabolic vulnerability for the interception of brain metastases », Cell Reports Medicine, no 101755, (DOI 10.1016/j.xcrm.2024.101755, lire en ligne, consulté le ).
  26. PAIN , B, AURINE , N, LA ROSA , T, BAQUERRE , C et COULPIER , M, « Cellules souches et Organoïdes », réalités et perspectives, vol. Vol. 36, no No 2, , p. 7637 (DOI : https://doi.org/10.20870/productions-animales.2023.36.2.7637 Accès libre)


Voir aussi

Bibliographie

  • Chiot OL. Biologie de tumeurs cérébrales gliales. Tomes 1;2;3 espace 34-1999- espace science
  • Guillemin MC. Neurologie, neurochirurgie et soins infirmiers, Lamarre 2005
  • Maurel D. Neurochirurgie, Estem, 2006
  • Michel C. Pratique soignante en neurologie et neurochirurgie, Lamarre 2005 'module'.
  • Philippon J. Tumeurs cérébrales, Masson, 2004

Articles connexes

Liens externes

  • icône décorative Portail de la médecine
  • icône décorative Portail des neurosciences